Не боимся сложностей
Успешно работаем даже со случаями, которые считаются безнадёжными.
Уникальный подход
Объединили гнатологию и новейшие RF технологии для эффективного лечения.
Лечение хруста в челюсти
Хруст челюсти — это распространенная проблема, с которой многие люди сталкиваются на протяжении своей жизни. Хотя иногда этот симптом не вызывает беспокойства, в некоторых случаях он может быть признаком более серьезных заболеваний, требующих вмешательства стоматолога. Лечение хруста челюсти — это важная услуга, которая позволяет не только избавиться от неприятных звуков, но и предотвратить дальнейшие осложнения, такие как боли в области челюсти, головные боли или даже ухудшение функции жевания.
Причины хруста челюсти могут быть разнообразными. Одной из основных причин является нарушение работы височно-нижнечелюстного сустава (ВНЧС), который отвечает за движение нижней челюсти. Этот сустав имеет сложную анатомию и функционирует как «петля», соединяя челюсть с черепом. Любые отклонения в его работе могут вызвать болезненные ощущения, а также характерный хруст при открытии или закрытии рта.
Нередко хруст челюсти сопровождается другими симптомами, такими как боль при жевании, скрежет зубами, ограниченная подвижность челюсти, а также головные боли. Если вы замечаете, что хруст челюсти стал регулярным или сопровождается болевыми ощущениями, важно как можно раньше обратиться к стоматологу, чтобы выявить причину и начать лечение.
Наиболее частыми причинами хруста челюсти являются:
- Травмы и повреждения — удары или падения, которые могут привести к повреждению височно-нижнечелюстного сустава или связок челюсти.
- Нарушение прикуса — неправильное расположение зубов или челюстей, что вызывает перераспределение нагрузки на сустав.
- Перенапряжение мышц — стресс или длительное пережевывание твердой пищи могут вызвать напряжение в жевательных мышцах, что также влияет на работу сустава.
- Остеоартрит — износ хрящевой ткани в области ВНЧС может стать причиной хруста.
- Синдром дисфункции ВНЧС — это комплекс заболеваний, при которых наблюдаются боли и ограниченная подвижность челюсти, а также хруст или щелчки.
Для диагностики хруста челюсти стоматолог может провести серию обследований, включая пальпацию сустава, рентгенографию или более детальное исследование с помощью МРТ. Эти процедуры помогают точно определить, что именно вызывает проблему и какое лечение потребуется в вашем случае.
Лечение хруста челюсти начинается с устранения причины этого симптома. В нашей клинике мы используем комплексный подход, который включает:
- Медикаментозное лечение — в зависимости от диагноза, могут быть назначены противовоспалительные препараты, обезболивающие средства или средства для расслабления мышц.
- Физиотерапия — специализированные процедуры, направленные на улучшение кровообращения и снятие напряжения в мышцах и суставах.
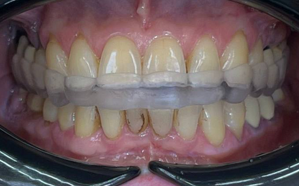
- Коррекция прикуса — если причиной хруста является неправильный прикус, мы предлагаем вам индивидуальный подход для его исправления с использованием брекетов, кап или других ортодонтических устройств.
- Ношение шины — для пациентов с диагнозом «синдром дисфункции ВНЧС» могут быть рекомендованы специальные капы или шины для фиксации челюсти в правильном положении на ночь.
- Массаж и мануальная терапия — процедуры, направленные на расслабление мышц, снятие спазмов и восстановление нормальной подвижности челюсти.
Важно помнить, что хруст челюсти не всегда является безобидным симптомом. В некоторых случаях игнорирование проблемы может привести к более серьезным осложнениям, таким как хроническая боль, ограничение подвижности челюсти или даже разрушение сустава. Поэтому, если вы заметили у себя хруст челюсти, не откладывайте визит к специалисту.
