Красивое лицо без пластических операций, уколов и даже без посещения косметолога - это вообще реально?
Конечно! И в этом поможет дентал фейслифтинг (dental face lifting) - так называемая стоматологическая подтяжка лица или биоэстетическое лечение зубов. Это относительно молодое направление в стоматологии (около 25 лет), основная задача которого - восстановить идеальное соотношение пропорций лица и зубов по принципу золотого сечения, воссоздать правильную анатомию зубов и нижней челюсти. Благодаря этому появляется правильный молодой контур лица и происходит тот самый «лифтинг».
В Немецком Стоматологическом Центре есть доктора, которые специализируются на антиэйдж стоматологии практически с момента её возникновения! Если вы хотите не только красивую улыбку, но ещё и функциональную, и чтобы при этом здоровье улучшилось, а морщинки с лица исчезли, тогда вам точно к нам!
Как работает омолаживающая стоматология?
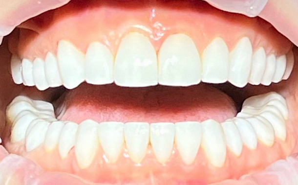
Зубочелюстная система включает в себя мышцы шеи, лица и мягкие ткани. Задача специалиста — рассчитать природные пропорции лица пациента по принципу золотого сечения и создать идеальный «шаблон» для протезирования с учетом формы зубов, прикуса, положения мышц и ряда других параметров. Лифтинг лица осуществляется за счет правильной позиции нижней челюсти с использованием различных ортопедических конструкций — виниров, люминиров, коронок. Вы можете избежать хирургической подтяжки лица и других пластических операций, убрать мимические морщины, выраженные носогубные складки и нечеткую линию нижней трети за счет правильного протезирования зубов.
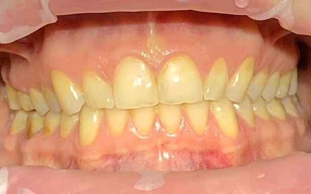
Привлекательный вид носогубной части зависит вовсе не от количества ботокса, а от положения верхней и нижней челюсти, а линия подбородка - от потери высоты прикуса и тонуса мышц.
Например, если прикус неправильный и зубные ряды западают внутрь, повышается тонус жевательной мышцы, это приводит к ее увеличению (гипертрофии). В этом случае углы нижней челюсти будут массивными и широкими. А если нижние резцы заходят за верхние, то уменьшается расстояние между носом и подбородком. Это визуально уменьшает нижнюю треть лица и скрадывает объем подбородка, приводит к гипертонусу подбородочной мышцы. А ещё с возрастом верхняя губа опускается, тонус мышц снижается, линия челюсти плывёт, появляются брыли.
Чтобы решить такие эстетические вопросы, не нужно бежать к пластическому хирургу, нужно идти к стоматологу. Подтяжки и уколы могут дать временный внешний эффект (кстати, не всегда удачный), а вот работа команды стоматологов может действительно помочь сохранить или вернуть красоту и молодость. Dental Face Lifting - это всегда последовательная работа нескольких специалистов: ортодонта, гнатолога, протезиста для коррекции тех или иных эстетических недостатков. И это всегда работа не на сиюминутный результат (хотя результат вы увидите сразу), а на долгосрочную эстетику лица, которая сохранится даже через 10-20 лет.



























