Комплексное лечение: ортодонтия + виниры
Обращение пациента
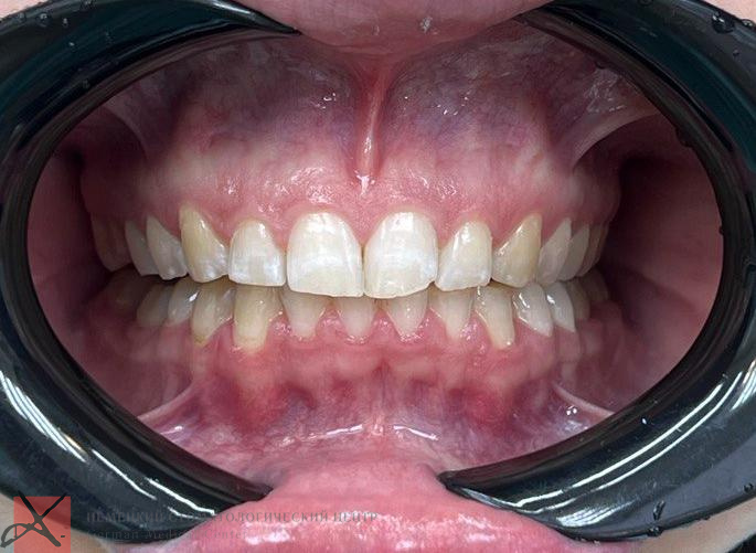
Пациентка обратилась в Немецкий Стоматологический Центр с желанием улучшить эстетику улыбки. Однако в ходе диагностики стало ясно: для стабильного и долговечного результата необходимо не только восстановление формы зубов, но и коррекция прикуса.
Этап 1: Ортодонтическое лечение
Ортодонт: Алиханова М.Я.
После детальной диагностики были выявлены скрытые нарушения прикуса и неравномерное распределение нагрузки. В ходе лечения:
- проведено выравнивание зубных рядов
- создана правильная высота прикуса
- подготовлена челюстная система к финальному этапу
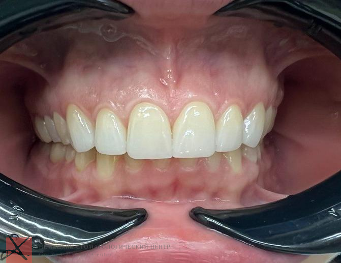
Этап 2: Эстетическая реабилитация
Ортопед: Мискевич М.И.
После завершения ортодонтического этапа была проведена цифровая диагностика и 3D-моделирование будущей улыбки. Совместно с пациенткой подобраны:
- естественная форма зубов
- оттенок, соответствующий внешности и возрасту
Установлены керамические виниры, интегрированные в сбалансированную окклюзию.
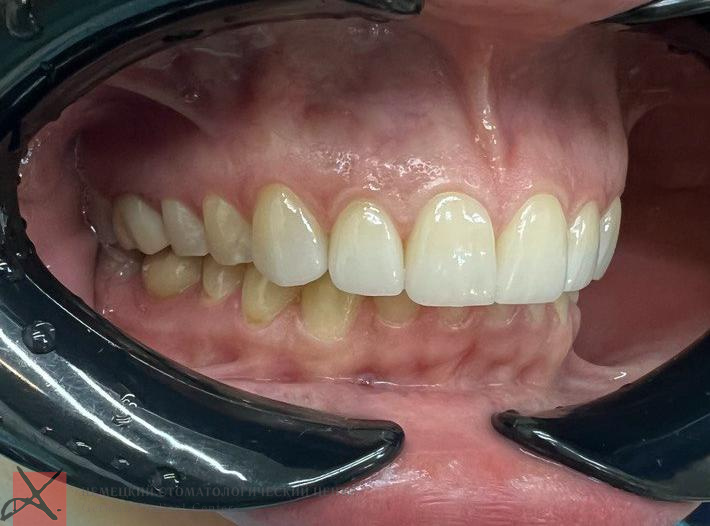
Результат:
- Устранены скрытые биомеханические нарушения
- Сбалансирован прикус
- Создана красивая, пропорциональная и устойчивая улыбка
Этот случай — пример комплексного подхода НСЦ: вместо компромиссов — точное планирование, командная работа и здоровье зубочелюстной системы в долгосрочной перспективе.
Результат лечения
Кто участвовал в лечении

Специализация:
Главный врач, стоматолог-ортопед, стоматолог-ортодонт, гнатолог.
Кандидат медицинских наук, член СтАР. Входит в ассоциацию лазерной стоматологии, ассоциированный член Общества по изучению цвета в стоматологии.
Владелец патента на изобретение «Способ изготовления экзопротеза верхней челюсти» (патент № 143103) и патента на полезную модель «Устройство для снятия несъемных зубных протезов» (патент № 54766).
Миссия в клинике:
Мы относимся к жизни и здоровью как к дару, к сохранению молодости и красоты – как к профессиональной чести, а воссоздание улыбки выполняем как ювелирную работу.

Специализация:
Врач стоматолог-ортодонт, гнатолог.
Член российского профессионального общества ортодонтов России, Dental Brilliance специалист компании Flexiligner
Миссия в клинике:
Ведение ортодонтического приёма.
Ведение пациентов с дисфункцией ВНЧС различной этиологии (окклюзионная терапия (шины, позиционеры, миорелаксирующие каппы). Проведение комплексной диагностики, лечебно-диагностических процедур (электромиорелаксация, кондилография). Комплексный подход к лечению пациентов. Взаимодействие со смежными специалистами (стоматологи-терапевты, ортопеды, хирурги, детские стоматологи, ЛОР врачи, логопеды).






