+7 495 737 44 66
Пн. - пт.: с 9:00 до 21:00
Сб.: с 9:00 до 18:00
улица Новый Арбат, 30/9,
Россия, Москва

Пн. - пт.: с 9:00 до 21:00 Сб.: с 9:00 до 18:00

+7 495 737 44 66

Ортодонтическое лечение элайнерами, протезирование и установка виниров

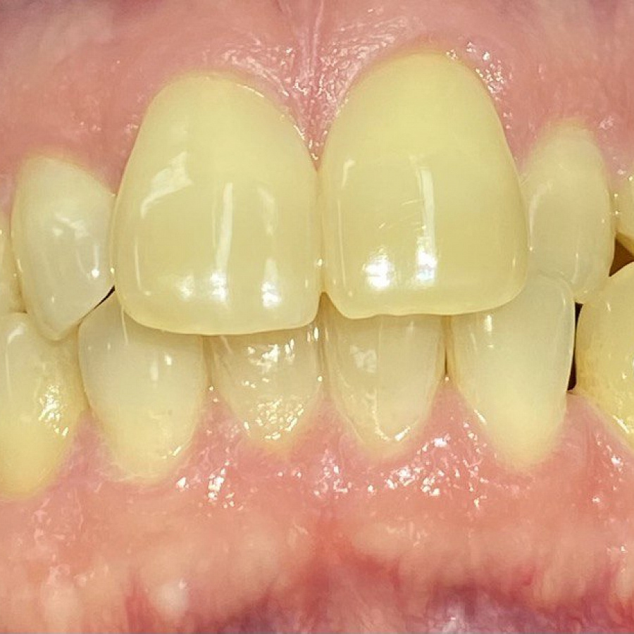
Обращение пациента

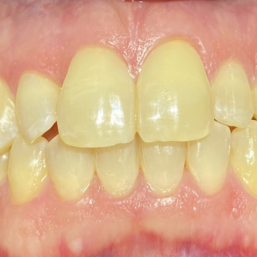
картинка
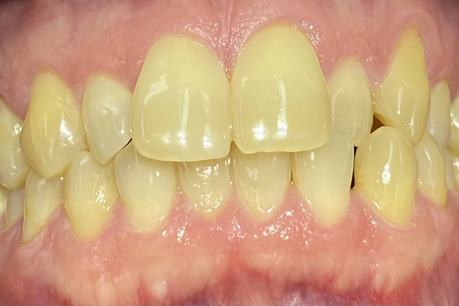
С какой проблемой обратился пациент

Пациент обратился с жалобами на неровные передние зубы верхней и нижней челюстей.

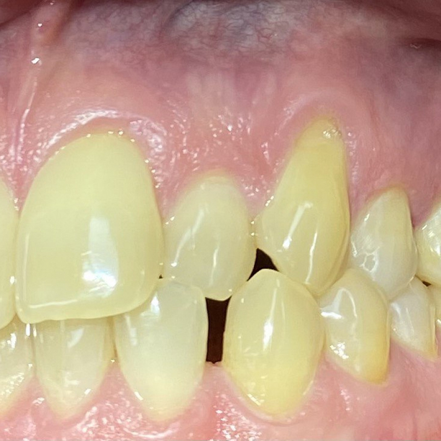
Какой диагноз поставили

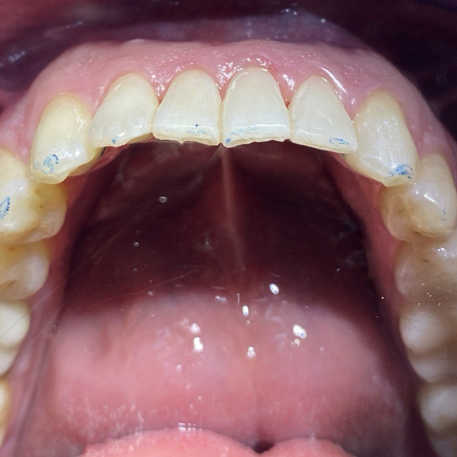
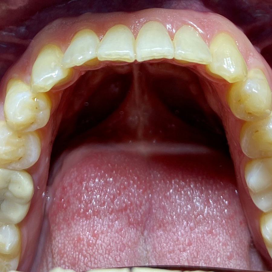
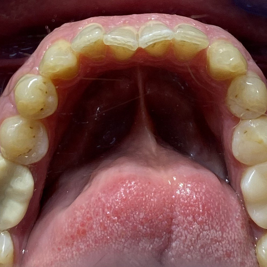
Диагностика показала:

  • сужение зубных рядов,

  • обратное перекрытие в области фронтальных зубов слева,

  • разворот по оси передних зубов верхней и нижней челюстей,

  • стираемость эмали зубов,

  • индивидуальную микродентию 12 и 22 зубов. 

картинка
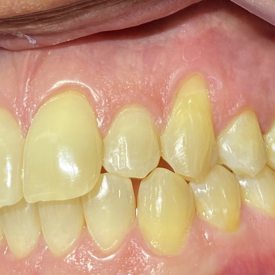
Этапы лечения
  1. санация полости рта
  2. ортодонтическое лечение с помощью элайнеров
  3. восстановление плотных межзубных контактов с помощью ортопедических конструкций
  4. виниры 12, 22 для удлинения резцов.

Ортодонтическое лечение с помощью элайнеров длилось 10 месяцев. Далее последовало протезирование и установка виниров.

