+7 495 737 44 66
Пн. - пт.: с 9:00 до 21:00
Сб.: с 9:00 до 18:00
улица Новый Арбат, 30/9,
Россия, Москва

Пн. - пт.: с 9:00 до 21:00 Сб.: с 9:00 до 18:00

+7 495 737 44 66
Реставрация
Виниры с антиэйдж эффектом

Совершенная работа

Каждый зуб тщательно дорабатывается вручную, чтобы ваша улыбка выглядела безупречно.

Функциональность на 100%

Делаем не просто красивые реставрации, а полностью восстанавливаем работу челюсти и лица.

Эстетическая реставрация

картинка
Реставрация винирами

Для решения эстетических проблем передних зубов устанавливаются керамические накладки, или, по-другому, виниры. Они подбираются таким образом, чтобы придать зубам естественную белоснежность и красивую, ровную форму.

Установленные виниры совершенно не отличить от настоящих зубов, при этом они позволяют скрыть различного рода изъяны. Реставрацию зубов винирами используют, когда нужно скрыть или скорректировать:

  • сколы и трещины на зубах

  • неправильную форму зубов

  • увеличенные промежутки, щели между зубами, диастема

  • лёгкую скученность зубов


Реставрация зубов винирами также улучшают эстетику лица. За несколько визитов в стоматологию вы получаете фактически новую улыбку — сияющую и эстетичную, как из глянцевого журнала.

Марина Ивановна Мисквич, к.м.н., главный врач Немецкого стоматологического центра

Большинство пациентов воспринимают керамические виниры как зубные накладки, с помощью которых можно создать красивую улыбку. Да, она всегда будет идеальной и обворожительной, ведь виниры годами сохраняют оттенок и естественный блеск эмали. Но это еще не все их преимущества.

С точки зрения стоматологии, реставрация зубов винирами — это прежде всего восстановление правильного функционирования зубочелюстной системы. Когда все ее составляющие работают правильно, тогда и улыбка пациента ослепительная, и черты лица гармоничные.

Узнайте больше о том, зачем устанавливать керамические виниры, из видео главного врача Немецкого стоматологического центра Марины Мискевич.


Также рекомендуем посмотреть подробное объяснение всех тонкостей и нюансов про виниры и реставрацию зубов с их помощью от нашего доктора Першиной Ирины:

 


Изготовление винирова

Процесс изготовления керамических виниров состоит из нескольких этапов. Когда определены показания к восстановлению зубов винирами, снимается слепок зубов, отливаются лабораторные челюсти, моделируется макет будущих виниров. Затем с данных восковых реконструкций снимается дублирующий слепок, с помощью которого доктор изготавливает индивидуальный шаблон для препарирования зубов. Это позволяет препарировать зубы намного более щадящим и точным образом. После этого этапа зубной техник получает модель, на которой уже он готовит окончательные виниры. После этого доктору остается лишь зафиксировать готовые реставрации в полости рта пациента.


Установка винира на зубы

В этом видео мы решили показать упрощённый процесс реставрации зуба виниром, чтобы вы в общем понимали, как это происходит происходит.


картинка
Реставрация зубов

Эстетическая реставрация зубов - восстановления естественного и эстетичного вида зуба с помощью различных материалов. Также эту процедуру называют художественной или косметической реставрацией зубов.

Эстетическая реставрация помогает красиво восстанавливать зубы в ходе терапевтического лечения, а также справляется с природными и приобретёнными дефектами. По вашему желанию можно создать необходимую форму зуба, а также скорректировать его цвет, не прибегая к отбеливанию.


Особенности эстетической реставрации зубов в нашей стоматологии в Москве

В Немецком Стоматологическом Центре, завершая лечение кариеса, зуб не просто пломбируют, а проводят полноценную эстетическую реставрацию зуба, т.е. в точности воспроизводят анатомию и фактуру с помощью специальных материалов.

Для реставрации зубов мы используем:

  1. Разноструктурные нанокомпозитные материалы - имитируют дентин и эмаль зуба. В результате после процедуры отличить пролеченный зуб от здорового практически невозможно.

  2. Керамические вкладки - «заменители» пломбы. Необходимы, когда большая часть зуба из-за кариеса оказалась разрушенной.

  3. Керамические виниры - для реставрации зубов в зоне улыбки. Не только восстанавливают форму зуба, но и маскируют его изъяны.


Методики художественной реставрации зубов


Прямая реставрация

Обычно происходит за один визит к стоматологу. Подходит для случаев, когда откололся небольшой кусок зуба, вывалилась пломба, зубная эмаль разрушена кариесом начальной или средней степени. Для прямой реставрации зуба используют композитные и нанокомпозитные пломбировочные материалы, подходящие под естественный оттенок эмали, такой метод также называется керамической реставрацией зубов. После зуб выглядит очень естественно и как новенький.


Непрямая реставрация

Нужна в случае кардинального изменения зубов. Например, когда необходимо убрать щели между зубами, сильно скорректировать форму зубов и их цвет. Подразумевает использование люминиров, виниров, полукоронок, накладок. Перед установкой зуб слегка обтачивается, затем с него снимается слепок, по которому создается накладка на зуб, идеально подходящая пациенту по всем параметрам (форма, цвет).


Какой метод реставрации зубов подходит вам?

Только стоматолог может определить подходящий способ реставрации зубов. Он зависит от проблем, которые необходимо решить, и полной клинической картины после диагностики.

В некоторых случаях мы предлагаем комплексное эстетическое лечение: сначала выравнивание и изменение зубов с помощью ортопедических конструкций (брекеты, элайнеры), чтобы восстановить функциональность зубного ряда, убрать дискомфорт, боль и т. д.  Далее - эстетическую реставрацию, наведение красоты и создание улыбки вашей мечты. Для нас важно, чтобы ваши зубы были не просто красивыми, а на все 100% выполняли свои функции.
картинка
Виды реставрации зубов
Художественная или эстетическая реставрация зубов - это процесс восстановления зубов с целью улучшения их внешнего вида и функциональности. В зависимости от состояния зубов, врач может рекомендовать различные виды реставрации, в том числе виниры, керамическую реставрацию зубов, адгезивную реставрацию, реставрацию без виниров, реставрацию керамическими винирами, адгезивную керамическую реставрацию, реставрацию зубов керамическими вкладками и другие варианты реставрации.

Реставрация зубов винирами - это один из наиболее популярных видов реставрации, особенно когда речь идет о передних зубах. Виниры - это тонкие керамические пластины, которые крепятся на переднюю поверхность зуба и могут улучшить его цвет, форму и размер. Они могут использоваться для реставрации центральных зубов, а также передних зубов.

Керамическая реставрация зубов также является популярным видом реставрации зубов. Она может использоваться как для восстановления одного зуба, так и для нескольких зубов. Керамические реставрации, такие как виниры и коронки, обладают высокой прочностью и имеют естественный вид, который может усовершенствовать улыбку и поднять самооценку человека.

Адгезивная реставрация - это вид реставрации зубов, при котором зубы восстанавливаются с помощью композитного материала, который сцепляется с зубом с помощью адгезивного состава. Этот вид реставрации используется для устранения дефектов зубов, таких как трещины, сколы, кариес и другие.

Реставрация зубов без виниров - это вид реставрации, при котором зубы восстанавливаются без применения виниров. Этот вид реставрации может использоваться для устранения дефектов зубов, таких как кариес, трещины и сколы, а также для восстановления формы и размера зубов.

Реставрация зубов керамическими винирами - это вид реставрации зубов, который используется для улучшения внешнего вида передних зубов. Керамические виниры обеспечивают естественный и прочный результат, позволяют регулировать форму, размер и цвет зубов.

При выборе метода реставрации зубов важно учитывать индивидуальные особенности пациента, состояние зубов и ожидаемые результаты. Консультация с опытным стоматологом поможет определить наиболее подходящий вариант реставрации и достичь желаемого эстетического и функционального результата.

Плюсы и минусы каждого из видов реставрации зубов.

Реставрация зубов винирами

Плюсы виниров

  • Улучшение эстетического вида зубов. Виниры могут значительно изменить форму и цвет зубов, создавая естественную и привлекательную улыбку.
  • Минимальная потеря зубной эмали. Виниры требуют меньшей обточки зубной эмали по сравнению с другими видами реставрации.
  • Долговечность. При правильном уходе виниры могут сохранять свой внешний вид и функциональность в течение десятков лет.

Минусы виниров

  • Необратимость. Процесс препарации зубов перед нанесением виниров необратим, и зубы должны оставаться под винирами навсегда.
  • Цена. Реставрация зубов винирами может быть дорогой процедурой.

Керамическая реставрация зубов

Плюсы керамической реставрации

  • Естественный внешний вид зубов. Керамические материалы могут имитировать естественный цвет и блеск зубов, создавая естественный и привлекательный результат.
  • Прочность и долговечность. Керамические реставрации обладают высокой прочностью и могут длиться долгое время с правильным уходом.
  • Гипоаалергенность материалов, подходят всем.

Минусы керамической реставрации зубов

  • Большая потеря зубной эмали. Процесс препарации зубов для керамических реставраций может требовать значительной потери зубной эмали.
  • Более длительный процесс лечения. Керамическая реставрация требует нескольких посещений стоматолога и времени для изготовления и установки реставрации.
  • Высокая стоимость.

Адгезивная реставрация зубов

Плюсы адгезивной реставрации

  • Минимальная потеря зубной эмали. Процесс препарации зубов для адгезивной реставрации обычно требует минимальной потери зубной эмали.
  • Адгезивная реставрация может быть выполнена за одно посещение стоматолога.

