+7 495 737 44 66
Пн. - пт.: с 9:00 до 21:00
Сб.: с 9:00 до 18:00
улица Новый Арбат, 30/9,
Россия, Москва

Пн. - пт.: с 9:00 до 21:00 Сб.: с 9:00 до 18:00

+7 495 737 44 66

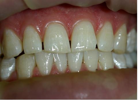
Уход и защита

Отбеливание, которое защищает от кариеса и восстанавливает эмаль.

До 12 тонов за раз

Бережная, но мощная программа отбеливания с крутым результатом.

Отбеливание

картинка
Отбеливания Zoom 4

Система отбеливания Philips Zoom 4 (США) - ультрасовременная, быстрая и эффективная система отбеливания зубов, работа которой основана на ламповой активации геля. Ваша улыбка станет ярче на 10–12 тонов. Светодиодный источник света полностью исключает перегрев тканей зуба и совершенно безопасен для десен. 

Процедура отбеливания зубов занимает около 60 минут. Для значимого эффекта отбеливания достаточно всего одного визита к стоматологу. Результат отбеливания проявляется в полной мере через 2 недели и сохраняется до 2-х лет.

картинка
Отбеливание чувствительных зубов

Bleach'n Smile (Германия и Япония) - мягкая и бережная система отбеливания зубов без активации светом, которая используется для плавного осветления эмали на 5–6 тонов. Подходит для пациентов с чувствительными зубами, с некоторыми дефектами эмали, трещинами и пломбами. Это спа-процедура для эмали зубов, которая дает не только хороший косметический эффект, но и предохраняет зубы от развития кариеса. Рекомендуем делать 2–3 процедуры мягкого отбеливания в течение года для достижения максимального результата.

картинка
Рекомендации

Что делать после отбеливания зубов?

Первые несколько дней после отбеливания зубов цвет особенно восприимчив к красящим пигментам, поэтому рекомендуем полное исключение или ограничение продуктов питания и напитков, обладающих стойким окрашивающим эффектом. Наиболее распространённые из них: чай чёрный, зелёный, кофе, красное вино, кока-кола, соевый соус, фрукты, ягоды (черника, голубика,ежевика), фруктово-ягодные соки, свекла, морковь, приправа куркума. 

Необходимо помнить, что результат отбеливания зубов может быть скоро утрачен при большом употреблении красящих продуктов и курении.

После отбеливания зубов возможно возникновение кратковременных болей в течение 1-2 дней. В этом случае примите обезболивающее.

Для укрепления эмали зубов, сохранения стойкости цвета и снижения чувствительности доктор предложит вам индивидуальный набор средств.

Первые 2-3 недели после отбеливания пользуйтесь пастой для чувствительных зубов.

Для поддержания цвета эмали, по рекомендации доктора, чистите зубы  отбеливающей пастой не чаще 2-3 раз в неделю, комбинируя её с гигиенической пастой или набором для домашнего отбеливания.

Противопоказания

Отбеливания зубов нельзя проводить в следующих случаях:

  • аллергические реакции на перекись водорода и перекись карбамида
  • возраст младше 18 лет
  • наличие заболеваний десен
  • кариес
  • наличие твёрдых зубных отложений 
  • беременность, период лактации

Можно выделить несколько способов:

1. Механический метод

Под механическим осветлением эмали подразумевается профессиональная гигиена полости рта, убирается весь налёт с поверхности эмали, тёмный и твёрдый в том числе. За счёт этого происходит отбеливание.

2. Фотоотбеливание

Это химический процесс, при котором пероксид водорода (активного кислорода) высвобождается световыми лучами галогеновой лампы, за счёт чего происходит осветление. 

3. Лазерное отбеливание

Диодный луч активирует отбеливающий гель. Работает точечно.