Наша стоматологическая клиника предлагает квалифицированную помощь в диагностике и лечении хруста челюсти, гарантируя каждому пациенту индивидуальный подход и высококачественное обслуживание. Мы используем только современные методы диагностики и лечения, что позволяет достичь оптимальных результатов и восстановить здоровье вашего височно-нижнечелюстного сустава. Не откладывайте заботу о своем здоровье — обратитесь к нам и получите профессиональное лечение, которое поможет вам забыть о хрусте и боли навсегда!
Цены на услуги
Современная стоматология - гнатологический диагноз и индивидуальный план лечения
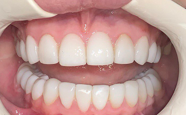
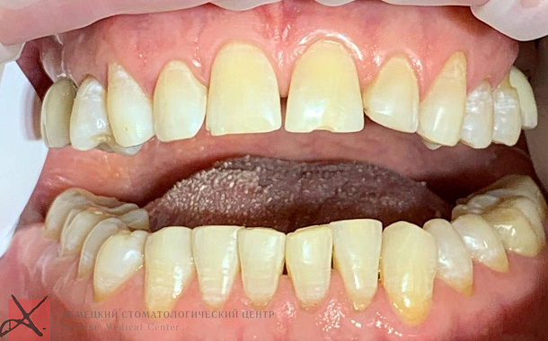
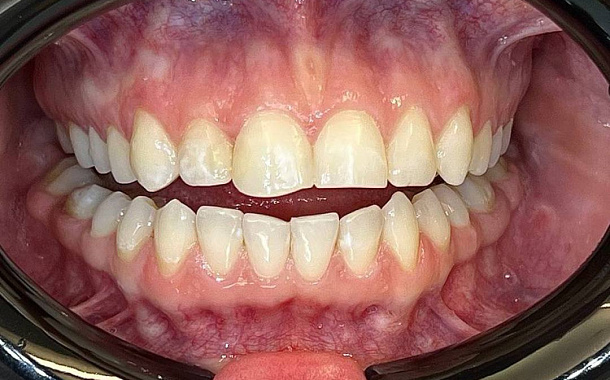
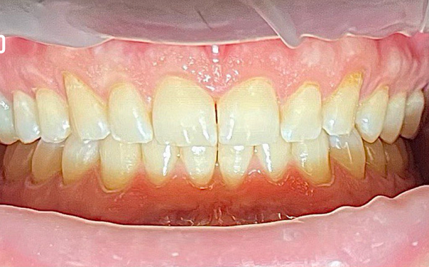
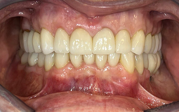
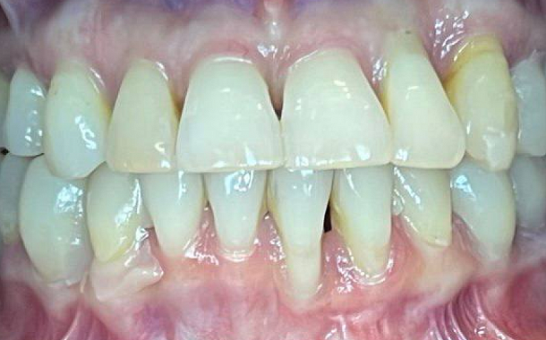
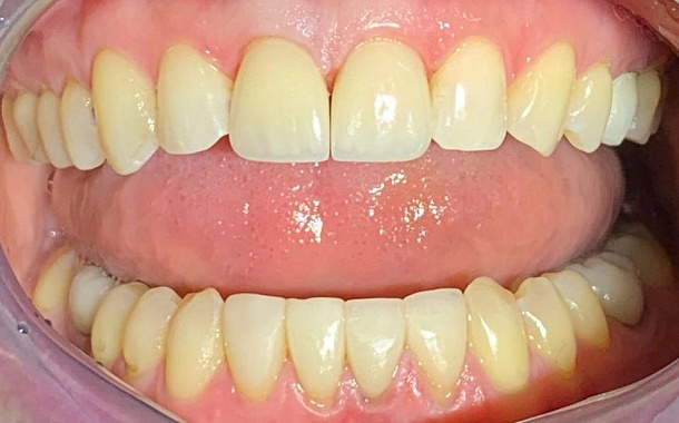
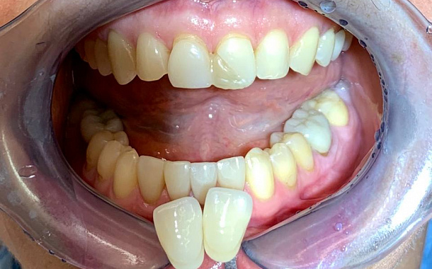
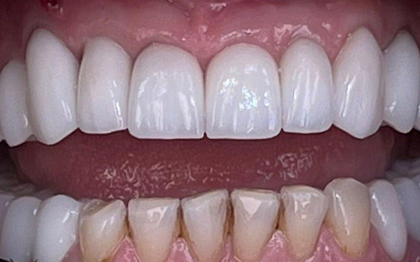
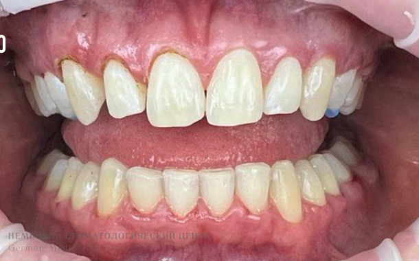
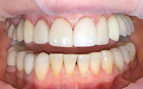
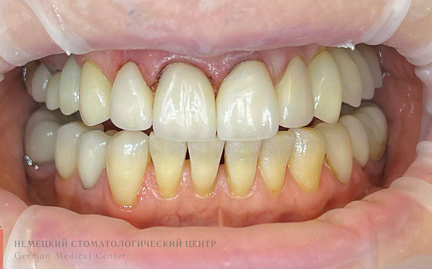
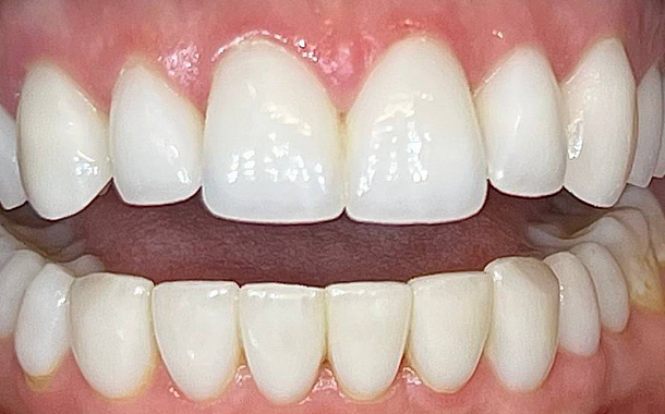
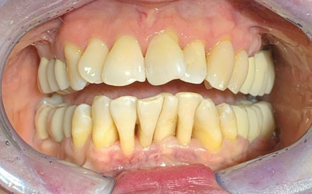
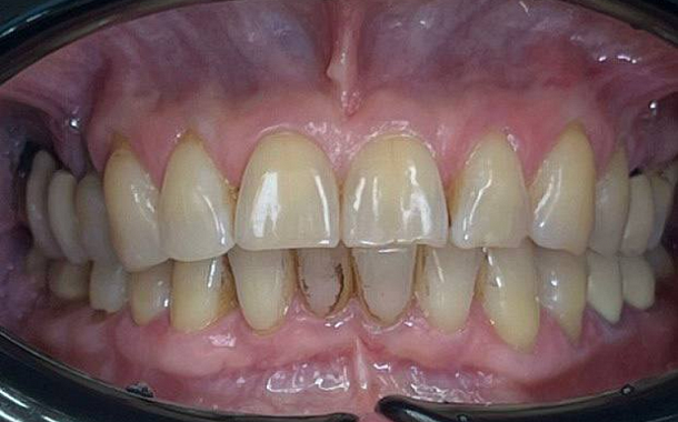
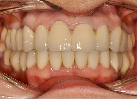
