+7 495 737 44 66
Пн. - пт.: с 9:00 до 21:00
Сб.: с 9:00 до 18:00
улица Новый Арбат, 30/9,
Россия, Москва

Пн. - пт.: с 9:00 до 21:00 Сб.: с 9:00 до 18:00

+7 495 737 44 66

Комплексное лечение: ортодонтическое, хирургическое, ортопедическое

Обращение пациента

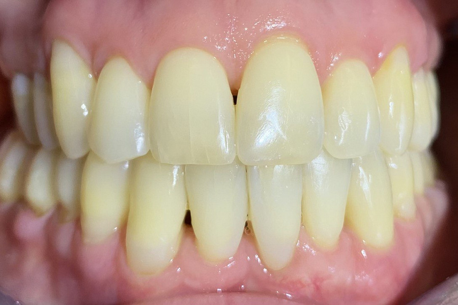
картинка
С какой проблемой обратился пациент

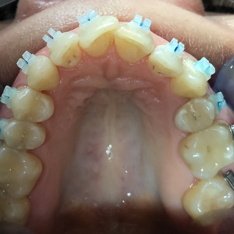
Пациентка обратилась с жалобами на неровные передние зубы.

Какой диагноз поставили

При осмотре выявлено-сужение верхнего и нижнего зубных рядов, скученное положение зубов обеих челюстей, рецессия десны. КТ показала убыль костной ткани в области зубов на нижней челюсти на 50%.

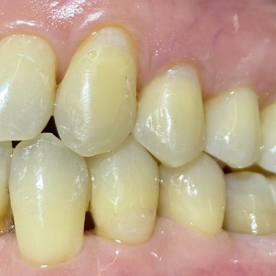
картинка
Этапы лечения

Пациентке было предложено:

  1. санация полости рта
  2. ортодонтическое лечение с помощью брекетов
  3. пластика преддверия полости рта, устранения рецессий десны
  4. ортопедическая коррекция эстетики передних зубов

Ортодонтическое лечение длилось 24 месяца с целью сохранения оставшегося объема костной ткани. После ортодонтического лечение проведена пластика преддверия полости рта (доктор Черкашин), устранения рецессии, затем устранения чёрного треугольника между центральными резцами с помощью винира (доктор Шумская).


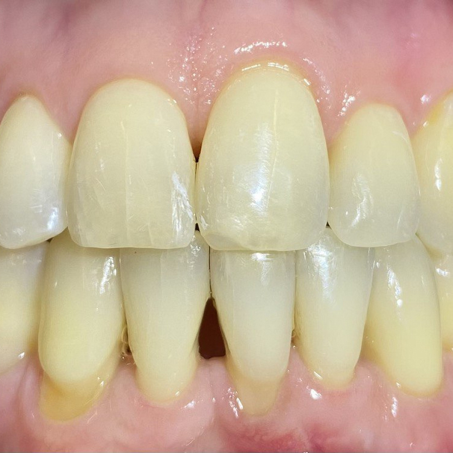
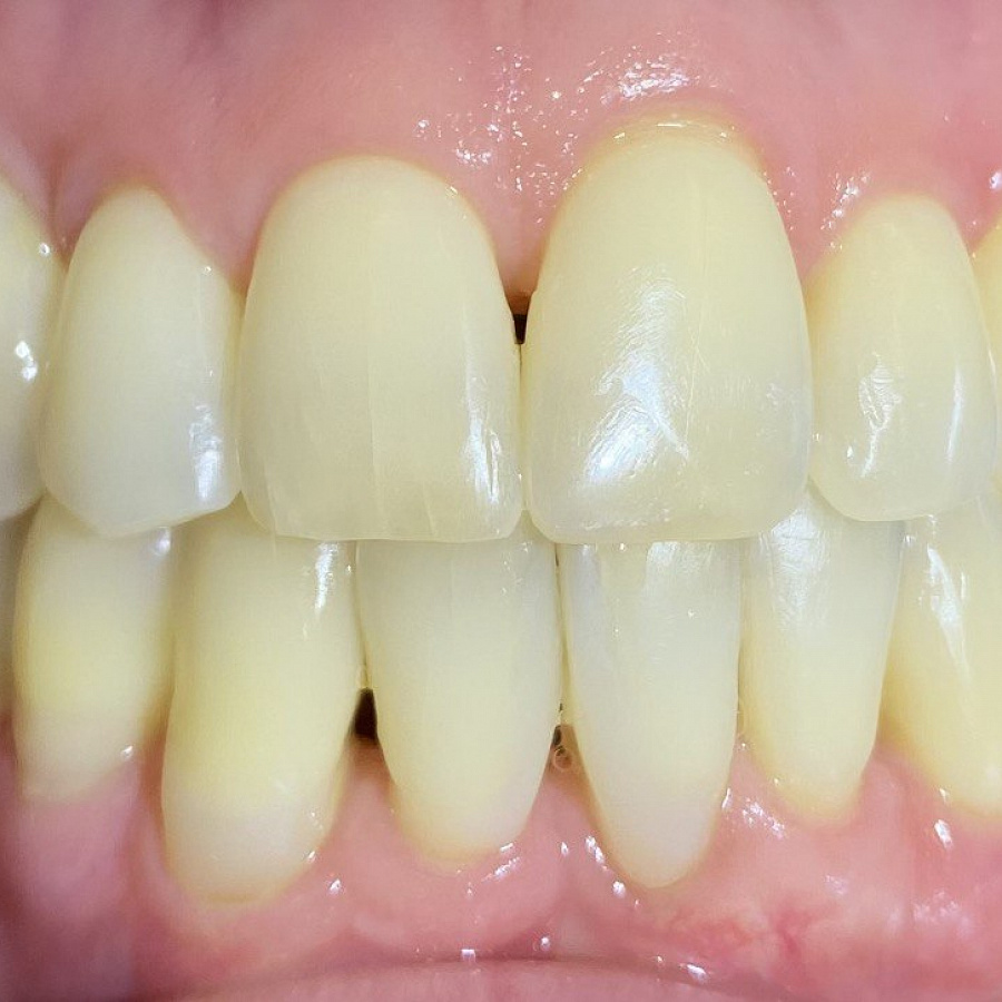
Результат лечения

Кто участвовал в лечении

 Шумская Виктория Юрьевна
Шумская Виктория Юрьевна

Специализация:

Врач стоматолог-ортопед, стоматолог-терапевт, стоматолог-хирург, гнатолог, клинический провайдер.

Миссия в клинике:

Эстетическое протезирование цельно-керамическими конструкциями; протезирование на имплантатах в качестве немедленной нагрузки; полнофункциональные микропротетические безметалловые восстановления; условно-съемное протезирование на телескопических системах и имплантатах; все виды прямых эстетических реставраций.

Записаться на прием
Кобликова Анастасия Михайловна
Кобликова Анастасия Михайловна

Специализация:

Врач ортодонт, гнатолог

Master of science (Магистр естесственных наук), училась и практиковалась в Австрии в Венском Университете

Миссия в клинике:

Ведение ортодонтического приема как взрослых, так и детей в полном объёме. Проведение комплексной гнатологической и ортодонтической диагностики. Ведение пациента совместно с хирургом, ортопедом и терапевтом. Лечение детей и взрослых с помощью съемных( элайнеры, пластинки) и несъёмных ( брекеты, ортопланты, аппараты хайрекс, форсус и тд) систем. Лечение патологий ВНЧС, связанных с нарушениями зубочелюстной системы.

Записаться на прием
Обсудите свои стоматологические проблемы с доктором Немецкого Стоматологического Центра! Он подберёт оптимальные пути их решения.