Комплексное ортодонтическое и гнатологическое лечение
Обращение пациента
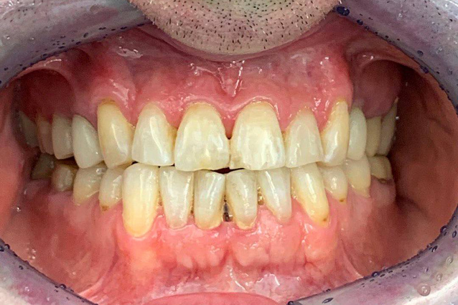
Наш постоянный клиент, который настаивал только на лечении кариеса. Несмотря на ряд проблем: стираемость зубов, перекрестный прикус, который и вызывал увеличение стираемости, пациент не хотел делать комплексную работу.
Какой диагноз поставили
В итоге из-за неправильного прикуса стираемость зубов прогрессировала и нам удалось убедить пациента заняться данной проблемой серьезно.
Была проведена сложная междисциплинарная работа:
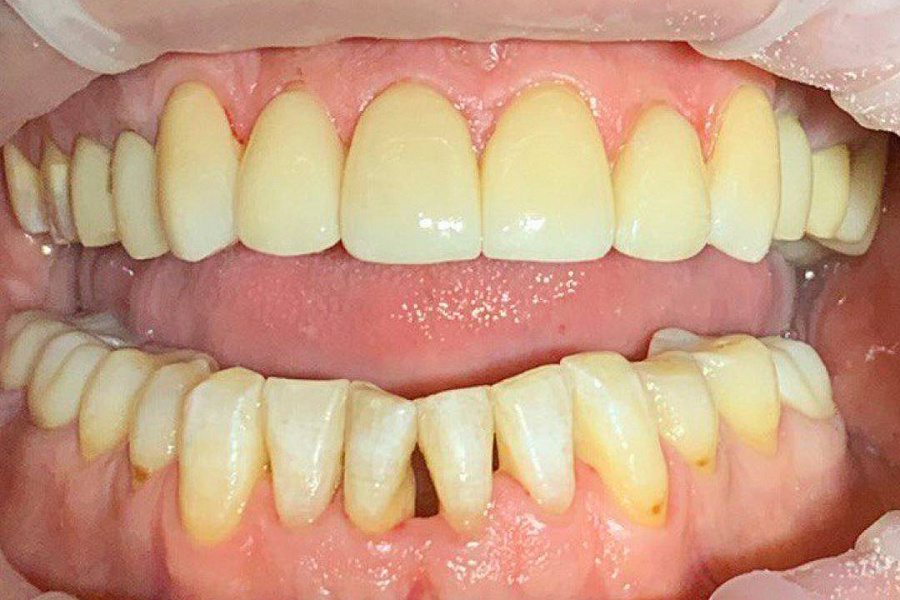
1. Восстановлена правильная позиция зубов с помощью ортодонтического лечения под наблюдением гнатолога, но в связи с высокой стираемостью этого было недостаточно.2. Была проведена ортопедическая реабилитация ортопедическими конструкциями с восстановлением высоты нижней трети лица и формы стертых зубов.
В результате мы получили сохранность ситуации , которая не ухудшается дальше. Лицо стало более молодым и подтянутым. Пациент перестал скрипеть зубами и стирать свои собственные зубы.
Результат лечения
Кто участвовал в лечении

Специализация:
Главный врач, стоматолог-ортопед, стоматолог-ортодонт, гнатолог.
Кандидат медицинских наук, член СтАР. Входит в ассоциацию лазерной стоматологии, ассоциированный член Общества по изучению цвета в стоматологии.
Владелец патента на изобретение «Способ изготовления экзопротеза верхней челюсти» (патент № 143103) и патента на полезную модель «Устройство для снятия несъемных зубных протезов» (патент № 54766).
Миссия в клинике:
Мы относимся к жизни и здоровью как к дару, к сохранению молодости и красоты – как к профессиональной чести, а воссоздание улыбки выполняем как ювелирную работу.