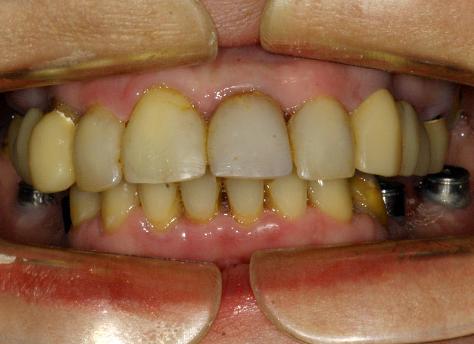
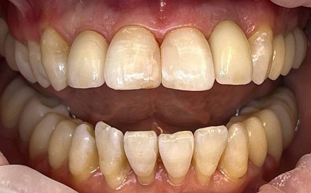
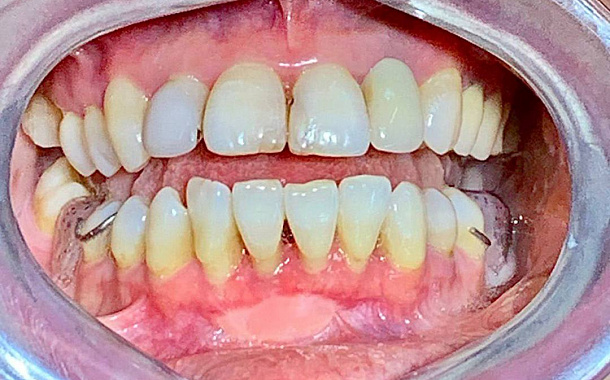
Полный прайс-листКейсы: до и после
Все кейсыОсобенности гнатологического лечения в Немецком Стоматологическом Центре
Восстановление всего здоровья
Эффективно снимаем боль

Уникальные специалисты
Эксклюзивные методики
Что вас беспокоит?
Кто проводит лечение
Специализация:
Главный врач, стоматолог-ортопед, стоматолог-ортодонт, гнатолог.
Кандидат медицинских наук, член СтАР. Входит в ассоциацию лазерной стоматологии, ассоциированный член Общества по изучению цвета в стоматологии.
Владелец патента на изобретение «Способ изготовления экзопротеза верхней челюсти» (патент № 143103) и патента на полезную модель «Устройство для снятия несъемных зубных протезов» (патент № 54766).
Миссия в клинике:
Мы относимся к жизни и здоровью как к дару, к сохранению молодости и красоты – как к профессиональной чести, а воссоздание улыбки выполняем как ювелирную работу.
Специализация:
Врач ортодонт, гнатолог
Master of science (Магистр естесственных наук), училась и практиковалась в Австрии в Венском Университете
Миссия в клинике:
