Есть 2 вида лечения исправления прикуса у взрослых:
-
классическая ортодонтическая коррекция;
-
ортодонтическая коррекция с гнатической хирургией.
Поговорим о безоперативных методах лечения неправильного прикуса у взрослых: брекетах, элайнерах и винирах.
Есть несколько видов аппаратуры, которые работают с исправлением прикуса: брекеты, элайнеры. В каких-то случаях можно не прибегать к ортодонтической коррекции, можно использовать виниры или любые производные в виде накладок, вкладок и т.д.
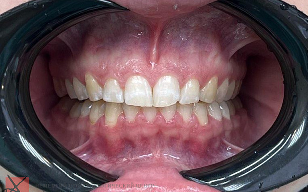
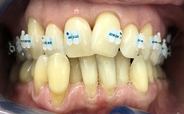
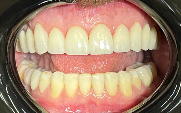
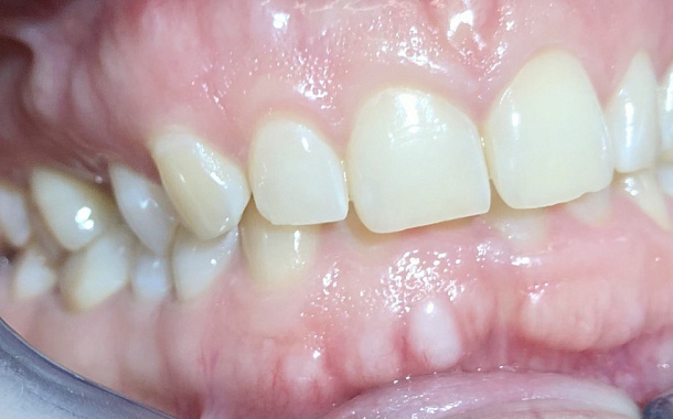
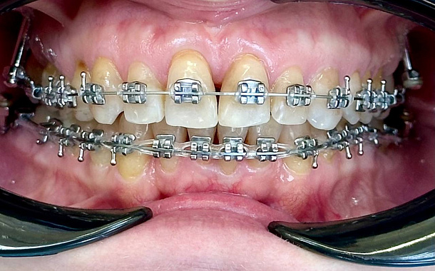
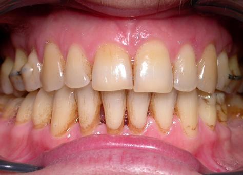
Брекеты - это несъемная аппаратура, фиксируется на каждый зуб по отдельности и связывается между собой при помощи ортодонтической дуги. Брекеты бывают металлические, керамические, пластмассовые, сапфировые.
Отличие брекетов между собой в том, что металлические более заметны в полости рта, керамические менее заметны, но в сроках лечения это не имеет никакой разницы, т.к. современная керамическая брекет система запрограммирована так же, как и металлические брекеты.
По своей конструкции и методу работы либо самолигирующие, либо лигатурные. В чем разница? Самолигирующие брекеты имеют застежку сверху, в самом брекете запрограммировано закрывание дуги внутри. У лигатурных брекетов необходима дополнительная аппаратура в виде резинок, элементов металлической проволоки и т.д.
Плюсы и минусы самой брекет системы. Она несъемная, значит вы не сможете ее снять и забыть надеть, потерять. И работает она в полости рта постоянно. Программируется брекет система один раз в месяц, вы должны подойти к вашему лечащему доктору на прием. Он проведет полный осмотр, поменяет несколько вариантов аппаратуры внутри и опять запрограммирует брекет системы на месяц.
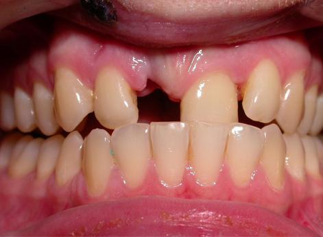
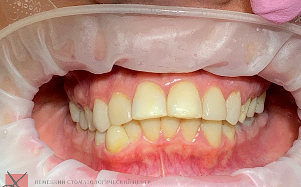
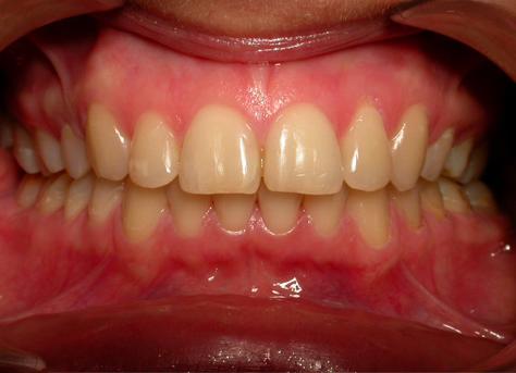
В каких случаях применяются брекеты? Практически 90% случаев неправильного прикуса могут корректироваться при помощи брекетов. Они работают как с самыми сложными случаями, так и с самыми простыми незначительными скученностями зубов, либо трем.