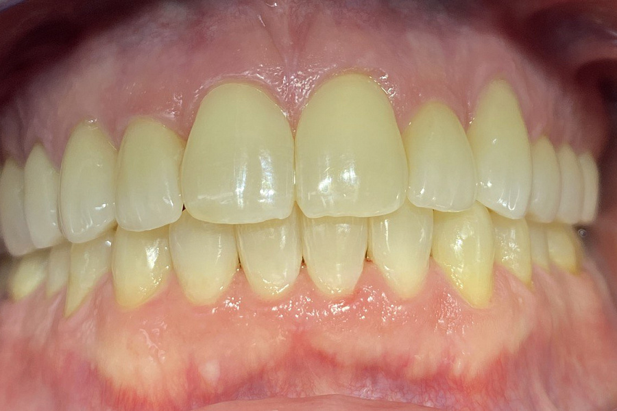
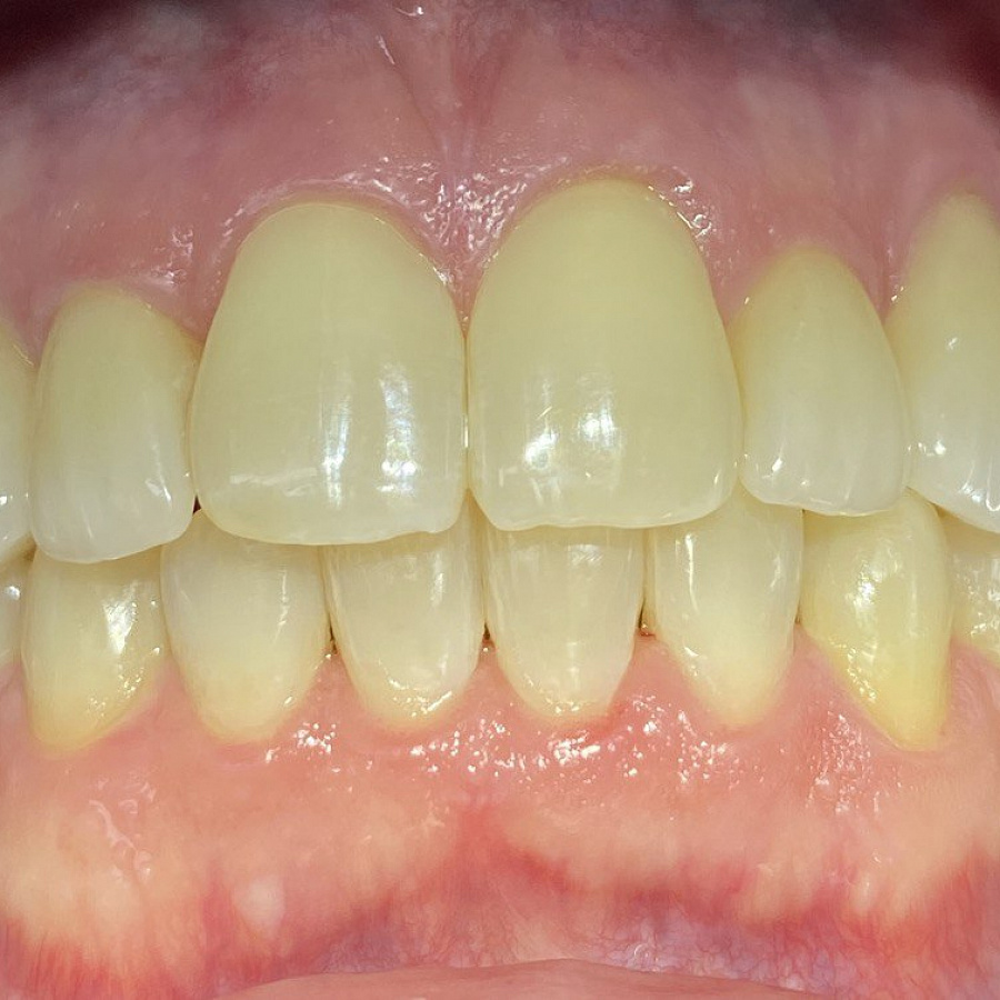
Результат лечения

Кто участвовал в лечении

Мискевич Марина Ивановна
Мискевич Марина Ивановна

Специализация:

Главный врач, стоматолог-ортопед, стоматолог-ортодонт, гнатолог.

Кандидат медицинских наук, член СтАР. Входит в ассоциацию лазерной стоматологии, ассоциированный член Общества по изучению цвета в стоматологии.

Владелец патента на изобретение «Способ изготовления экзопротеза верхней челюсти» (патент № 143103) и патента на полезную модель «Устройство для снятия несъемных зубных протезов» (патент № 54766).

Миссия в клинике:

Мы относимся к жизни и здоровью как к дару, к сохранению молодости и красоты – как к профессиональной чести, а воссоздание улыбки выполняем как ювелирную работу.


Записаться на прием
Кобликова Анастасия Михайловна
Кобликова Анастасия Михайловна

Специализация:

Врач ортодонт, гнатолог

Master of science (Магистр естесственных наук), училась и практиковалась в Австрии в Венском Университете

Миссия в клинике:

Ведение ортодонтического приема как взрослых, так и детей в полном объёме. Проведение комплексной гнатологической и ортодонтической диагностики. Ведение пациента совместно с хирургом, ортопедом и терапевтом. Лечение детей и взрослых с помощью съемных( элайнеры, пластинки) и несъёмных ( брекеты, ортопланты, аппараты хайрекс, форсус и тд) систем. Лечение патологий ВНЧС, связанных с нарушениями зубочелюстной системы.

Записаться на прием
Обсудите свои стоматологические проблемы с доктором Немецкого Стоматологического Центра! Он подберёт оптимальные пути их решения.