Протезирование металлокерамическими коронками, имплантаты и керамические виниры
Обращение пациента
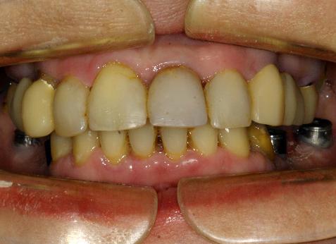
Пациентка обратилась с жалобами на неудовлетворяющую эстетику после ранее выполненного протезирования в иной стоматологической клинике. Основные жалобы носят гнатологический характер и связаны со значительными мышечными затруднениями при жевании, быстрой утомляемостью жевательной мускулатуры, постоянные головные боли, систематический хруст с обеих сторон головы в области ВНЧС (височно-нижнечелюстных суставов).
Какой диагноз поставили
Также, в составе предыдущего лечения пациентке были рационально установлены дентальные имплантаты в нижнюю челюсть.
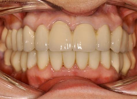
После функционального анализа гнатолога проведено реконструктивное лечение металлокерамическими конструкциями, в том числе опирающимися и на дентальные имплантаты.

