+7 495 737 44 66
Пн. - пт.: с 9:00 до 21:00
Сб.: с 9:00 до 18:00
улица Новый Арбат, 30/9,
Россия, Москва

Пн. - пт.: с 9:00 до 21:00 Сб.: с 9:00 до 18:00

+7 495 737 44 66

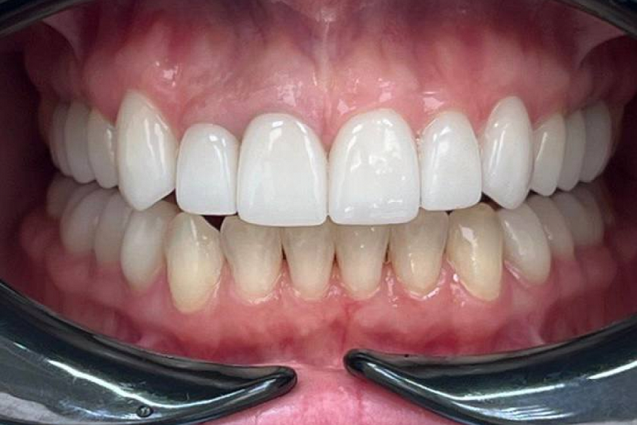
Комплексное гнатологическое лечение и протезирование

Обращение пациента

картинка
С какой проблемой обратился пациент
  • жалобы на боль и хруст в ВНЧС
  • повышенная стираемость эмали
  • желание улучшить эстетический вид зубов
картинка
Этапы лечения
  1. Начали с ортодонтического лечение, чтобы поставить зубы в правильное положение и устранить причины боли и хруста челюсти.
  2. Восстановили высоту нижней трети лица.
  3. Изготовили новые красивые виниры и коронки.
  4. Провели санацию и замену старых пломб.

Что получили?
✅ челюсть встала в правильное положение, ушла боль и хруст, нормализовалась стираемость эмали.
✅ теперь у пациентки новая белоснежная улыбка, которая ей очень идёт!

Результат лечения

Обсудите свои стоматологические проблемы с доктором Немецкого Стоматологического Центра! Он подберёт оптимальные пути их решения.