Комплексное восстановление после травмы зуба
Обращение пациента
С какой проблемой обратился пациент
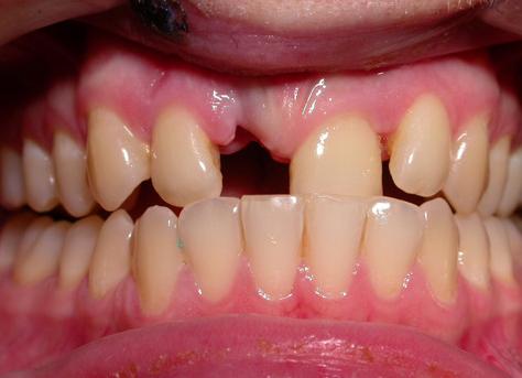
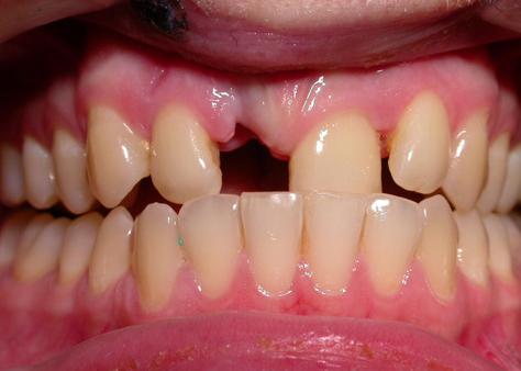
Пациентка обратилась за помощью после травмы зуба.
Какой диагноз поставили
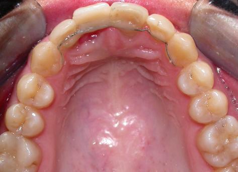
Травма фронтальных зубов верхней челюсти: отлом коронки 11, вывих 12 и 21, клинически проявляющийся небным наклоном и экструзией зубов.
Этапы лечения
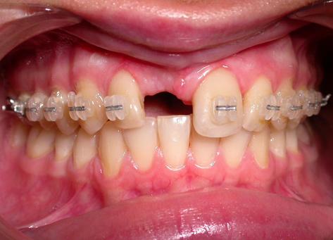
Лечение проводилось с помощью разобщающей каппы, керамической вестибулярной аппаратуры.
Ортодонтическое лечение начато спустя 3 дня после получения травмы, после удаления корня 11 зуба и имплантации.
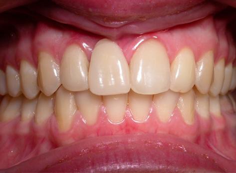
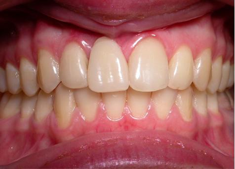
Результат ортодонтического лечения продемонстрирован с фиксацией временной фасетки в области 11.