Домашнее отбеливание - это различные пасты, отбеливающие полоски, карандаши. Минус такого отбеливания в том, что многие пациенты начинают злоупотреблять отбеливанием и пользуются им очень часто. Частое отбеливание наносит вред эмали. Она будет постоянно гиперчувствительная и потом это приходится лечить.
А результат такого домашнего отбеливания не такой эффективный. Вы не достигнете такого результата как в кабинете у врача.
На оттенок эмали влияет, как пациент питается, сколько употребляет красящих продуктов, в том числе крепкий чай, кофе, курение, и некоторые препараты.
После процедуры отбеливания, которая проводилась в кабинете, обязательно придерживаться бесцветной диеты в течение 2-3 дней, то есть исключаются все красящие продукты, в том числе чай, кофе, тёмные соусы, красное вино, тёмные овощи, тёмные ягоды. Полный список рекомендация мы всегда даём с собой пациенту в виде памятки. После 3 дней бесцветной диеты можно кушать всё в обычном режиме.
Не курить, не пить красящие напитки (чай, кофе, соки, красное вино), не есть красящие продукты (тёмные овощи, тёмные ягоды, соевый соус и т.д.).
Самая безопасное отбеливание - это отбеливание которое проводится в кабинете у доктора.
Если есть чувствительность эмали, отбелить зубы можно. Необходимо перед процедурой укрепить эмаль реминерализующими гелями или лаками. После этого для пациента подбирается индивидуальная программа отбеливания с учётом чувствительности эмали.
Если у пациента установлены брекеты, то отбеливание зубов не проводится.
Если есть наличие пломб, коронок и вкладок, то они не отбеливаются. Отбеливается только своя собственная эмаль. Если пломба расположена на жевательной поверхности, с внутренней поверхности зуба, то отбелить зуб можно и это будет эффективно. Но если стоит, например, композитная реставрация или пломба на лицевой стороне зуба, тогда зуб не отбеливается.
Во время беременности проводить отбеливание зубов не рекомендуется, так как из-за гормональных перепадов и так происходит сильная нагрузка на эмаль.

Цены на услуги

Отбеливание 1 челюсти

Отбеливание зубов одной челюсти (верхней или нижней) по индивидуальной системе. Вариант отбеливания зависит от состояния эмали, ваших пожеланий и других факторов.

Полное отбеливание зубов

Отбеливание системой Zoom 4 или Bleach'n Smile. Какой тип отбеливания подойдёт именно вам, доктор определит на первом визите.

Кейсы: до и после

Все кейсы

Отбеливание зубов

Отбеливание зубов ZOOM4 Узнать подробнее

Отбеливание эмали

Отбеливание зубов за 1 сеанс. Узнать подробнее

Отбеливание с А3 до блич 4

Исходный цвет - А3
Цвет после отбеливания - блич 4 Узнать подробнее

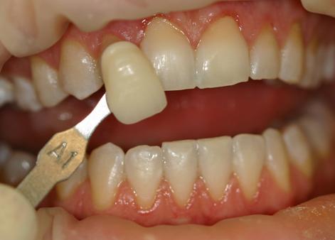
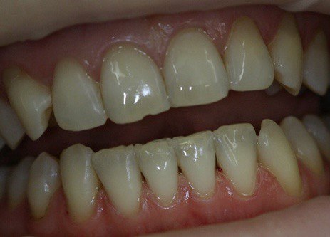
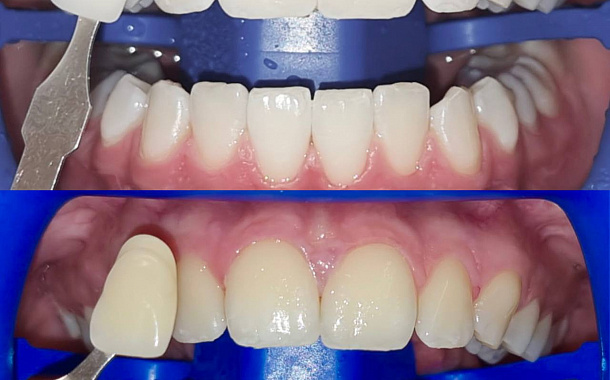
Моментальное отбеливание зубов