Минусы адгезивной реставрации

  • Композитные материалы менее долговечны по сравнению с керамическими реставрациями и требуют регулярного обслуживания и замены.
картинка
Нанокомпозитные материалы

При незначительных разрушениях мы восстанавливаем зубы композитными материалами. С их помощью воссоздаётся структура зуба, его форма и цвет после тщательного устранения всех пораженных участков. Обязательно восстанавливаются рельеф и резцовый край, в результате чего зубу возвращается естественный внешний вид.

Доктор аккуратно наносит несколько слоев нанокомпозитного материала разной прозрачности и текстуры для имитации внутренних тканей зуба и эмали. Столь вдумчивый подход позволяет создавать безупречные реставрации для красоты вашей улыбки.

Керамическая вкладка

Марина Ивановна Мисквич, к.м.н., главный врач Немецкого стоматологического центра

Керамическая вкладка надежнее пломбы. Кто бы что ни говорил, но ещё не создали пломбу, которая выглядела бы эстетично, служила долго и обеспечивала качественное жевание пищи.

Но это не значит, что нет решения! Отличная альтернатива для керамической реставрации зубов— керамические вкладки. Они восстанавливают зуб после лечения кариеса и совершенно незаметны. Полуразрушенные жевательные зубы возможно восстановить не только коронкой или пломбой, но и керамической вкладкой. Она вытачивается с использованием высокоточных CAD/CAM-технологий по индивидуально сделанным оттискам реставрируемого зуба.

Керамика — уникальный материал, который позволяет максимально полно воссоздать цвет и прозрачность конструкции. Эти качества делают керамическую вкладку незаметной на зубе и идеальным вариантом для керамической реставрации зубов.

Керамика прочнее других пломбировочных материалов. А оттенок вкладки мы подбираем под ваши зубы, причём с годами она не меняет цвет. Еще один из плюсов – вкладка надолго сохраняет зуб от разрушения и повторного кариеса, потому что отлично прилегает к тканям зуба. А восстановленный зуб выглядит как цельный и здоровый, что особенно важно для красивой и уверенной улыбки!


В чём преимущества вкладки перед пломбой при керамической реставрации зуба?


ИЗНОСОСТОЙКОСТЬ
Не стирается и сохраняет свою первозданную форму даже под воздействием ежедневных жевательных нагрузок
иконка
ДОЛГОВЕЧНОСТЬ
Срок службы — более 10–15 лет
иконка
ГИГИЕНИЧНОСТЬ
Керамическая вкладка плотно прилегает к зубу, исключая попадание налёта и обеспечивая отличную гигиену полости рта
иконка
БЕЗУПРЕЧНАЯ ЭСТЕТИКА
Внешний вид керамики подобен эмали, границы между вкладкой и зубом просто не видно
картинка
Безметалловая керамика

Коронки из безметалловой керамики - ещё один прекрасный вариант для эстетической реставрации зубов. Коронки представляют собой точную копию настоящего зуба. Они не бликуют, так как керамика преломляет свет, подобно натуральной эмали, и при свете ультрафиолета не просвечивает металлический каркас, в отличие от металлокерамических коронок.


Чем хороша безметалловая керамика?

Этот материал превосходно зарекомендовал себя для керамической реставрации: он наиболее близко имитирует эмаль благодаря прочности, полупрозрачности и схожим способностям по преломлению света.

Цельнокерамические коронки воспроизводят анатомическую форму зуба и естественные неровности, что важно для правильного пережёвывания пищи и здоровья пищеварительной системы в целом. В Немецком Стоматологическом Центре коронки из безметалловой керамики изготавливаются с учетом всех этих нюансов. В результате вы получаете правильный прикус и корректную работу височно-нижнечелюстного сустава.


Преимущества безметалловых коронок


БИОСОВМЕСТИМОСТЬ
Цельнокерамические зубные коронки подходят абсолютно всем, не вызывают аллергии и прочих реакций
иконка
КРАСОТА
Внешне совершенно неотличимы от натуральных зубов, потому что керамика близка по своей фактуре к природной эмали зуба
иконка
ФУНКЦИОНАЛЬНОСТЬ
Керамический материал сравним по жёсткости с эмалью, поэтому выдерживает ежедневные жевательные нагрузки и не стирается
картинка
Реставрация передних зубов
Реставрация передних зубов - это процедура восстановления эстетики и функциональности зубов, расположенных в передней части рта. Эта процедура может быть необходима в случае дефектов эмали, трещин, отсутствия зубов или их неправильного расположения.

Существует несколько видов реставрации передних зубов. Один из самых популярных методов - это реставрация зубов винирами. Виниры - это тонкие керамические пластинки, которые закрепляются на передней поверхности зубов. Они позволяют изменить форму, цвет и положение зубов, при этом максимально сохраняя их естественность. Виниры могут использоваться для реставрации поврежденных, деформированных, окрашенных зубов или для закрытия промежутков между зубами.

Еще один вид реставрации передних зубов - это реставрация керамическими коронками. Коронки закрепляются на ослабленные, поврежденные или серьезно изношенные зубы и позволяют восстановить их форму, цвет и функциональность. Керамические коронки могут быть безметалловыми или с металлической основой.

Кроме того, существует реставрация зубов керамическими вкладками, которые закрепляются на зубы с помощью специальных адгезивов. Этот метод используется для восстановления зубов с крупными дефектами эмали.
При выборе метода реставрации передних зубов, стоматолог учитывает не только состояние зубов, но и желания и ожидания пациента. В каждом случае выбирается оптимальный метод, который позволит достичь наилучшего результата.

Одним из главных преимуществ реставрации передних зубов является повышение самооценки и уверенности в себе. Восстановленные зубы выглядят естественно и привлекательно, что может существенно улучшить внешний вид и повысить уверенность в себе.

Однако, существуют и некоторые минусы, связанные с реставрацией передних зубов. Во-первых, это стоимость процедуры, которая может быть довольно высокой. Во-вторых, процесс реставрации может занимать некоторое время, так как требуется подготовка и изготовление специальных конструкций. Кроме того, реставрация передних зубов требует постоянного ухода и правильной гигиены, чтобы сохранить долговечность и эстетику результата.

В целом, реставрация передних зубов позволяет восстановить и улучшить внешний вид улыбки, придать зубам естественный и привлекательный вид, а также восстановить их функциональность. С помощью современных методов реставрации передних зубов, стоматологи могут достичь высококачественных и долговечных результатов, учитывая индивидуальные потребности и пожелания каждого пациента.
Виниры - это тонкие, приклеиваемые на переднюю поверхность зубов оболочки из композитного материала или керамики. Они представляют собой косметическую стоматологическую процедуру, которая позволяет улучшить внешний вид зубов, изменить их форму, цвет, размер и выравнивание. Виниры используются для коррекции косметических дефектов зубов, таких как неровности, зубные щели, пятна, окрашенность или износ эмали.
Виниры имеют несколько преимуществ:
Естественный внешний вид: Они создают натуральный и привлекательный внешний вид зубов. Материалы, используемые при изготовлении виниров, имеют схожую структуру и цвет с естественной зубной эмалью.
Минимальная потеря зубной эмали: Для установки виниров требуется удаление минимального количества зубной эмали, что делает процедуру более консервативной и меньше вредящей зубам.
Долговременный результат: Виниры обладают высокой прочностью и долговечностью, что позволяет сохранить улучшенный внешний вид зубов на протяжении длительного времени.
Быстрая процедура: Установка виниров обычно требует двух или трех визитов к стоматологу, что делает процесс относительно быстрым и удобным для пациента.

Да, в большинстве случаев требуется небольшая обработка или спиливание зубов перед установкой виниров. Это делается для того, чтобы создать место для виниров и обеспечить их правильное положение и выравнивание с соседними зубами.

Процесс спиливания зубов для виниров обычно очень минимальный и консервативный. Специалист по косметической стоматологии или ортодонтист будет удалить очень тонкий слой зубной эмали с передней поверхности зубов, чтобы создать достаточное пространство для виниров.

Этот процесс является необратимым, и поэтому важно обратиться к квалифицированному стоматологу, который сможет правильно определить необходимость спиливания и выполнить его с минимальным воздействием на зубную эмаль.

Важно отметить, что решение о спиливании зубов для виниров должно быть принято врачом на основе индивидуальной оценки вашего случая. Каждый пациент имеет уникальную структуру зубов, и не всегда необходимо спиливание. Врач проведет тщательное обследование и обсудит с вами все возможные варианты лечения, включая необходимость спиливания зубов, прежде чем приступить к процедуре установки виниров.

Виниры ставят на живые зубы по нескольким причинам:

  1. Косметическое улучшение: Виниры используются для создания эстетически привлекательной улыбки. Они могут помочь скрыть различные косметические дефекты, такие как стойкие пятна, неровности, промежутки между зубами или сломанные края. Установка виниров на живые зубы позволяет достичь натурального и естественного внешнего вида.

  2. Минимальное вмешательство: Виниры требуют небольшого спиливания зубов перед установкой, но это минимальное вмешательство. Спиливание зубной эмали является консервативным и обычно ограничивается тонким слоем. Поэтому они позволяют сохранить большую часть естественной структуры зуба.

  3. Функциональность: Виниры имеют тонкую, но прочную структуру, которая позволяет сохранить функциональность зубов. Они не только улучшают внешний вид, но и защищают поверхность зубов от дальнейшего износа и повреждений.

  4. Долговечность: Виниры изготавливаются из материалов, которые обладают высокой прочностью и долговечностью. При правильном уходе и регулярном посещении стоматолога они могут прослужить длительное время.

Важно отметить, что установка виниров на живые зубы требует опыта и навыков стоматолога, чтобы достичь оптимального результата. Поэтому важно обратиться к квалифицированному и опытному стоматологу, который специализируется на косметической стоматологии и имеет опыт работы с винирами.

