Ортодонтическое лечение брекетами
Обращение пациента
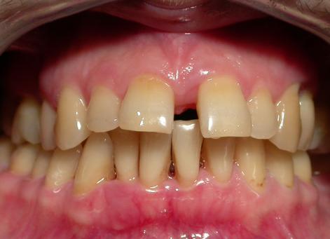
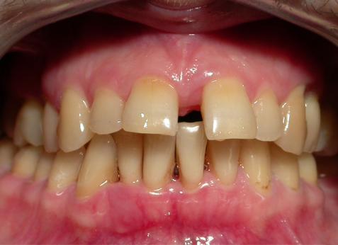
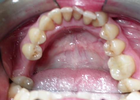
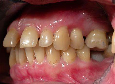
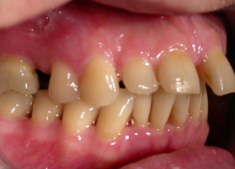
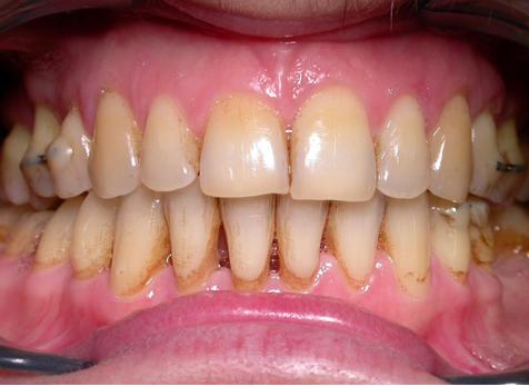
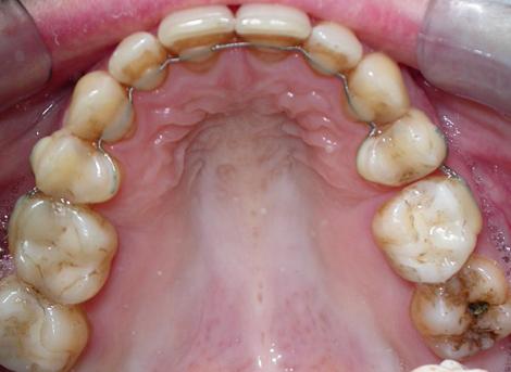
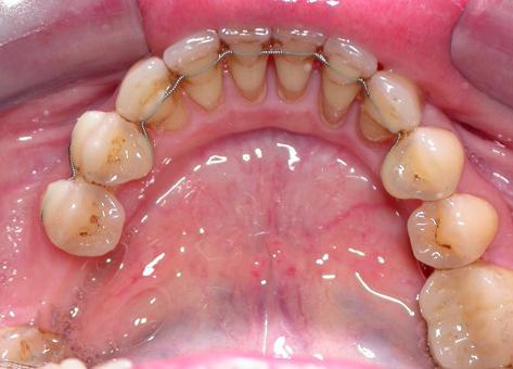
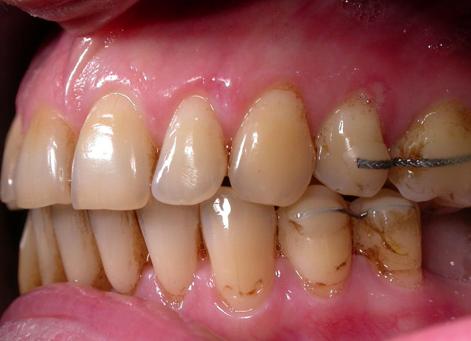
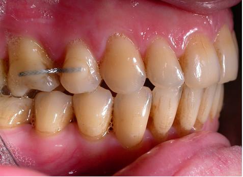
С какой проблемой обратился пациент
Пациентка обратилась с желанием выровнять зубы и привести улыбку в эстетический вид.
Какой диагноз поставили
- хронический пародонтит тяжелой степени,
- адентия 15, 25, 36,
- уменьшение глубины резцового перекрытия,
- удлинение верхнего зубного ряда за счет протрузии верхних резцов,
- диастема,
- множественные тремы верхнего зубного ряда,
- мезиальное смещение и ротация верхних моляров,
- скученность передних нижних зубов
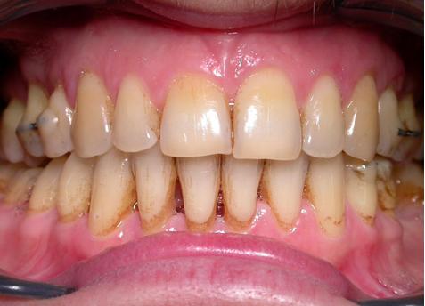
Этапы лечения
Лечение проводилось с помощью керамических вестибулярных брекетов, продолжалось 18 месяцев.
Рекомендована пожизненная ретенция на фоне профессиональной гигиены полости рта.











