Большая командная работа продолжительностью 4 года
Обращение пациента
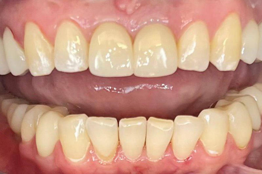
С какой проблемой обратился пациент
К нам в Центр обратилась молодая девушка с сильнейшим разрушением зубов, с множественными кариесами и болями в височно-нижнечелюстном суставе.
Этапы лечения
Была проведена терапевтическая санация зубов, восстановлена высота прикуса и положение нижней челюсти относительно суставов на керамических конструкциях. Пациентка категорически отказывалась от протезирования своих зубов без пломб. Поэтому одной из самых сложных задач лечения было подобрать цвет конструкций, которые должны были помочь справиться с поставленной задачей, к цвету собственных зубов.
Мы смогли сохранить зубы, привели их в красивый и эстетичный вид, восстановили высоту нижней трети лица, вернули сустав в правильное положение, благодаря чему ушли боли, улучшилась форма лица и губ.
Работу начали в 2019. Пациентка очень медленно лечилась по личным причинам, но мы были вместе. Учитывали все нюансы и получили прекрасный результат.
Мы всегда сопровождаем нашего пациента во время реабилитации не зависимо от жизненных сложностей. Главное помочь, вылечить и сохранить результат на долгие годы!
Мы смогли сохранить зубы, привели их в красивый и эстетичный вид, восстановили высоту нижней трети лица, вернули сустав в правильное положение, благодаря чему ушли боли, улучшилась форма лица и губ.
Работу начали в 2019. Пациентка очень медленно лечилась по личным причинам, но мы были вместе. Учитывали все нюансы и получили прекрасный результат.
Мы всегда сопровождаем нашего пациента во время реабилитации не зависимо от жизненных сложностей. Главное помочь, вылечить и сохранить результат на долгие годы!
Результат лечения
Кто участвовал в лечении

Мискевич Марина Ивановна
Специализация:
Главный врач, стоматолог-ортопед, стоматолог-ортодонт, гнатолог.
Кандидат медицинских наук, член СтАР. Входит в ассоциацию лазерной стоматологии, ассоциированный член Общества по изучению цвета в стоматологии.
Владелец патента на изобретение «Способ изготовления экзопротеза верхней челюсти» (патент № 143103) и патента на полезную модель «Устройство для снятия несъемных зубных протезов» (патент № 54766).
Миссия в клинике:
Мы относимся к жизни и здоровью как к дару, к сохранению молодости и красоты – как к профессиональной чести, а воссоздание улыбки выполняем как ювелирную работу.