Существуют некоторые случаи, когда стоматолог может рекомендовать не ставить виниры. Вот некоторые из них:

  1. Существенная потеря зубной эмали: Если у вас имеется значительная потеря зубной эмали, например, из-за кариеса или абразии, может быть недостаточно здоровой поверхности для надежной фиксации виниров. В таких случаях может потребоваться другое лечение, такое как коронки или имплантаты.

  2. Сильное зубное разрушение или повреждение: Если зубы серьезно повреждены или имеют большие кариозные полости, виниры могут быть неподходящим вариантом. В таких случаях может потребоваться другое лечение, такое как коронки или реставрация зубов.

  3. Сильный зубной скрежет (бруксизм): Если у вас есть проблемы с бруксизмом (зубной скрежет), который вызывает сильное нажатие и трение зубов, виниры могут быть подвержены избыточному износу или даже поломке. В этом случае ваш стоматолог может рекомендовать другие методы лечения, чтобы предотвратить повреждение виниров.

  4. Недостаточное количество зубов: Виниры требуют достаточного количества зубов для фиксации и поддержки. Если у вас недостаточно зубов в ряду или недостаточно структуры для поддержки виниров, стоматолог может рекомендовать альтернативные методы лечения, такие как протезирование или имплантаты.

Каждый случай индивидуален, и решение о том, стоит ли ставить виниры или нет, должно быть принято после консультации со стоматологом. Он проведет необходимое исследование и оценит состояние ваших зубов, чтобы предложить наиболее подходящее лечение для вас.

Виниры имеют несколько потенциальных минусов, которые стоит учитывать перед их установкой. Вот некоторые из них:

  1. Необратимость процедуры: Установка виниров требует снятия тонкого слоя зубной эмали, чтобы создать место для их приклеивания. Это означает, что процедура является необратимой, и после удаления эмали зубы требуют постоянной защиты с помощью виниров или других протезов. Однажды удаленная эмаль не может быть восстановлена самостоятельно.

  2. Возможность повреждения: Виниры, как и другие стоматологические протезы, могут повредиться или отклеиться со временем. Хотя современные материалы и клеи обеспечивают прочное крепление, некоторые факторы, такие как травма, избыточное жевание твердой пищи или неправильное использование зубов, могут привести к повреждению виниров.

  3. Возможные ощущения и дискомфорт: Некоторые люди могут ощущать небольшой дискомфорт или чувствительность после установки виниров, особенно в первое время. Это может быть связано с изменением высоты зубов или адаптацией окружающих тканей. Обычно эти ощущения проходят со временем, но в некоторых случаях может потребоваться корректировка виниров для достижения оптимального комфорта.

  4. Ограничения в ремонтных работах: Если виниры повреждаются или отклеиваются, их ремонт может быть затруднен или невозможен. В таком случае может потребоваться полная замена виниров, что сопряжено с дополнительными расходами и временем.

Важно отметить, что большинство пациентов, у которых установлены виниры, оценивают их преимущества и счастливы с результатами. Но каждый случай индивидуален, и перед принятием решения о винирах рекомендуется обсудить все возможные плюсы и минусы с квалифицированным стоматологом, чтобы принять осознанное решение, учитывая вашу уникальную ситуацию и ожидания.

Установка виниров является необратимой процедурой, так как требует удаления тонкого слоя зубной эмали для приклеивания виниров. После удаления эмали зубы нуждаются в защите с помощью виниров или других протезов, поскольку самостоятельное восстановление удаленной эмали невозможно.

Если вам необходимо удалить виниры и вернуться к естественному состоянию зубов, обычно требуется процедура удаления виниров. Врач должен аккуратно удалить виниры и восстановить зубы по мере возможности. Однако стоит учитывать, что при удалении виниров возможны некоторые осложнения, такие как слабые или ослабленные зубы, изменение формы и цвета эмали, а также потребность в дополнительных стоматологических процедурах для восстановления зубов.

В любом случае, если вы хотите удалить виниры и вернуть свои естественные зубы, рекомендуется обратиться к квалифицированному стоматологу для детальной консультации и плана действий, исходя из ваших индивидуальных потребностей и состояния зубов.

Виниры являются тонкими накладными покрытиями, которые крепятся на переднюю поверхность существующих зубов. Они предназначены для улучшения внешнего вида зубов и улучшения их формы, цвета или выравнивания. Поэтому, если у вас нет зубов, виниры не могут быть непосредственно установлены.

Однако, если вы отсутствующие зубы заменяете имплантами или съемными протезами, такими как съемные зубные протезы или мостовидные протезы, виниры могут быть изготовлены и прикреплены к их поверхности, чтобы достичь желаемого эстетического результата.

Важно обратиться к стоматологу для подробной оценки вашей ситуации и определения наилучшего решения для восстановления зубов и достижения желаемого внешнего вида.

Обычно виниры являются постоянным и несъемным решением для улучшения внешнего вида зубов. Они создаются индивидуально для каждого пациента и надежно крепятся на поверхность зубов.

Однако в некоторых случаях могут использоваться съемные виниры. Они обычно называются "временными винирами" или "предварительными винирами" и могут быть применены для временного улучшения эстетики зубов. Временные виниры могут использоваться для оценки желаемого результата, прежде чем приступить к созданию постоянных виниров.

Однако стоит отметить, что съемные виниры обычно не обладают такой же прочностью и долговечностью, как постоянные виниры. Они могут быть менее устойчивыми и требуют более частого снятия и ухода. Кроме того, съемные виниры могут быть менее комфортными для носки в течение длительного времени.

Если вы интересуетесь винирами, рекомендуется проконсультироваться со специалистом по эстетической стоматологии или ортодонтистом, чтобы узнать, какие варианты подходят именно вам и какие типы виниров доступны в вашем случае.

Время, необходимое для установки виниров, может варьироваться в зависимости от различных факторов, включая количество зубов, на которые требуется установить виниры, сложность случая, индивидуальные особенности пациента и выбранный метод установки виниров.

Обычно процесс установки виниров занимает несколько этапов и занимает несколько посещений стоматологического кабинета. На первом визите проводится консультация с врачом, где пациент обсуждает свои цели и ожидания, а также проходит осмотр и оценка состояния зубов.

Затем следует этап подготовки зубов, который может включать удаление минимального количества эмали для создания места под виниры. Далее проводится снятие оттиска зубов, который будет использоваться для создания индивидуальных виниров в лаборатории. Промежуточные визиты могут потребоваться для проверки точности посадки и цвета виниров.

Окончательный этап - установка виниров на зубы. Врач аккуратно прикрепляет виниры к поверхности зубов с использованием специального цемента или клея. После установки виниров может потребоваться финальная полировка и коррекция прикуса, чтобы достичь оптимального комфорта и эстетического результата.

Общее время установки виниров может занимать от нескольких недель до нескольких месяцев, в зависимости от индивидуальных обстоятельств и сложности случая. Важно помнить, что каждый пациент имеет уникальные потребности, поэтому точное время установки виниров будет определено после консультации с врачом.

Стоимость виниров и коронок может варьироваться в зависимости от множества факторов, включая материалы, сложность кейса, индивидуальные потребности пациента и региональные цены в стоматологических клиниках.

Одной из причин, почему виниры могут быть более дорогими, является использование более высококачественных материалов. Виниры обычно изготавливаются из тонкой керамики или композитного материала, который обладает высокой прозрачностью и эстетическими свойствами, что позволяет достичь естественного и привлекательного внешнего вида зубов. Качественные материалы имеют свою цену и могут повышать стоимость процедуры.

Кроме того, процесс изготовления виниров требует опытного и квалифицированного техника в стоматологической лаборатории, который создает индивидуальные виниры, соответствующие анатомии и цвету зубов пациента. Ручная работа и индивидуальный подход увеличивают трудоемкость и стоимость процесса.

Также следует учесть, что виниры могут предоставлять более эстетический результат, поскольку они намного тоньше и прилегают к зубу более плотно, по сравнению с коронками. Они могут позволить достичь более естественного вида зубов, что может быть важным для многих пациентов, и это тоже может отразиться на их стоимости.

Однако стоимость виниров и коронок может различаться в разных стоматологических клиниках и в разных регионах. Рекомендуется проконсультироваться с врачом или получить несколько консультаций, чтобы получить точную информацию о стоимости и рекомендуемых методах лечения для своего конкретного случая.

Вопрос о надежности виниров и коронок зависит от конкретной ситуации и условий использования. Оба эти метода стоматологического протезирования имеют свои преимущества и ограничения.

Виниры - это тонкие оболочки из керамики или композитного материала, которые приклеиваются на переднюю поверхность зубов. Они предназначены в основном для коррекции эстетических недостатков, таких как неровности, окрашивание или небольшие трещины. Виниры обеспечивают естественный и привлекательный внешний вид зубов. Однако, поскольку они являются более тонкими, они могут быть менее прочными и подвержены повреждениям при сильных нагрузках или неправильном использовании.

Коронки, с другой стороны, представляют собой полные оболочки, которые полностью покрывают зуб. Они используются в случаях, когда зуб сильно поврежден, имеет крупные пломбы или требует восстановления формы и функции. Коронки могут быть изготовлены из различных материалов, включая металлокерамику, цирконий или полностью керамические. Они обеспечивают более прочное и стойкое восстановление зуба, способное выдерживать большие нагрузки при жевании.

Каждый из этих методов имеет свои преимущества и ограничения, и решение о выборе между винирами и коронками должно быть принято врачом на основе индивидуальных потребностей и состояния зубов пациента. Если вам необходимо восстановить эстетику зубов или исправить небольшие дефекты, виниры могут быть подходящим вариантом. Если же зуб сильно поврежден или требует более прочного восстановления, то коронки могут быть более надежным решением.