Пациентка 45 лет обратилась с желанием изменить оттенок эмали.
До процедуры цвет зубов А3, после процедуры - А1. Узнать подробнее

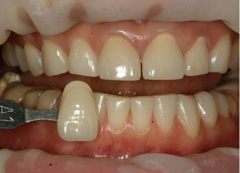
Домашнее отбеливание с каппами

Пациент 37 лет, обратился с целью отбеливания зубов.
До отбеливания цвет А2-А3. После отбеливания цвет В1.


Узнать подробнее

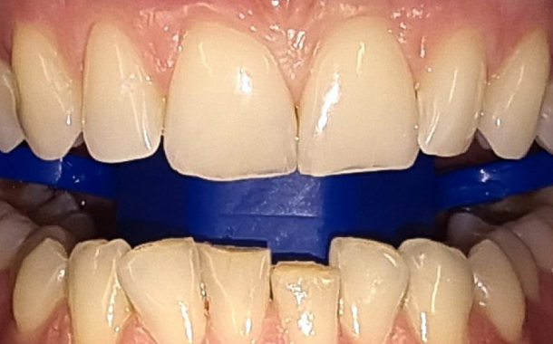
Тотальное отбеливание зубов

Пациент 27 лет обратился с целью отбеливания зубов.
До процедуры отбеливания цвет А2. после процедуры отбеливания цвет зубов В1-А1.

Узнать подробнее

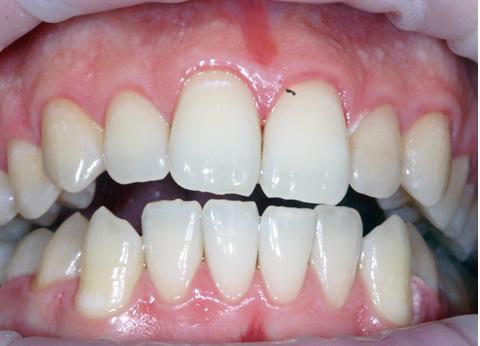
Химическое отбеливание с использованием лазера

До процедуры цвет зубов А3-А3,5 по шкале VITA.
После отбеливания с использованием диодного лазера и замены коронок цвет зубов А1 по шкале VITA.

Узнать подробнее

Лазерное отбеливание зубов

Пациент 51 года обратился с жалобой на тёмные зубы.
До процедуры цвет зубов А3, после процедуры цвет зубов В1. Узнать подробнее

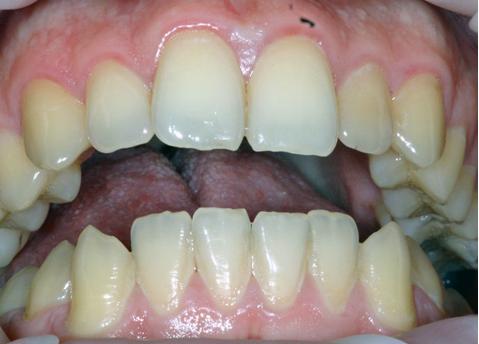
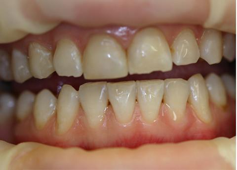
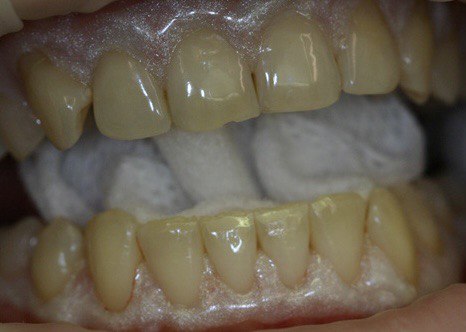
Комбинация клинического и домашнего отбеливания

Пациентка 45 лет обратилась с целью отбеливания зубов.
Цвет зубов до отбеливания А3. После двух процедур отбеливания цвет зубов А1.

