Исправление прикуса у 10-летней пациентки
Обращение пациента
С какой проблемой обратился пациент
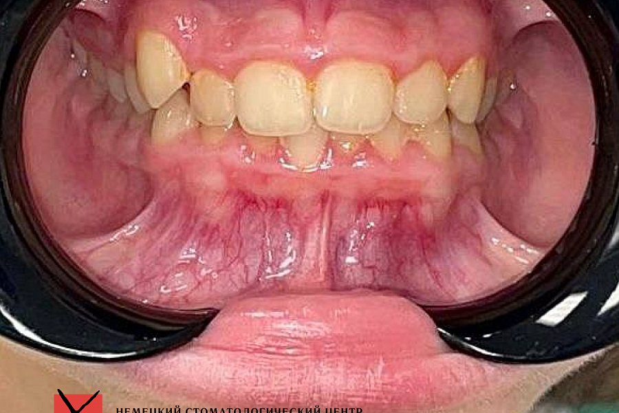
Пациентка 10 лет, пришла с выраженным дефицитом места на верхней и нижней челюстях.
Это та же пациентка, что была в предыдущем кейсе. Пришла через год для продолжения ортодонтического лечения.
Это та же пациентка, что была в предыдущем кейсе. Пришла через год для продолжения ортодонтического лечения.
Этапы лечения
Провели ортодонтическое лечение на съемных пластинках.
В результате зубные ряды выровнялись, все зубки теперь растут на своих местах. Ортодонтическое лечение официально закончено!
В результате зубные ряды выровнялись, все зубки теперь растут на своих местах. Ортодонтическое лечение официально закончено!
Результат лечения
Кто участвовал в лечении

Алиханова Милана Якубовна
Специализация:
Врач стоматолог-ортодонт, гнатолог.
Член российского профессионального общества ортодонтов России, Dental Brilliance специалист компании Flexiligner
Миссия в клинике:
Ведение ортодонтического приёма.
Ведение пациентов с дисфункцией ВНЧС различной этиологии (окклюзионная терапия (шины, позиционеры, миорелаксирующие каппы). Проведение комплексной диагностики, лечебно-диагностических процедур (электромиорелаксация, кондилография). Комплексный подход к лечению пациентов. Взаимодействие со смежными специалистами (стоматологи-терапевты, ортопеды, хирурги, детские стоматологи, ЛОР врачи, логопеды).






