Имплантация 1 зуба с последующим протезированием
Обращение пациента
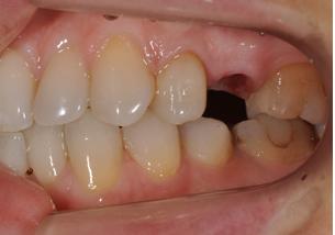
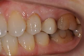
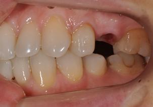
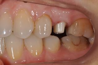
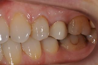
С какой проблемой обратился пациент
Пациент обратился с желанием восстановить зуб.
Этапы лечения
Проведено 'стетико-функциональное восстановление зуба №25 на импланте с использованием индивидуального абатмента из оксида циркония и коронки с каркасом из аналогичного материала. отсутствия одного зуба.