Элайнеры - вид съемной аппаратуры, которая программируется на перемещение зубов заблаговременно. Также элайнеры называют капами для исправления зубов и прикуса. Снимаются слепки, изготавливаются виртуальные модели и на виртуальных моделях делают все перемещения и выравнивания зубов. На каждый шаг такого перемещения делается элайнер. Поэтому каждый элайнер необходимо менять раз в 2 недели.
Плюсы элайнеров:
-
в отличие от брекетов, они незаметны;
-
у них прогнозируемые результаты;
-
их можно снять, не соблюдая никакую диету, поесть и жесткое, и хрустящее, в отличие от брекетов, при которых необходимо соблюдать диету, и в дальнейшем вы можете надеть элайнер обратно, предварительно сполоснув, и продолжить выравнивание зубов.
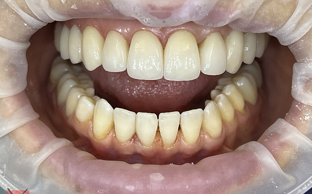
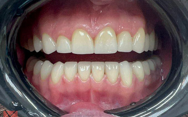
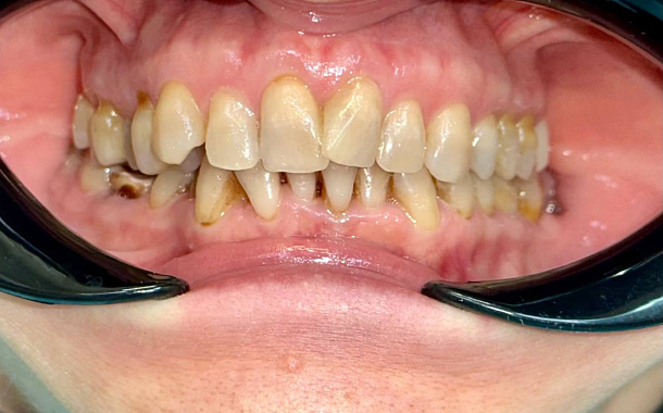
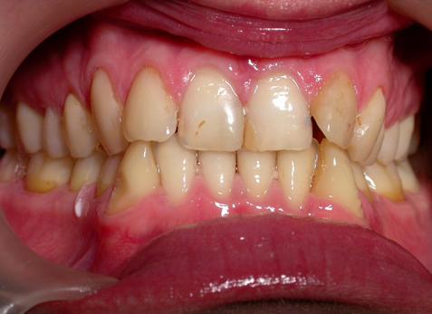
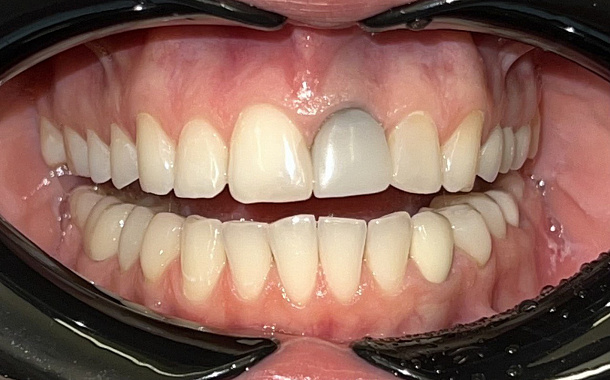
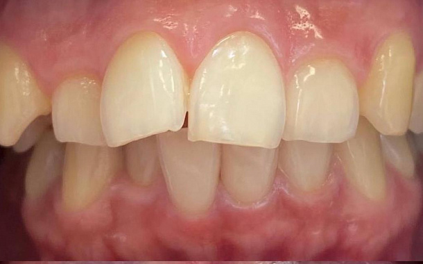
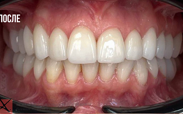
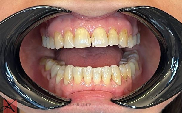
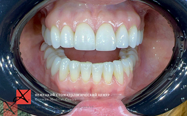
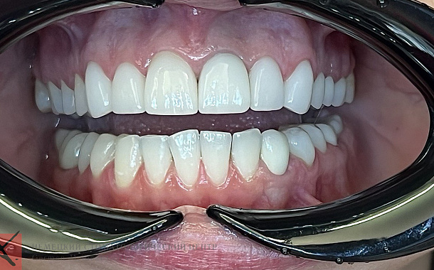
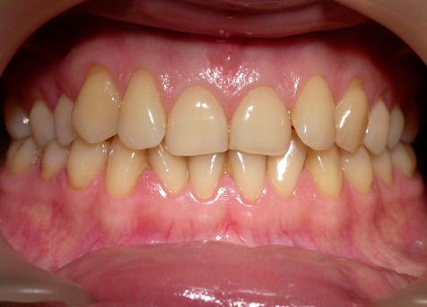
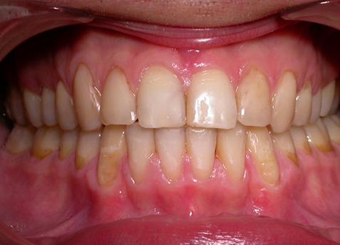
К винирам можно прибегнуть в случае незначительной коррекции положения зубов в виде незначительной скученности. Но нужно понимать, что виниры на правильный прикус и правильное положение зубов фиксируются практически без обточки, в отличие от зубов, которые имеют незначительную скученность либо трему.
