Комплексное лечение после неудачного протезирования
Обращение пациента
Пациент обратился в Немецкий Стоматологический Центр с жалобами на трудности в открывании рта и пережевывании пищи, напряжение и боли в челюстном суставе. Все эти проблемы появились после лечения в одной московской клинике, где пациенту сделали полное протезирование зубов. В результате этого протезирования снизилась высота нижней третьей лица, что вызвало компрессию суставов. Компрессия в свою очередь привела к многочисленным сколам керамики, суставным и мышечным болям.
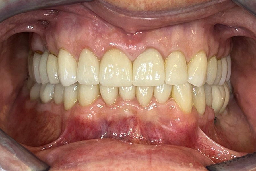
Доктора Немецкого Стоматологического Центра смогли найти решение для данного сложного случая. Была проведена комплексная реабилитация: переделаны передние зубы, частично переделаны боковые зубы, был удален несостоятельный имплантат и проведена повторная зубная имплантация. Благодаря грамотной реабилитации мы получили правильно сформированную жевательную поверхность, смыкание зубов в нужной высоте, декомпрессию сустава. В результате у пациента прошли все болевые синдромы и дискомфорт. Пациент наблюдается в Центре уже боле 2 лет, никаких сколов, проблем с суставом и жалоб больше нет.
Результат лечения
Кто участвовал в лечении

Специализация:
Главный врач, стоматолог-ортопед, стоматолог-ортодонт, гнатолог.
Кандидат медицинских наук, член СтАР. Входит в ассоциацию лазерной стоматологии, ассоциированный член Общества по изучению цвета в стоматологии.
Владелец патента на изобретение «Способ изготовления экзопротеза верхней челюсти» (патент № 143103) и патента на полезную модель «Устройство для снятия несъемных зубных протезов» (патент № 54766).
Миссия в клинике:
Мы относимся к жизни и здоровью как к дару, к сохранению молодости и красоты – как к профессиональной чести, а воссоздание улыбки выполняем как ювелирную работу.







