Комплексная работа: ортодонтическое лечение, имплантация и протезирование
Обращение пациента
- неэстетичные чернеющие конструкции на верхней челюсти
- большая щель между зубами
- плохое расположение зубов на нижней челюсти
- Сначала сняли все старые конструкции и провели санацию. Несмотря на некоторые проблемы, удалось сохранить все зубы.
- В местах, где зубы отсутствовали, поставили импланты.
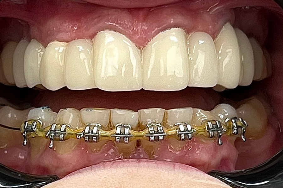
- Провели ортодонтическую коррекцию зубов верхней челюсти.
- Сделали и установили на верхнюю челюсть временные коронки.
- С нижней челюстью ортодонтические работы на финальной стадии, работаем с нюансами, чтобы всё было идеально.
В общей сложности на лечение ушёл год.
Что получили?
Несмотря на то, что лечение ещё продолжается, пациентка очень довольна. Разница между тем, что было и тем, что стало, очень существенная. Промежуточный результат очень впечатлил пациентку. Ждём финальные результаты после протезирования!
Результат лечения
Кто участвовал в лечении

Специализация:
Главный врач, стоматолог-ортопед, стоматолог-ортодонт, гнатолог.
Кандидат медицинских наук, член СтАР. Входит в ассоциацию лазерной стоматологии, ассоциированный член Общества по изучению цвета в стоматологии.
Владелец патента на изобретение «Способ изготовления экзопротеза верхней челюсти» (патент № 143103) и патента на полезную модель «Устройство для снятия несъемных зубных протезов» (патент № 54766).
Миссия в клинике:
Мы относимся к жизни и здоровью как к дару, к сохранению молодости и красоты – как к профессиональной чести, а воссоздание улыбки выполняем как ювелирную работу.

Специализация:
Врач стоматолог-ортодонт, гнатолог.
Член российского профессионального общества ортодонтов России, Dental Brilliance специалист компании Flexiligner
Миссия в клинике:
Ведение ортодонтического приёма.
Ведение пациентов с дисфункцией ВНЧС различной этиологии (окклюзионная терапия (шины, позиционеры, миорелаксирующие каппы). Проведение комплексной диагностики, лечебно-диагностических процедур (электромиорелаксация, кондилография). Комплексный подход к лечению пациентов. Взаимодействие со смежными специалистами (стоматологи-терапевты, ортопеды, хирурги, детские стоматологи, ЛОР врачи, логопеды).







