Лечение керамическими брекетами
Обращение пациента
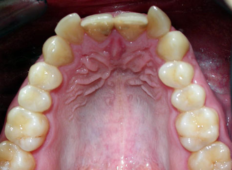
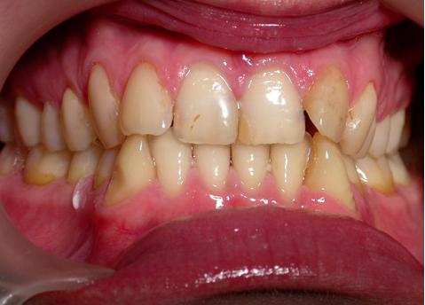
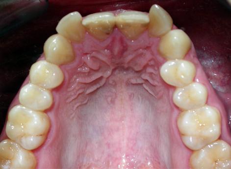
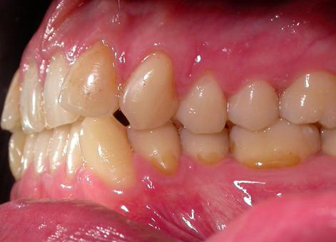
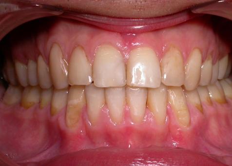
С какой проблемой обратился пациент
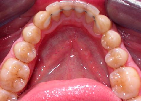
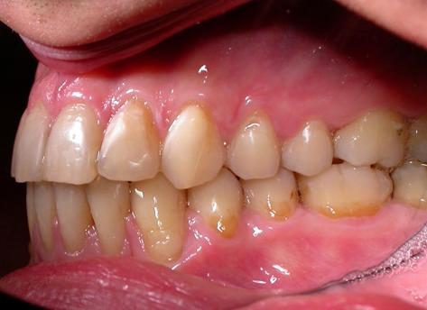
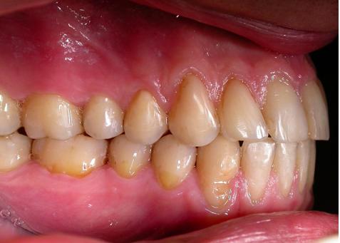
Пациент обратился с диагнозом индивидуальная макродентия.
Какой диагноз поставили
Диагностика дополнительно выявила:- тенденцию к формированию мезиальной окклюзии,
- сужение и укорочение зубных рядов,
- ретрузию верхних центральных резцов,
- мезиальное смещение боковых отделов нижнего зубного ряда,
- ретрузию нижних резцов,
- множественные аномалии положения зубов.
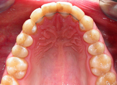
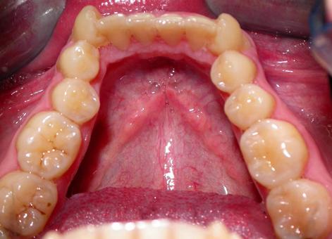
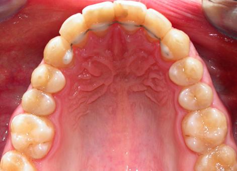
Этапы лечения
Лечение проводилось с апроксимальной сепарацией эмали зубов. Применялись керамические брекеты.
Результат получен спустя 18 месяцев после начала лечения