Ведение ортодонтического приема как взрослых, так и детей в полном объёме. Проведение комплексной гнатологической и ортодонтической диагностики. Ведение пациента совместно с хирургом, ортопедом и терапевтом. Лечение детей и взрослых с помощью съемных( элайнеры, пластинки) и несъёмных ( брекеты, ортопланты, аппараты хайрекс, форсус и тд) систем. Лечение патологий ВНЧС, связанных с нарушениями зубочелюстной системы.
Специализация:
Врач стоматолог-ортопед, гнатолог.
Миссия в клинике:
Гнатологический функциональный анализ, диагностические электромиографические исследования, миорелаксация, эстетическое протезирование (виниры, коронки, вкладки, микропротезирование), виды съемного и несъемного протезирования на имплантатах, композитные реставрации, отбеливание зубов.
Специализация:
Врач стоматолог-ортодонт, гнатолог.
Член российского профессионального общества ортодонтов России, Dental Brilliance специалист компании Flexiligner
Миссия в клинике:
Ведение ортодонтического приёма.
Ведение пациентов с дисфункцией ВНЧС различной этиологии (окклюзионная терапия (шины, позиционеры, миорелаксирующие каппы). Проведение комплексной диагностики, лечебно-диагностических процедур (электромиорелаксация, кондилография). Комплексный подход к лечению пациентов. Взаимодействие со смежными специалистами (стоматологи-терапевты, ортопеды, хирурги, детские стоматологи, ЛОР врачи, логопеды).