Важно обсудить свои ожидания и потребности со стоматологом, чтобы получить рекомендации и принять взвешенное решение относительно выбора между винирами и коронками.

В зависимости от конкретной ситуации и потребностей пациента, если виниры не являются подходящим вариантом, можно рассмотреть следующие альтернативы:

  1. Коронки: Коронки представляют собой полные оболочки, которые полностью покрывают поверхность зуба. Они используются в случаях, когда зуб поврежден, имеет большие пломбы или требует восстановления формы и функции. Коронки могут быть изготовлены из различных материалов, включая металлокерамику, цирконий или полностью керамические, обеспечивая прочное и долговременное восстановление зуба.

  2. Композитные реставрации: Это метод, при котором используется композитный материал, схожий с материалом, используемым для пломбирования. Композитные реставрации могут быть применены для исправления неровностей, закрытия промежутков между зубами, изменения формы или восстановления поврежденных зубов. Они применяются непосредственно на зуб и моделируются для достижения желаемого внешнего вида.

  3. Ортодонтическое лечение: Если проблема связана с неровным прикусом или неправильным положением зубов, ортодонтическое лечение может быть рекомендовано. Оно может включать использование брекет-систем, инвизибл-алигнеров или других съемных аппаратов для постепенного выравнивания зубов и коррекции прикуса.

  4. Протезирование: В случае отсутствия одного или нескольких зубов, протезирование может быть необходимым. Это может включать съемные протезы, мостовидные протезы или имплантаты, которые позволяют восстановить недостающие зубы и восстановить функцию жевания и эстетику улыбки.

Важно обратиться к стоматологу для оценки вашего конкретного случая и получения индивидуальных рекомендаций. Врач сможет предложить оптимальное решение, учитывая вашу ситуацию, желаемые результаты и финансовые возможности.

Виниры, как и другие стоматологические реставрации, могут быть долговечными и служить долгое время, но со временем они могут потребовать некоторого внимания и обслуживания. В старости могут возникать следующие возможные сценарии:

  1. Изменение прилегания: С течением времени, особенно при наличии изменений в полости рта, таких как изменение формы десен или резорбция костной ткани, может произойти изменение прилегания виниров. В таком случае может потребоваться переоснастка или замена виниров для обеспечения правильного прилегания.

  2. Изменение окраски: Виниры изготавливаются из материалов, которые устойчивы к пятнам и сохраняют свою эстетику со временем. Однако, если пациент употребляет продукты, которые могут пятнить зубы, или не поддерживает хорошую гигиену полости рта, возможно изменение окраски виниров. В таком случае может потребоваться профессиональная чистка или полировка виниров, чтобы восстановить их естественный цвет.

  3. Повреждения или поломки: Виниры могут быть подвержены повреждениям или поломкам в результате травмы или неосторожного обращения. В таком случае необходимо обратиться к стоматологу для оценки повреждения и ремонта или замены виниров при необходимости.

В целом, правильный уход за винирами, регулярные визиты к стоматологу для осмотра и поддержания хорошей гигиены полости рта помогут продлить срок службы виниров и сохранить их эстетический вид. При возникновении любых проблем или вопросов необходимо обратиться к стоматологу для консультации и рекомендаций по дальнейшему уходу за винирами.

Виниры являются довольно надежной и долговечной формой стоматологической реставрации, но они также имеют свои ограничения и потенциальные проблемы. Вот некоторые из них:

  1. Повреждения: Виниры могут быть более хрупкими по сравнению с натуральными зубами. Хотя они обычно прочные, они все же могут подвергаться повреждениям при сильных ударам, травмах или неправильном использовании зубов (например, открытии бутылок зубами). При повреждении виниров может потребоваться их замена или ремонт.

  2. Изменение окраски: Виниры обычно изготавливаются из материалов, устойчивых к пятнам. Однако, некоторые продукты, такие как кофе, чай, красное вино или курение, могут вызывать появление пятен на поверхности виниров со временем. Регулярная и правильная гигиена полости рта и ограничение потребления продуктов, способствующих пятнам, могут помочь снизить риск изменения окраски виниров.

  3. Риск кариеса: Хотя виниры сами по себе не подвержены развитию кариеса, но прилегающая к ним зубная ткань остается подвержена кариесу. Правильная устная гигиена, регулярные визиты к стоматологу и соблюдение рекомендаций по уходу за винирами помогут предотвратить развитие кариеса.

  4. Индивидуальная совместимость: У некоторых пациентов может возникнуть реакция на материалы, из которых изготовлены виниры. Поэтому перед установкой виниров стоматолог обычно проводит тест на совместимость с материалами.

Важно отметить, что соблюдение рекомендаций стоматолога и правильный уход за винирами помогут минимизировать потенциальные проблемы и продлить их срок службы. Регулярные визиты к стоматологу и обследования помогут выявить любые проблемы на ранней стадии и предпринять соответствующие меры для их решения.

Да, в некоторых случаях можно поставить виниры на зубы с пломбами. Это зависит от состояния пломбы, ее размеров и расположения. При консультации со стоматологом он проведет осмотр и оценит состояние зубов и пломб. Если пломбы находятся в хорошем состоянии и не требуют замены, то виниры могут быть установлены поверх них.

Однако, в некоторых случаях может потребоваться замена или обновление пломбы перед установкой виниров. Это может быть необходимо, если пломба имеет значительные дефекты, неправильную форму или несовместима с виниром из-за своего цвета или материала.

Важно получить профессиональную консультацию от стоматолога, который сможет оценить состояние ваших зубов, пломб и принять решение о возможности установки виниров. Он также предоставит рекомендации относительно замены или реставрации пломб, если это будет необходимо.

Люминиры на зубы представляют собой тонкие керамические или композитные оболочки, которые накладываются на переднюю поверхность зубов. Они используются для изменения внешнего вида зубов, улучшения их формы, цвета, выравнивания и создания естественного улыбки.

Люминиры изготавливаются индивидуально для каждого пациента с учетом его уникальной структуры зубов и желаемых результатов. Они обычно применяются для коррекции дефектов, таких как неровности, небольшие промежутки между зубами, пятна, усеченные или сломанные зубы. Люминиры могут быть использованы на одном или нескольких зубах в зоне улыбки.

Процесс установки люминиров включает подготовку зубов путем удаления небольшого слоя эмали и создание оттиска для изготовления индивидуальных оболочек. После этого люминиры крепятся на зубы при помощи специального цемента или клея. Они обладают отличным сцеплением и прочностью, при этом создают естественный и привлекательный внешний вид.

Люминиры обладают рядом преимуществ, таких как минимальная потеря зубной ткани при их установке, возможность коррекции формы и цвета зубов, долговременная стойкость и устойчивость к пятнам и окрашиванию. Они также не требуют особых уходовых процедур и могут длительное время сохранять свой внешний вид при правильном уходе.

Однако, стоит отметить, что процесс установки люминиров является необратимым, так как во время подготовки зубов удаляется небольшой слой эмали. Поэтому перед принятием решения о установке люминиров необходимо провести консультацию со стоматологом, который оценит состояние ваших зубов и даст рекомендации относительно подходящего варианта реставрации.

Люминиры и виниры представляют собой два разных термина, которые используются для описания одного и того же типа стоматологической реставрации. В некоторых случаях термины "люминиры" и "виниры" могут использоваться взаимозаменяемо, и различия между ними могут быть незначительными или отсутствовать вообще.

Однако в некоторых источниках и отдельных стоматологических практиках могут существовать некоторые различия в использовании этих терминов:

  1. Материал: В некоторых случаях люминиры могут быть сделаны из более прозрачного керамического материала, который обеспечивает естественный и прозрачный внешний вид зубов. В то же время виниры могут быть сделаны из керамики или композитных материалов, но с небольшим количеством опаковых пигментов, что может приводить к более непрозрачному внешнему виду.

  2. Толщина: Виниры обычно имеют большую толщину по сравнению с люминирами. Это может быть связано с более существенными изменениями в форме и выравнивании зубов, которые могут потребовать более значительной стоматологической реставрации.

  3. Подготовка зубов: Подготовка зубов для установки люминиров может быть менее интенсивной, чем для виниров. В некоторых случаях для установки виниров может потребоваться более существенное удаление зубной эмали.

Важно отметить, что эти различия могут быть относительными и зависят от конкретного стоматологического случая и подхода врача. Перед реставрацией зубов с использованием люминиров или виниров рекомендуется проконсультироваться со стоматологом, который проведет оценку вашего случая и даст рекомендации относительно наиболее подходящего варианта реставрации.

Виниры и импланты - это два разных метода стоматологической реставрации, применяемых для разных целей и на разных уровнях.

Виниры - это тонкие оболочки из керамики или композитного материала, которые приклеиваются на переднюю поверхность зубов. Они используются для коррекции внешнего вида зубов, изменения их формы, размера, цвета или выравнивания незначительных дефектов. Виниры обычно не требуют удаления зубной ткани и могут быть установлены безболезненно и относительно быстро. Они являются консервативным методом реставрации, который приносит эстетическую пользу пациенту, но не восстанавливает функцию зубов.

Импланты, с другой стороны, представляют собой металлические корневые конструкции, которые вводятся в кость челюсти или верхней челюсти вместо отсутствующих зубов. Они служат в качестве основы для установки заменяющих зубные протезы, таких как коронки, мосты или съемные протезы. Импланты требуют хирургической процедуры, включающей вживление импланта в кость и период заживления. Они обеспечивают стабильное крепление протезов, восстанавливают функцию жевания и поддерживают здоровую структуру челюсти.

Таким образом, основная разница между винирами и имплантами заключается в их целях и области применения. Виниры используются для эстетической коррекции зубов, тогда как импланты - для восстановления отсутствующих зубов и функции жевания. Конкретный метод реставрации будет зависеть от индивидуальных потребностей и условий пациента, и решение о выборе между винирами и имплантами следует принимать совместно с стоматологом на основе подробного обследования и консультации.