Узнать подробнее

Осветление эмали зубов

Пациентка 23 лет обратилась с жалобой на тёмный цвет зубов.
До процедуры цвет зубов А3. После отбеливания цвет зубов А1. 

Узнать подробнее

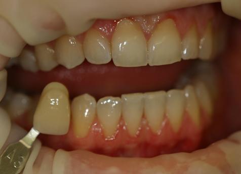
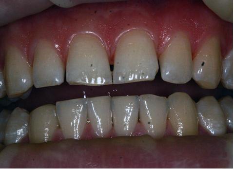
Отбеливание системой Philips ZOOM-4

Цвет до процедуры (А-3,5).
Цвет после процедуры (В-1). Узнать подробнее

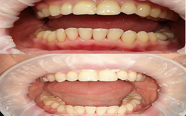
Отбеливание зубов системой ZOOM-4

Цвет до процедуры (А-3,5)
Цвет после процедуры (B-1). Ранее отбеливание не проводилось.

Узнать подробнее

Отбеливание зубов системой Bleach'n Smile

Отбеливание чувствительной эмали.

Цвет до процедуры (А-3).
Цвет после процедуры (А-1).


Узнать подробнее

Особенности отбеливания зубов в Немецком Стоматологическом Центре

Результат до 2х лет

Результат отбеливания зубов сохраняется до 2х лет. Но важно следовать всем рекомендациям врача. Первую неделю после процедуры откажитесь от продуктов, которые могут окрасить эмаль, ограничьте курение. В следующие месяцы не забывайте о правильной гигиене полости рта и регулярных визитах к своему стоматологу.

Профилактика кариеса

Гели для отбеливания расщепляют бактериальную пленку и очищают мелкие трещинки, поверхность эмали становится более гладкой, прочной и устойчивой к образованию кариеса.

Комплексный уход

Перед отбеливанием обязательно проводим профессиональную гигиену полости рта, потому что налет на эмали препятствует ее равномерному осветлению и вредит здоровью зубов. После отбеливания покрываем зубы специальными составами для укрепления эмали.

Безопасное и эффективное отбеливание

Светодиодная лампа не причиняет вреда эмали и безопасна для десен. При этом очень эффективно (до 12 тонов) отбеливает зубы всего за одну процедуру.

Подходит для чувствительных зубов

Отбеливание без активации светом для плавного осветления эмали чувствительных зубов. Мы используем специальные составы, микроэлементы в которых запечатывают мельчайшие трещины и восстанавливают структуру эмали. Реминерализующая терапия после отбеливания дополнительно укрепляет эмаль зубов и снижает их чувствительность.

Индивидуальная программа

Методика отбеливания подбирается индивидуально, на основе осмотра и диагностики ваших зубов. Мы сделаем вашу улыбку белоснежной, сохранив и улучшив здоровье зубов.

Оригинальные системы

Мы используем системы отбеливания Zoom 4 (производство США) и Bleach'n Smile (Германия и Япония). Никаких корейских и китайских аналогов, только оригинальные системы.

Что вас беспокоит?

иконка
Осветлить зубы перед установкой соседних коронок
иконка
Сделать зубы светлее
иконка
Отбелить чувствительные зубы
иконка
Отбеливание Zoom 4
иконка
Безболезненное отбеливание зубов
иконка
Быстро отбелить зубы
иконка
Экспресс отбеливание зубов
иконка
Безопасно отбелить зубы

Кто проводит лечение

Специализация:

Стоматолог гигиенист. Сертифицированный специалист по отбеливанию зубов.

Должностные обязанности:

Профессиональная гигиена полости рта; снятие зубных отложение, как наддесневых, так и поддесневых; закрытый кюретаж пародонтальных карманов; чистка Air-Flow; удаление налета курильщика, ручная чистка и чистка ультразвуком; обучение профессиональной гигиене полости рта, демонстрация пациенту правильных методов чистки зубов; определение гигиенических индексов, подбор индивидуальных средств гигиены; отбеливание зубов.

