Эстетическое протезирование боковых передних зубов
Обращение пациента
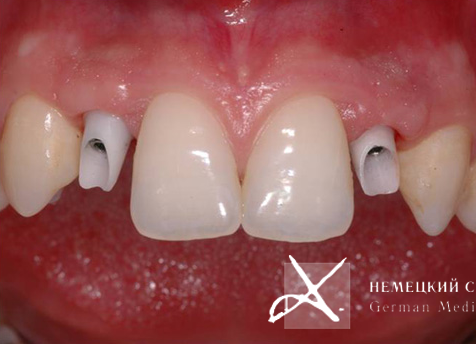
Пациент обратился с жалобой на врожденное отсутствие боковых передних зубов на верхней челюсти и пожеланием восстановить данный дефект с максимальным эстетическим результатом.
После успешной ортодонтической подготовки и проведенной имплантации в области отсутствующих зубов выполнено последующее эстетическое протезирование.
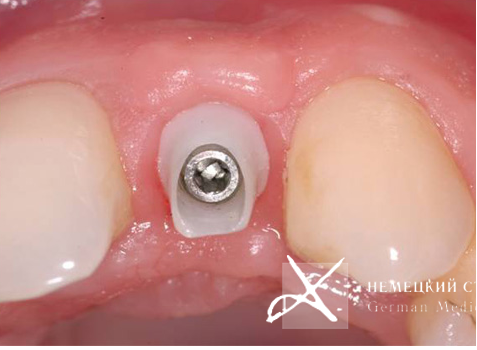
Учитывая достаточно высокую степень обнажения десны при улыбке, а также тонкий, "просвечивающий" тип слизистой оболочки, для обеспечения максимального эстетического результата выбрана индивидуально моделируемая эстетическая супраструктура (абатмент) на основе оксида циркония, выполненная по CAD/CAM-технологии.
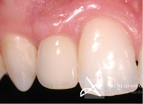
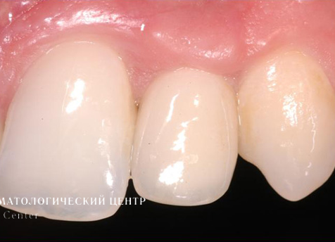
Для устранения эффекта серой, синюшной десны выполнены эстетические безметаллловые оксидциркониевые реставрации. Представленные рентгенограммы демонстрируют успешную имплантацию и максимальную точность прилегания конструкции, а иллюстрации после окончания лечения убеждают в гарантированном достижении желаемого эстетического результата, в частности в наиболее сложной с точки зрения геометрии эстетики десневой зоне.