Продолжительность срока службы виниров зависит от нескольких факторов, включая качество материала, правильное ухода за ними, естественного износа и индивидуальных особенностей каждого пациента. Виниры не являются вечными реставрациями и со временем они могут требовать замены или ремонта.

Хотя виниры изготавливаются из прочных материалов, таких как керамика или композит, они могут подвергаться естественному износу в результате повседневной жевательной нагрузки, истирания и возможных травматических воздействий. Кроме того, состояние окружающих зубов и десен может также влиять на долговечность виниров.

Регулярное посещение стоматолога для профессиональной чистки и осмотра поможет поддерживать здоровье ваших виниров и обеспечит раннее выявление потенциальных проблем. Если виниры становятся поврежденными, выцветшими или требуют коррекции, стоматолог может рекомендовать их замену или ремонт.

Важно помнить, что длительный срок службы виниров зависит от соблюдения рекомендаций по уходу за ними. Это включает правильное чистка зубов, использование мягкой зубной щетки, избегание сильного давления при чистке, регулярное использование нить для чистки межзубных промежутков и избегание жевания твердых предметов, которые могут повредить виниры.

В целом, хорошо ухаживая за винирами и следуя рекомендациям стоматолога, они могут служить вам долгое время. Однако, рано или поздно, возможно потребуется их замена или обслуживание, чтобы сохранить эстетику и функциональность вашей улыбки.

Да, несмотря на то, что виниры покрывают переднюю поверхность зубов, необходимо продолжать правильно и регулярно чистить зубы, включая их поверхности, даже если у вас установлены виниры. Это важно для поддержания общего здоровья полости рта, предотвращения зубного налета и кариеса, а также сохранения долговечности и эстетики виниров.

Вот несколько рекомендаций по уходу за зубами и винирами:

  1. Чистите зубы два раза в день, используя мягкую зубную щетку и нежные движения. Обратите внимание на зону соединения виниров с природными зубами, чтобы удалить налет и остатки пищи.

  2. Используйте нить для чистки межзубных промежутков или специальные зубные интердентальные щетки для удаления налета и пищевых частиц между зубами, включая области с винирами.

  3. Регулярно посещайте стоматолога для профессиональной чистки и осмотра полости рта. Врач сможет оценить состояние ваших виниров и обеспечить их долговечность.

  4. Избегайте питательных продуктов и напитков, которые могут вызывать пятна или пигментацию виниров, таких как кофе, чай, красное вино и курение. Если употребляете такие продукты, рекомендуется чистить зубы после их употребления или ограничить потребление.

  5. Будьте осторожны при жевании твердых предметов, таких как лед, карандаши или косточки, чтобы избежать повреждения виниров.

Соблюдение правильного ухода за зубами и винирами поможет поддерживать их эстетический вид, предотвращать проблемы со здоровьем полости рта и сохранять долговечность вашей улыбки.

Выравнивание зубов перед установкой виниров зависит от конкретной ситуации и состояния ваших зубов. В некоторых случаях, когда зубы сильно искривлены или имеют большие промежутки между ними, может потребоваться предварительное выравнивание зубов с помощью ортодонтического лечения, такого как носение брекетов или прозрачных элайнеров. Это позволит достичь оптимальной формы и позиции зубов перед установкой виниров.

Однако в других случаях, когда зубы имеют небольшие недостатки в выравнивании или незначительные промежутки между ними, виниры могут использоваться для коррекции эстетических проблем без предварительного ортодонтического лечения. Врач-стоматолог оценит вашу конкретную ситуацию, проведет диагностику и подскажет наиболее подходящий план лечения.

Важно понимать, что виниры могут исправить внешний вид зубов, но они не могут активно изменять их положение и выравнивание, как это делается с помощью ортодонтического лечения. Если у вас есть значительные проблемы с выравниванием зубов, врач может рекомендовать провести предварительное ортодонтическое лечение перед установкой виниров.

Лучше всего проконсультироваться с ортодонтом или стоматологом, чтобы они оценили вашу ситуацию и рассказали о наилучших вариантах лечения, чтобы достичь желаемого результата.

Время заживления десен после установки виниров может варьироваться в зависимости от различных факторов, включая индивидуальную реакцию организма, сложность процедуры и общее состояние здоровья десен.

Обычно первые несколько дней после установки виниров могут сопровождаться некоторым дискомфортом и чувствительностью десен. Это связано с тем, что во время процедуры может происходить небольшое раздражение десен. В течение этого времени важно следовать рекомендациям стоматолога по уходу за ротовой полостью и деснами.

Обычно десны начинают заживать в течение первых нескольких дней. Однако полное заживление десен может занять около 1-2 недель. Важно помнить, что каждый организм индивидуален, и время заживления может различаться.

Чтобы сократить время заживления и обеспечить успешное выздоровление, рекомендуется следовать указаниям врача и соблюдать хорошую гигиену полости рта. Это включает регулярное чистка зубов, использование мягкой зубной щетки и нежного очищения десен, применение рекомендуемых стоматологом препаратов для ухода за деснами и придерживание правильной диеты, избегая твердой и острой пищи в первые дни после процедуры.

Если вы испытываете продолжительный дискомфорт, кровотечение или другие проблемы с деснами после установки виниров, рекомендуется обратиться к вашему стоматологу для оценки ситуации и получения дополнительных рекомендаций.

Вопрос о том, что лучше ставить на передние зубы, зависит от индивидуальных предпочтений, состояния зубов, эстетических целей и рекомендаций стоматолога. Есть несколько вариантов, которые могут быть рассмотрены:

  1. Виниры (лентики) – это тонкие керамические оболочки, которые накладываются на переднюю поверхность зубов. Они обеспечивают естественный и эстетичный внешний вид, при этом минимально вмешиваясь в зубную ткань.

  2. Фэйсеты (фейслифтинг) – это тонкие керамические или композитные оболочки, которые накладываются на переднюю поверхность зубов. Они могут корректировать форму, цвет и выравнивание зубов, создавая естественную и привлекательную улыбку.

  3. Эмалирование – это процедура нанесения тонкого слоя композитного материала на переднюю поверхность зубов. Она может использоваться для исправления маленьких дефектов, изменения цвета или формы зубов.

  4. Ортодонтическое лечение – если передние зубы имеют неравномерное выравнивание или неправильный прикус, ортодонтическое лечение, такое как брекеты или прозрачные элайнеры, может быть рекомендовано для выравнивания зубов.

Важно проконсультироваться со стоматологом или ортодонтом, чтобы они могли оценить вашу ситуацию, услышать ваши пожелания и рекомендовать наиболее подходящий вариант лечения для ваших передних зубов.

Постановка винира на разрушенный зуб зависит от степени разрушения и состояния зуба. В целом, виниры требуют минимальной подготовки зубной ткани, поэтому они могут быть применимы при небольших разрушениях зуба. Однако, если зуб сильно разрушен, имеет обширные кариозные поражения, трещины или потерю значительной части зубной ткани, то винир может быть неэффективным и непрочным решением.

В таких случаях может потребоваться более интенсивное лечение, например, ставка коронки. Коронка – это обтуратор, который полностью охватывает разрушенный зуб, восстанавливая его форму, функцию и прочность. Коронки обеспечивают более сильную защиту для разрушенного зуба и могут быть более долговечными в сравнении с винирами.

Важно проконсультироваться со стоматологом, чтобы они могли оценить состояние разрушенного зуба и рекомендовать наиболее подходящее лечение. Они могут предложить различные варианты восстановления зуба, учитывая его состояние, функцию и ваши личные предпочтения.

Виниры без обточки, также известные как "no-prep виниры" или "минимальная подготовка", представляют собой тонкие керамические оболочки, которые наносятся на переднюю поверхность зуба без необходимости обточки или шлифовки зубной эмали. В отличие от традиционных виниров, которые требуют удаления определенного количества зубной эмали для обеспечения места под винир, виниры без обточки позволяют сохранить максимальное количество зубной эмали.

Преимущества виниров без обточки включают минимальный или отсутствующий дискомфорт во время процедуры, сохранение зубной эмали, возможность реверсивности (возможность удалить виниры без повреждения зубной эмали) и относительно более быстрое время лечения. Однако, виниры без обточки не подходят для всех случаев, и их применение требует тщательной оценки стоматологом.

Необходимо отметить, что виниры без обточки могут иметь ограничения в термине эстетической трансформации и возможности коррекции формы зубов, поскольку они имеют ограниченную толщину. Они часто рекомендуются для пациентов с уже относительно ровными зубами и минимальными косметическими дефектами, которые хотят улучшить внешний вид своей улыбки. В каждом конкретном случае следует проконсультироваться со стоматологом, чтобы оценить, подходят ли виниры без обточки для ваших потребностей и целей эстетической коррекции зубов.

Ставить виниры рекомендуется, когда зубы и десны полностью сформированы и достигнут зрелого состояния. В принципе, возраст не является преградой для установки виниров, и они могут быть применены как у взрослых, так и у подростков, при условии, что у них уже закончился период роста и развития зубов.

Однако перед установкой виниров необходимо учесть ряд факторов, таких как общее состояние здоровья, состояние зубной эмали и стоматологические проблемы, которые требуют лечения. Поэтому важно проконсультироваться со стоматологом, который проведет тщательное исследование вашего рта и оценит, подходят ли виниры для ваших конкретных потребностей и целей.

Установка виниров может быть осуществлена в любом возрасте, но учитывая, что виниры обычно служат косметической цели, наиболее распространенным возрастом для их установки является взрослый период, когда зубы полностью сформированы. Подросткам также могут быть предложены виниры после полного формирования зубов и с достаточно здоровыми зубами и деснами.