Записаться на прием Подробнее

Отзывы

Почему выбирают нас

иконка

Наши пациенты обеспечены обезболиванием и анестезией не только во время приема у доктора. Для каждого пациента разрабатывается индивидуальная программа анестезии на время лечения зубов и программа обезболивания на весь период реабилитации после лечения и зубных операций.

Программа обезболивания включает самые современные и надежные препараты для эффективной и быстрой реабилитации после операции, регенерации тканей и быстрого восстановления. Программу постоперационной поддержки курирует Виктор Владимирович Корякин – анестезиолог-реаниматолог, член "EFAAD" (Европейского Общества Обезболивания в Стоматологии), заместитель главного врача Немецкого Стоматологического Центра. Как и все специалисты клиники, Виктор Владимирович имеет несколько медицинских специализаций.

иконка

За плечами наших специалистов обучение в Венской гнатологической школе, у основателей зарубежной и отечественной стоматологической гнатологии. Многие наши доктора получали дополнительную стоматологическую специализацию в престижных европейских учебных заведениях и стажировались за границей.

Все доктора Центра – имеют несколько ключевых специализаций. Среди нас кандидаты медицинских наук, ученые, преподаватели медицинских университетов, тренеры-практики, обучающие стоматологов по всей России и за рубежом.

иконка

Системный подход – философия Немецкого Стоматологического Центра. Именно эта идея определяет и организовывает нашу работу. Наши доктора всегда рассматривают организм как комплексную систему, где все части связаны. Проблема с зубами может быть вызвана вовсе не плохой гигиеной, а скрываться совершенно в других, неочевидных на первый взгляд вещах. Все доктора Немецкого Стоматологического Центра имеют несколько ключевых специализаций, что позволяет сопоставлять те самые неочевидные нюансы здоровья в единую систему и лечить не следствие, а причину, навсегда избавляя от проблем с зубами.

Наши доктора всегда работают в команде. В диагностике и принятии решений о методах лечения всегда участвует не один доктор, а три.

иконка

Уже на этапе диагностики и планирования лечения зубов мы можем с 99% точностью показать пациенту, как будут выглядеть его зубы после лечения в Немецком Стоматологическом Центре. Наш пациент всегда четко понимает, как будет закрываться его челюсть, как будут выглядеть его зубы, улыбка и лицо после лечения зубов. От нас пациент всегда уходит полностью удовлетворенный лечением и получает именно тот результат, который мы ему показали на первой встрече.

иконка

Безошибочность нашей работы и гарантия лучшего результата основана на трех ключевых составляющих:

  1. Глубокий аналитический и комплексный подход в диагностике. Для каждого пациента мы создаем индивидуальной программу обследования, которая может включать компьютерную томографию с широким спектром исследований и анализа, телерентгенографию (ТРГ), кондилографию, аксиографию, окклюзиограмму и другие методы диагностики. Техническое оснащение нашего центра считается одним из лучших в Москве.
  2. Авторская методика детального планирования операций, которая позволяет докторам слаженно работать на всех этапах лечения.
  3. Программа индивидуального анестезиологического и реабилитационного сопровождения каждого пациента. Вы будете чувствовать себя безопасно, спокойно и комфортно не только во время лечения, но и дома, после всех стоматологических манипуляций. Наш подход к лечению всегда предусматривает отдельную программу послеоперационной реабилитации для быстрого и качественного заживления и восстановления.

иконка

Удобное расположение Немецкого Стоматологического Центра на Новом Арбате. К нам легко и быстро добираться как на общественном, так и на личном транспорте. Центр находится в пешей доступности от центральных бизнес центров, поэтому к нам на лечение очень удобно приходить сразу после работы.
Для владельцев авто у нас есть отдельная собственная парковка.