На неправильный прикус с винирам необходимо будет добавлять либо больше либо меньше керамики. Тогда затрагиваются собственные ткани зуба при установке виниров. Также есть случаи, когда хорошая правильная форма верхней челюсти, хорошая правильная форма нижней челюсти, но соотношение немножко страдает и необходимо изменить позицию нижней челюсти. Тогда можно прибегнуть только к установке керамических накладок или виниров, программируя позицию челюсти кпереди. Виниры не влияют на позиции зубов, они просто могут либо при помощи изменения формы зуба показать его более правильную позицию, чем без винира, это первое. Второе, они при помощи правильной моделировки врачом и зубным техником могут создать новую позицию для нижней челюсти, вывести ее в правильное положение. Но это в том случае, если есть правильная форма верхней и правильная форма нижней челюстей. В таком случае мы можем к этому прибегнуть.
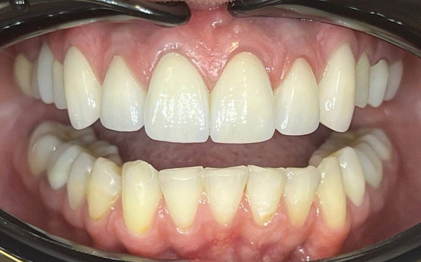
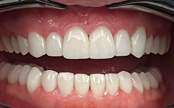
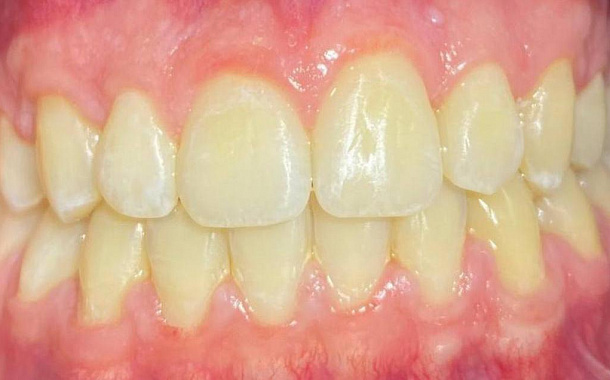
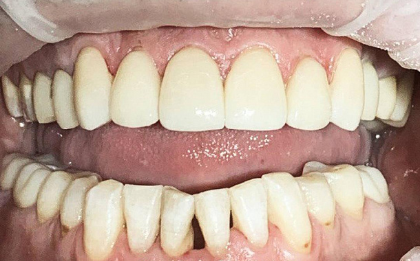
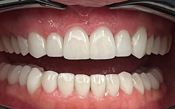
Виниры - это вспомогательный элемент в ортодонтическом лечении, т.е. это либо временные накладки, либо временное протезирование на период ортодонтического лечения, либо при сильной стираемости зубов это является хорошим ретенционным аппаратом при завершении ортодонтического лечения перемещения зубов. Ретенция - это тот период лечения, когда заканчивается активный этап перемещения зубов и зубы удерживаются в новом положении , чтобы они обросли новой костной тканью, чтобы она была плотнее. Для этого и нужен ретенционный аппарат.