В итоге, решение о том, когда ставить виниры, принимается индивидуально в зависимости от конкретной ситуации каждого пациента и рекомендаций стоматолога.

Реставрация зубов — это процесс восстановления поврежденных, поврежденных или потерянных зубов с целью восстановления их эстетического вида, функции и здоровья. Реставрация зубов включает в себя несколько методов и процедур, которые могут быть применены в зависимости от конкретной ситуации и требований пациента. Вот некоторые из основных методов реставрации зубов:

  1. Пломбирование: Это процедура восстановления зубов с помощью пломбы (например, композитная пломба). Она используется для восстановления зубов, поврежденных кариесом или мелкими дефектами.

  2. Виниры: Виниры представляют собой тонкие оболочки из керамики или композитного материала, которые крепятся на переднюю поверхность зубов. Они используются для изменения формы, цвета или выравнивания зубов.

  3. Коронки: Коронки — это каппы, полностью покрывающие поверхность поврежденного или слабого зуба. Они восстанавливают его форму, функцию и эстетику.

  4. Мосты: Мосты используются для замены одного или нескольких потерянных зубов. Они включают искусственные зубы, которые закрепляются на соседних зубах, служащих опорой.

  5. Имплантаты: Имплантаты представляют собой хирургически внедряемые искусственные зубные корни, которые заменяют отсутствующие зубы. Они служат основой для установки зубных протезов.

  6. Ортодонтическое лечение: Ортодонтия используется для выравнивания и коррекции позиции зубов и челюстей с помощью брекетов, инвизилинеров или других ортодонтических аппаратов.

  7. Восстановление эмали: Это процедура, при которой применяются различные методы и материалы для восстановления и защиты поверхности эмали зубов.

Все эти методы реставрации зубов выполняются стоматологами с целью улучшения здоровья, функции и эстетики зубов, восстановления уверенности пациента в своей улыбке и общей качества жизни.

Вопрос о выборе между пломбой и реставрацией зубов зависит от состояния зуба и требуемого результата. Вот некоторые общие различия между пломбами и реставрацией зубов:

  1. Пломба: Пломба применяется для восстановления небольших дефектов зубов, таких как кариес или небольшие отслоения эмали. Она используется для заполнения полости после удаления кариозной ткани и восстановления формы и функции зуба. Пломбы обычно делают из композитных материалов, которые имеют цвет, схожий с природными зубами, и предоставляют хорошую эстетику. Однако пломбы имеют ограниченный срок службы и могут требовать замены со временем.

  2. Реставрация зубов: Реставрация зубов включает более обширные процедуры восстановления зубов, которые могут включать применение виниров, коронок, мостов или имплантатов. Реставрация зубов применяется в случаях более серьезных повреждений зубов, таких как сильный кариес, трещины, поломки или потеря зубов. Она восстанавливает не только функцию, но и эстетику зубов, обеспечивая долговременное решение для проблем с зубами. Реставрация зубов может быть более дорогостоящей и требовать больше времени, так как она обычно требует изготовления и установки специальных материалов и конструкций.

В итоге, выбор между пломбой и реставрацией зубов зависит от конкретной ситуации, состояния зуба, объема повреждения и ожидаемых результатов. Рекомендуется обратиться к стоматологу для осмотра и консультации, чтобы определить наиболее подходящий метод восстановления для ваших зубов.

Выбор между коронкой и наращиванием зуба зависит от состояния и общего здоровья зуба, объема повреждения и ожидаемых результатов. Вот некоторые общие различия между этими двумя методами восстановления зубов:

  1. Коронка: Коронка - это искусственная оболочка, которая полностью или частично покрывает существующий зуб. Она используется для восстановления зубов, которые имеют серьезное повреждение, крупные полости, трещины или слабую структуру. Коронки могут быть изготовлены из различных материалов, таких как металлокерамика, цельнокерамические материалы или металлы. Они предоставляют прочность, защиту и эстетически привлекательный внешний вид. Коронки требуют подготовки зуба, при которой некоторая часть зубной ткани удаляется для создания места под коронку. Они обычно предлагают долговременное решение для поврежденных зубов.

  2. Наращивание зуба: Наращивание зуба, также известное как восстановление зуба с помощью композитной пломбы, применяется для восстановления зубов с небольшими дефектами, такими как кариес, отслоение эмали или небольшие поломки. При наращивании зуба стоматолог применяет специальный композитный материал, который формирует и восстанавливает зуб, сохраняя его естественную структуру и форму. Процедура наращивания зуба обычно не требует удаления значительной части зубной ткани и может быть выполнена в одном визите к стоматологу. Она предоставляет быстрое и относительно доступное решение для небольших дефектов зубов.

Исходя из этого, выбор между коронкой и наращиванием зуба зависит от конкретной ситуации. Если зуб имеет серьезное повреждение, крупные полости или слабую структуру, то коронка может быть предпочтительным вариантом, так как она обеспечивает долговременную защиту и восстановление. Если же повреждение зуба незначительное, то наращивание зуба может быть достаточным и более консервативным вариантом.

Рекомендуется обратиться к стоматологу для осмотра и консультации, чтобы определить наиболее подходящий метод восстановления для вашего конкретного случая.

В большинстве случаев зубы могут быть восстановлены с помощью различных стоматологических процедур. Однако есть некоторые ситуации, когда зубы могут быть в настолько плохом состоянии, что их восстановление может быть затруднительным или нецелесообразным. Ниже приведены некоторые примеры, когда зубы могут быть менее подходящими для восстановления:

  1. Сильно разрушенные зубы: Если зуб имеет обширное разрушение, когда большая часть коронки или корневой структуры зуба повреждена или отсутствует, восстановление может быть сложным. В таких случаях может потребоваться извлечение зуба и последующая замена имплантатом или другими протезными методами.

  2. Зубы с серьезными периодонтальными проблемами: Если зубы находятся в поздних стадиях пародонтита или имеют серьезные проблемы с тканями, окружающими зубы, восстановление может быть ограничено. В таких случаях может потребоваться лечение пародонтита или даже извлечение зуба.

  3. Сильные деформации или дефекты зубов: В некоторых случаях, когда зубы имеют серьезные деформации, дефекты или аномалии развития, восстановление может быть затруднено или невозможно. В таких ситуациях может потребоваться ортодонтическое лечение или другие протезные методы для улучшения внешнего вида и функции зубов.

  4. Недостаточно оставшихся зубных тканей: Если зуб имеет очень мало оставшихся зубных тканей, включая коронку и корневую часть, восстановление может быть ограничено. В таких случаях может потребоваться извлечение зуба и последующая замена имплантатом или другими протезными методами.

Важно понимать, что решение о восстановлении или извлечении зуба должно быть принято стоматологом на основе индивидуального осмотра и оценки состояния зуба. Каждый случай является уникальным, и рекомендации будут зависеть от конкретной ситуации и потребностей пациента.

Художественная реставрация и пломба - это две разные стоматологические процедуры, которые выполняются для восстановления поврежденных или пораженных зубов. Вот некоторые основные различия между ними:

  1. Материалы: Художественная реставрация обычно использует эстетические материалы, такие как композитная смола или керамика, которые могут быть подобраны по цвету и текстуре, чтобы соответствовать остальным зубам и создать естественный внешний вид. В то же время, для пломбы часто используется амальгама (серебряная пломба) или композитный материал, который может быть более функциональным, но не всегда столь эстетичным.

  2. Объем повреждения: Художественная реставрация обычно применяется при более серьезных повреждениях зубов, таких как значительные дефекты или трещины, когда требуется восстановление формы и функции зуба, а также улучшение внешнего вида. Пломба же чаще всего используется для лечения кариеса или небольших дефектов, когда удаление пораженной ткани и заполнение полости достаточно для восстановления зуба.

  3. Техники и процедуры: Художественная реставрация обычно требует более сложных техник и процедур, таких как моделирование формы и текстуры зуба, создание индивидуальной вкладки или косметического фасета. Это позволяет стоматологу создать естественный и гармоничный результат. Пломба, с другой стороны, в основном заключается в удалении пораженной ткани и заполнении полости материалом.

  4. Долговечность: Художественная реставрация, выполненная с использованием качественных материалов и правильной техники, может быть более долговечной и стабильной по сравнению с пломбой. Керамические вкладки и фасеты имеют высокую прочность и долговечность, а также сохраняют свой цвет и форму на протяжении длительного времени. Пломбы, особенно амальгамные, могут быть менее долговечными и подвержены износу и изменению цвета со временем.

В конечном счете, выбор между художественной реставрацией и пломбой будет зависеть от состояния зуба, объема повреждения, эстетических предпочтений пациента и рекомендаций стоматолога.

Цены на услуги

Прием главного врача

Первичный прием (осмотр, консультация) врача-стоматолога-ортопеда (главный врач).

Прием ортопеда

Первичный прием (осмотр, консультация) врача-стоматолога-ортопеда.

Консультация гнатолога

Первичный прием (осмотр, консультация) одного из ведущих гнатологов Центра.
*все гнатологи клиники - выпускники Венской школы с международной практикой.

Установка люминира или винира

Реставрационные работы по восстановлению зуба или созданию эстетически красивого зуба с помощью накладок люминиров или виниров.

Композитная реставрация зуба

Ручная реставрационная работа - полное восстановление поврежденного зуба с использованием нанокомпозитных материалов.

