Ортодонтическое лечение керамическими брекетами
Обращение пациента
С какой проблемой обратился пациент
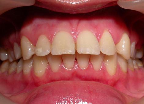
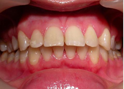
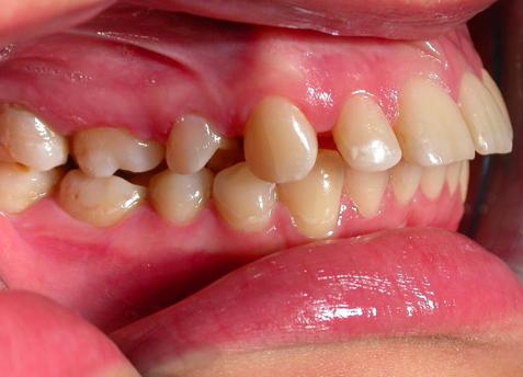
Пациентка обратилась с целью перелечивания после безрезультатного лечения в течение 2,5 лет.
Какой диагноз поставили
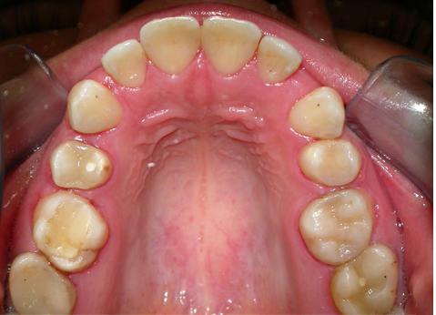
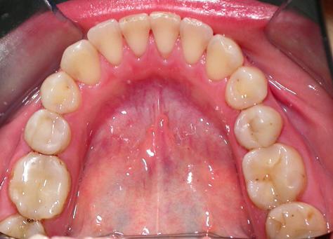
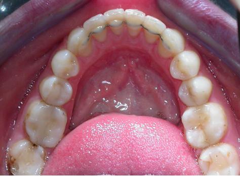
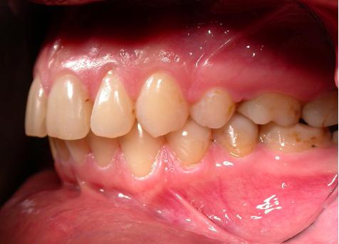
Дистальная окклюзия, глубокая резцовая дизокклюзия, удлинение верхнего зубного ряда за счет протрузии резцов, палатиноокклюзия в области 16 и 26, множественные тремы, адентия 14 и 24 (удалены по ортодонтическим показаниям).
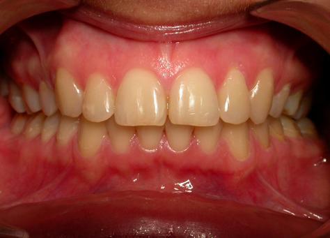
Этапы лечения
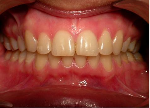
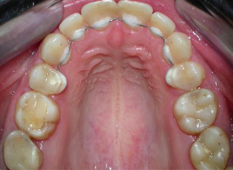
Лечение проводилось с помощью вестибулярных керамических брекетов, было завершено в течение 15 месяцев.