Почему выбирают нас
Наши пациенты обеспечены обезболиванием и анестезией не только во время приема у доктора. Для каждого пациента разрабатывается индивидуальная программа анестезии на время лечения зубов и программа обезболивания на весь период реабилитации после лечения и зубных операций.
Программа обезболивания включает самые современные и надежные препараты для эффективной и быстрой реабилитации после операции, регенерации тканей и быстрого восстановления. Программу постоперационной поддержки курирует Виктор Владимирович Корякин – анестезиолог-реаниматолог, член "EFAAD" (Европейского Общества Обезболивания в Стоматологии), заместитель главного врача Немецкого Стоматологического Центра. Как и все специалисты клиники, Виктор Владимирович имеет несколько медицинских специализаций.
За плечами наших специалистов обучение в Венской гнатологической школе, у основателей зарубежной и отечественной стоматологической гнатологии. Многие наши доктора получали дополнительную стоматологическую специализацию в престижных европейских учебных заведениях и стажировались за границей.
Все доктора Центра – имеют несколько ключевых специализаций. Среди нас кандидаты медицинских наук, ученые, преподаватели медицинских университетов, тренеры-практики, обучающие стоматологов по всей России и за рубежом.
Системный подход – философия Немецкого Стоматологического Центра. Именно эта идея определяет и организовывает нашу работу. Наши доктора всегда рассматривают организм как комплексную систему, где все части связаны. Проблема с зубами может быть вызвана вовсе не плохой гигиеной, а скрываться совершенно в других, неочевидных на первый взгляд вещах. Все доктора Немецкого Стоматологического Центра имеют несколько ключевых специализаций, что позволяет сопоставлять те самые неочевидные нюансы здоровья в единую систему и лечить не следствие, а причину, навсегда избавляя от проблем с зубами.
Наши доктора всегда работают в команде. В диагностике и принятии решений о методах лечения всегда участвует не один доктор, а три.
Уже на этапе диагностики и планирования лечения зубов мы можем с 99% точностью показать пациенту, как будут выглядеть его зубы после лечения в Немецком Стоматологическом Центре. Наш пациент всегда четко понимает, как будет закрываться его челюсть, как будут выглядеть его зубы, улыбка и лицо после лечения зубов. От нас пациент всегда уходит полностью удовлетворенный лечением и получает именно тот результат, который мы ему показали на первой встрече.
Безошибочность нашей работы и гарантия лучшего результата основана на трех ключевых составляющих:
- Глубокий аналитический и комплексный подход в диагностике. Для каждого пациента мы создаем индивидуальной программу обследования, которая может включать компьютерную томографию с широким спектром исследований и анализа, телерентгенографию (ТРГ), кондилографию, аксиографию, окклюзиограмму и другие методы диагностики. Техническое оснащение нашего центра считается одним из лучших в Москве.
- Авторская методика детального планирования операций, которая позволяет докторам слаженно работать на всех этапах лечения.
- Программа индивидуального анестезиологического и реабилитационного сопровождения каждого пациента. Вы будете чувствовать себя безопасно, спокойно и комфортно не только во время лечения, но и дома, после всех стоматологических манипуляций. Наш подход к лечению всегда предусматривает отдельную программу послеоперационной реабилитации для быстрого и качественного заживления и восстановления.
Удобное расположение Немецкого Стоматологического Центра на Новом Арбате. К нам легко и быстро добираться как на общественном, так и на личном транспорте. Центр находится в пешей доступности от центральных бизнес центров, поэтому к нам на лечение очень удобно приходить сразу после работы.
Для владельцев авто у нас есть отдельная собственная парковка.











































































































