Исправление скученности без ортодонтического лечения
Обращение пациента
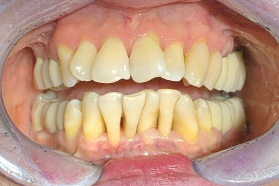
Выраженный пародонтит и дефицит костной ткани, сильная скученность зубов.
К сожалению, ортодонтическое лечение этой пациентки не может быть проведено, потому что зубы слишком крупные и очень большой дефицит костной ткани. Поэтому перемещение зубов ортодонтическими конструкциями приведет к их потере. Поэтому наша команда предложила протезирование верхнего зубного ряда и создание эстетических реставраций, которые бы не только исправили внешний вид зубов, но и дополнительно создали стабильность зубного ряда. На нижней челюсти мы провели чистку, полировку и шинирование зубов.
Получили очень хороший эстетический результат и стабилизацию состояния агрессивного пародонтита. Пациентку зубы больше не беспокоят.
Результат лечения
Кто участвовал в лечении

Специализация:
Главный врач, стоматолог-ортопед, стоматолог-ортодонт, гнатолог.
Кандидат медицинских наук, член СтАР. Входит в ассоциацию лазерной стоматологии, ассоциированный член Общества по изучению цвета в стоматологии.
Владелец патента на изобретение «Способ изготовления экзопротеза верхней челюсти» (патент № 143103) и патента на полезную модель «Устройство для снятия несъемных зубных протезов» (патент № 54766).
Миссия в клинике:
Мы относимся к жизни и здоровью как к дару, к сохранению молодости и красоты – как к профессиональной чести, а воссоздание улыбки выполняем как ювелирную работу.