Кейсы: до и после

Все кейсы

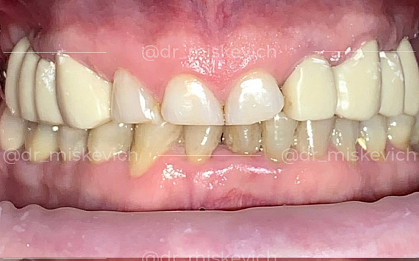
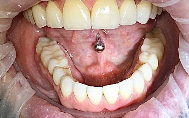
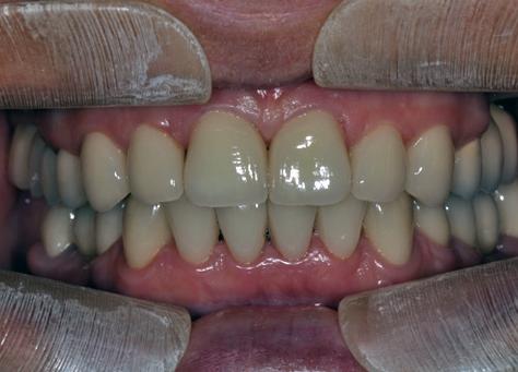
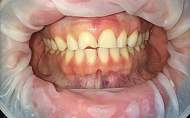
Kомплексная работа, тотальное протезирование винирами.

У пациента было много претензий к зубам: не нравилась форма, цвет эмали и по функциональной части были вопросы, которые доставляли дискомфорт.
Мы сделали идеальные со всех точек зрения зубы. Они именно того цвета, который хотел пациент, при этом выглядят максимально естественно. Узнать подробнее

Лечение с максимальным сохранением зубов

Пациентка обратилась с комплексом жалоб: боли и щелчки в суставах, шепелявость и нечеткость звукообразования. 
В лечении взяли курс на максимальное сохранение своих зубов. Была проведена большая ортодонтическая работа. Сейчас лечение находится на этапе восстановления.
Узнать подробнее

Эстетическое протезирование винирами

В первую очередь был запрос на эстетическую часть. Пациентка хотела, чтобы новые зубы выглядели естественно.
По части натуральных виниров наши доктора мастера, поэтому с задачей справились на отлично! Узнать подробнее

Комплексное исправление прикуса

Пациентка пришла жалобами на неправильный прикус, который вместе с эстетическим дискомфортом и выраженной асимметрией лица доставлял ряд более серьезных проблем: головные боли, боли в шее и в суставах.
Проблему решали комплексно: совместно с ортодонтом, гнатологом и протезистом. Узнать подробнее

Лечение сломанного винира

У пациентки сломался винир. С этой проблемой она и пришла к нам. 
В ходе консультации было обнаружено ещё несколько проблем и предложено комплексное лечение. Узнать подробнее

Ортодонтическое лечение и протезирование винирами

Пациентка пришла с целым списком вопросов, которые нужно было решить. Была проведена тщательная диагностика, после чего принято решение о комплексном подходе к лечению. Узнать подробнее

Тотальное перелечивание зубов

Пациентка проходила длительное лечение в другой клинике, но результат её не устроил. Было трудно открывать рот, болела челюсть. Поэтому она обратилась в Немецкий Стоматологический Центр.
Кроме того страдала эстетическая часть, пациентке не нравилась её десневая улыбка (когда она улыбается, видно большое количество десны). Узнать подробнее

Ортодонтическое перелечивание

Молодой человек пришёл к нам во время ортодонтического лечения в другой клинике, где ему поставили брекеты на верхнюю челюсть.
Совместно с гнатологом скорректировали ортодонтическое лечение. После брекетов провели санацию и начали протезирование винирами. Узнать подробнее

Ортодонтическое лечение и протезирование винирами

Пациентка обратилась с классическим списком гнатологических проблем. Также она хотела исправить эстетическую часть, чтобы зубы выглядели красивее.
Наши доктора успешно справились со всеми задачами! Узнать подробнее

Замена терапевтических виниров

Старые композитные виниры утратили эстетику и начали разрушаться. Мы заменили их на керамику: проработали форму, убрали нагрузку с сустава, и теперь пациентка снова улыбается с удовольствием. Узнать подробнее

Комплексное лечение: ортодонтия + виниры

Пациентка хотела улучшить эстетику улыбки. Вместо быстрого результата мы пошли по правильному пути: сначала выровняли прикус, а потом установили виниры. В итоге — гармония и красота на годы вперёд. Узнать подробнее

Комплексная работа стоматологов и косметологов

Пациентка обратилась с рядом проблем, требующих исключительного комплексного подхода и совместной работы стоматологов и косметологов Немецкого Стоматологического Центра.
Сначала мы восстановили высоту нижней трети лица с помощью протезирования и конечно же за счёт этого кардинально изменили качество передних зубов, привели их в эстетически красивый вид. Далее за дело взялись косметологи.
Узнать подробнее

Восстановление суставов и прикуса

Комплексная работа терапевта, ортодонта-гнатолога и ортопеда-гнатолога. Пациент пришёл с жалобами на щелчки в суставах, напряжение в жевательных мышцах и мышцах шеи, повышенной стираемостью зубов. 
Все жалобы прошли после проведённого лечения.  Узнать подробнее

Тотальная реставрация зубов

Пациентка обратилась в первую очередь из-за эстетически некрасивого вида зубов.
Была проделана работа по удлинению передних зубов и тотальная реставрация с цветом блич 1.
Узнать подробнее

Комплексная реставрация зубов

Пациентка пришла с целым набором проблем и эстетическим недовольством своими зубами.
Проведена большая комплексная реабилитация, работала команда докторов. Были установлены виниры, коронки и импланты. 

Вместе с проблемами с зубами мы получили и антиэйдж эффект: губа поднялась выше , подтянулось лицо.
Узнать подробнее

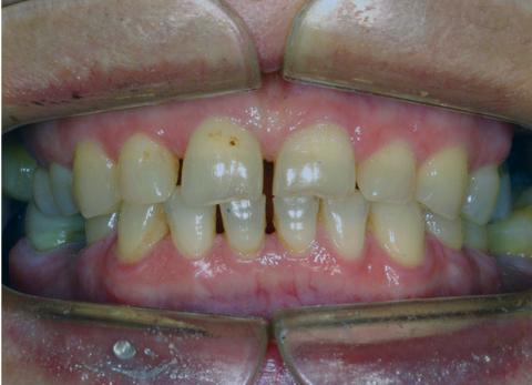
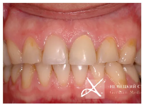
Комплексное лечение с установкой виниров

Пациентка обратилась в клинику с жалобами на оголение шеек и корней зубов, повышенную чувствительность зубов от холодного, горячего и других пищевых раздражителей, боли во время чистки зубов, косметический дефект.
Было предложено комплексное лечение, одним из этапов которого была операция по закрытию рецессии десны мягкими тканями.

Узнать подробнее

Эстетическая реставрация винирами

Пациентка 24 года обратилась после ортодонтического лечения с желанием привести улыбку в более эстетический вид.
В ходе диагностики были выявлены флюорозное поражение и композитные реставрации неудовлетворительного качества и цвета. 

Узнать подробнее

Реставрация рефракторными винирами

Пациент обратился с жалобами на некрасивый внешний вид верхних центральных передних зубов.
После диагностики был предложен вариант восстановления эстетики зубного ряда с помощью рефракторных винировых накладок.

Узнать подробнее

Комплексная реставрация передних зубов

Пациентка (42 года) обратилась с жалобой на эстетику фронтальных зубов верхней челюсти. 
После диагностики было предложено комплексное восстановление: исправление старых реставраций винирами и реставрация зуба композитными материалами. Узнать подробнее

Ортопедическая реставрация с опорой на имплантаты и виниры

Пациентка обратилась с проблемой с отсутствия зубов в области нижней челюсти и неудовлетворительным внешним видом верхних фронтальных зубов. Пациентка пользовалась частичным нижнечелюстным съемным протезом в течение пяти последних лет.
Был предложен комплексный план стоматологической реабилитации.

Узнать подробнее

Протезирование металлокерамическими коронками, имплантаты и керамические виниры

Пациентка обратилась с жалобами на неудовлетворяющую эстетику после ранее выполненного протезирования в иной стоматологической клинике. Основные жалобы связаны с затруднениями при жевании, постоянной головной болью, систематическим хрустом с обеих сторон головы в области ВНЧС.
После функционального анализа проведено реконструктивное лечение металлокерамическими конструкциями, в том числе опирающимися и на дентальные имплантаты.

Узнать подробнее

Реставрация на основе оксида циркония и керамических виниров

Пациентка обратилась с жалобами на неудовлетворяющую эстетику, образовавшиеся в последнее время промежутки между зубами, значительную стираемость зубов и связанный с этим явлением дискомфорт во время приёма пищи.
Проведено лечения генерализованной абразии зубов. Восстановление функции и эстетики с помощью реставраций на основе оксида циркония и керамических виниров.

Узнать подробнее

Гнатологическое лечение с реставрацией винирами

Пациентка, 43 года. Обратилась с проблемами тотальной стираемости зубов, постоянным напряжением жевательных мышц, потери контура лица, выраженных морщин.

Было предложено комплексное лечение: гнатологическое и виниры.

Узнать подробнее

Ортодонтическое лечение элайнерами, протезирование и установка виниров

Пациент обратился с жалобы на неровные передние зубы верхней и нижней челюстей.

Диагностика показала ряд различных проблем: сужение зубных рядов, обратное перекрытие зубов, разворот зубов по оси, стираемость эмали, индивидуальную микродентию. 

Пациенту был предложен комплексный план лечения.

Узнать подробнее

Комплексное лечение: ортодонтическое, хирургическое, ортопедическое

Пациентка обратилась с жалобами на неровные передние зубы.
При осмотре выявлено-сужение верхнего и нижнего зубных рядов, скученное положение зубов обеих челюстей, рецессия десны. КТ показала убыль костной ткани в области зубов на нижней челюсти на 50%.

Предложено комплексное лечение.

Узнать подробнее

Восстановление эстетики зубов винирами

Молодой девушке не нравились промежутки между зубами и эстетический вид верхних передних зубов в целом. Хотелось сделать улыбку красивой, зубы ровными.

Важно отметить, что пациентка наотрез отказалась от любого ортодонтического лечения (брекеты, элайнеры и другие методы выравнивания зубов). 

После диагностики доктор предложила поставить виниры.

Узнать подробнее

Комплексное лечение с установкой виниров

Пациентка пришла с желанием поставить виниры. В ходе обследования было найдено несколько проблем и предложено комплексное лечение, которое включает в себя выравнивание зубов и исправление прикуса, некоторые хирургические манипуляции и конечно  установку виниров.

Узнать подробнее

Полная реставрация зубов

Девушка обратилась с рядом проблем: стираемость и и повышенная чувствительность зубов, неэстетичный внешний вид, нарушение дикции.
Мы предложили установку виниров на фронтальные зубы.
Результат получился потрясающий! Узнать подробнее

Реабилитация на винирах

Пациент обратился с рядом проблем, основная из которых - нарушение функциональной работы челюсти. Также его не устраивал эстетический вид зубов.
Нам удалось решить все возникшие проблемы и нормализовать функциональную работу всей челюсти с помощью виниров.
Узнать подробнее

Тотальная реабилитация винирами

Часто изменения в лице начинаются со стираемости зубов. Казалось бы незаметное изменение, которое придает стареющий увядающий вид даже для достаточно молодого возраста. В этом кейсе мы видим, как тотальная реабилитация винирами улучшила форму лица, подтянулся контур, красиво легли губы. Узнать подробнее

Протезирование и имплантация с гнатологическим лечением

Пациентка обратилась к нам с множеством проблем, которые связаны как с функциональной, так и с эстетической стороной.
Было проведено большое стоматологическое лечение и реабилитация. Узнать подробнее

Преимущества реставрации зубов в Немецком Стоматологическом Центре

Коронки ручной работы

Высококвалифицированный техник вручную работает над рельефом и оттенком каждой коронки или накладки. Точно воспроизводит неровности на жевательной поверхности или резцовый край, как у настоящих зубов. Каждая накладка - уникальное произведение искусства. Мы достигаем безупречной эстетики и максимальной естественности.

Цифровое моделирование

Цифровое моделирование позволяет создать точную анатомию каждого зуба, чтобы зуб не только выглядел красиво, но и был функционален как любой полноценный зуб.

Лучшие методы реставрации

Доктора нашего центра владеют всеми существующими на данный момент методиками реставрации зубов. Каждому пациенту мы предлагаем именно тот вариант, который максимально подходит его случаю.

Командная работы

Для нас реставрация зубов - это не только восстановление красоты, но и возвращение всей зубочелюстной системы к правильному функционированию. Поэтому в планировании реставрации зубов принимает участие целая команда. Каждый специалист в совершенстве разбирается в своей области и отвечает за определённый этап восстановления зуба. Такая работа даёт совершенный результат на всю жизнь.

Что вас беспокоит?

иконка
Откололся зуб
иконка
Некрасивые зубы
иконка
Межзубные щели
иконка
Изменился цвет эмали
иконка
Зуб поврежден кариесом
иконка
Вывалилась старая пломба
иконка
Нет части зуба
иконка
Восстановить зуб
иконка
Эстетическая реставрация зубов
иконка
Реставрировать передние зубы
иконка
Поставить виниры
иконка
Керамическая реставрация зубов

Кто проводит лечение

Специализация:

Главный врач, стоматолог-ортопед, стоматолог-ортодонт, гнатолог.

Кандидат медицинских наук, член СтАР. Входит в ассоциацию лазерной стоматологии, ассоциированный член Общества по изучению цвета в стоматологии.

Владелец патента на изобретение «Способ изготовления экзопротеза верхней челюсти» (патент № 143103) и патента на полезную модель «Устройство для снятия несъемных зубных протезов» (патент № 54766).

Миссия в клинике:

Мы относимся к жизни и здоровью как к дару, к сохранению молодости и красоты – как к профессиональной чести, а воссоздание улыбки выполняем как ювелирную работу.


Записаться на прием Подробнее

Специализация:

Врач стоматолог-ортопед, стоматолог-терапевт, стоматолог-хирург, гнатолог, клинический провайдер.

Миссия в клинике:

Эстетическое протезирование цельно-керамическими конструкциями; протезирование на имплантатах в качестве немедленной нагрузки; полнофункциональные микропротетические безметалловые восстановления; условно-съемное протезирование на телескопических системах и имплантатах; все виды прямых эстетических реставраций.

Записаться на прием Подробнее

Специализация:

Врач стоматолог-терапевт, стоматолог-ортопед, гнатолог, клинический провайдер.

Миссия в клинике:

виниры, керамические реставрации «INLAY», «ONLAY»;
безметалловая керамика;
реставрации на основе оксида циркония;
все виды съёмного и несъёмного протезирования на имплантатах.

Записаться на прием Подробнее

Специализация:

Врач стоматолог-терапевт, эндодонтист

Миссия в клинике:

Все виды терапевтического лечения, эндодонтия любой степени сложности, работа на операционном микроскопе, работа ротационными эндодонтическими инструментами, обтурация корневых каналов термопластифицированной гуттаперчей, владение современными методиками адгезивных композитных реставраций.

Записаться на прием Подробнее

Специализация:

Врач стоматолог-терапевт, эндодонтист, детский стоматолог

Миссия в клинике:

Все виды терапевтического лечения, Эндодонтия любой степени сложности, Работа на операционном микроскопе, Работа ротационными эндодонтическими инструментами, Обтурация корневых каналов термопластифицированной гуттаперчей, Владение современными методиками адгезивных композитных реставраций

Записаться на прием Подробнее

Специализация:

Врач стоматолог-ортопед, гнатолог.

Миссия в клинике:

Гнатологический функциональный анализ, диагностические электромиографические исследования, миорелаксация, эстетическое протезирование (виниры, коронки, вкладки, микропротезирование), виды съемного и несъемного протезирования на имплантатах, композитные реставрации, отбеливание зубов.


Записаться на прием Подробнее

Отзывы

Почему выбирают нас

иконка

Наши пациенты обеспечены обезболиванием и анестезией не только во время приема у доктора. Для каждого пациента разрабатывается индивидуальная программа анестезии на время лечения зубов и программа обезболивания на весь период реабилитации после лечения и зубных операций.

Программа обезболивания включает самые современные и надежные препараты для эффективной и быстрой реабилитации после операции, регенерации тканей и быстрого восстановления. Программу постоперационной поддержки курирует Виктор Владимирович Корякин – анестезиолог-реаниматолог, член "EFAAD" (Европейского Общества Обезболивания в Стоматологии), заместитель главного врача Немецкого Стоматологического Центра. Как и все специалисты клиники, Виктор Владимирович имеет несколько медицинских специализаций.

иконка

За плечами наших специалистов обучение в Венской гнатологической школе, у основателей зарубежной и отечественной стоматологической гнатологии. Многие наши доктора получали дополнительную стоматологическую специализацию в престижных европейских учебных заведениях и стажировались за границей.

Все доктора Центра – имеют несколько ключевых специализаций. Среди нас кандидаты медицинских наук, ученые, преподаватели медицинских университетов, тренеры-практики, обучающие стоматологов по всей России и за рубежом.

иконка

Системный подход – философия Немецкого Стоматологического Центра. Именно эта идея определяет и организовывает нашу работу. Наши доктора всегда рассматривают организм как комплексную систему, где все части связаны. Проблема с зубами может быть вызвана вовсе не плохой гигиеной, а скрываться совершенно в других, неочевидных на первый взгляд вещах. Все доктора Немецкого Стоматологического Центра имеют несколько ключевых специализаций, что позволяет сопоставлять те самые неочевидные нюансы здоровья в единую систему и лечить не следствие, а причину, навсегда избавляя от проблем с зубами.

Наши доктора всегда работают в команде. В диагностике и принятии решений о методах лечения всегда участвует не один доктор, а три.

иконка

Уже на этапе диагностики и планирования лечения зубов мы можем с 99% точностью показать пациенту, как будут выглядеть его зубы после лечения в Немецком Стоматологическом Центре. Наш пациент всегда четко понимает, как будет закрываться его челюсть, как будут выглядеть его зубы, улыбка и лицо после лечения зубов. От нас пациент всегда уходит полностью удовлетворенный лечением и получает именно тот результат, который мы ему показали на первой встрече.

иконка

Безошибочность нашей работы и гарантия лучшего результата основана на трех ключевых составляющих:

  1. Глубокий аналитический и комплексный подход в диагностике. Для каждого пациента мы создаем индивидуальной программу обследования, которая может включать компьютерную томографию с широким спектром исследований и анализа, телерентгенографию (ТРГ), кондилографию, аксиографию, окклюзиограмму и другие методы диагностики. Техническое оснащение нашего центра считается одним из лучших в Москве.
  2. Авторская методика детального планирования операций, которая позволяет докторам слаженно работать на всех этапах лечения.
  3. Программа индивидуального анестезиологического и реабилитационного сопровождения каждого пациента. Вы будете чувствовать себя безопасно, спокойно и комфортно не только во время лечения, но и дома, после всех стоматологических манипуляций. Наш подход к лечению всегда предусматривает отдельную программу послеоперационной реабилитации для быстрого и качественного заживления и восстановления.

иконка

Удобное расположение Немецкого Стоматологического Центра на Новом Арбате. К нам легко и быстро добираться как на общественном, так и на личном транспорте. Центр находится в пешей доступности от центральных бизнес центров, поэтому к нам на лечение очень удобно приходить сразу после работы.
Для владельцев авто у нас есть отдельная собственная парковка.