Комплексное восстановление прикуса с антиэйдж эффектом
Обращение пациента
С чем обратилась пациентка?
- Хруст в челюсти
- Повышенная стираемость эмали зубов
- Сужение челюстей
Как проходило лечение?
С пациенткой работал консилиум специалистов. В лечение были включены два этапа:
- Ортодонтическое лечение (ортодонт-гнатолог Кобликова А.М.) — корректировка положения зубов и челюсти для устранения функциональных нарушений.
- Протезирование (ортопед-гнатолог Мискевич М.И.) — восстановление утраченной высоты зубов и формирование стабильного прикуса.
Что получили в результате?
- Восстановлена высота нижней трети лица
- Нижняя челюсть заняла правильное положение — ушёл хруст, прекратилась стираемость
- Разгладились носогубные складки, лицо приобрело более молодое и симметричное выражение
- Улыбка стала эстетичной и гармоничной
Это случай, где эстетика невозможна без функции. Только благодаря слаженной командной работе ортодонта и ортопеда удалось добиться устойчивого, долговечного результата — без боли, с правильным прикусом и обновлённым внешним обликом.
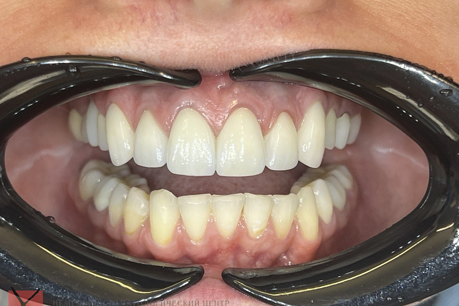
Результат лечения
Кто участвовал в лечении

Специализация:
Главный врач, стоматолог-ортопед, стоматолог-ортодонт, гнатолог.
Кандидат медицинских наук, член СтАР. Входит в ассоциацию лазерной стоматологии, ассоциированный член Общества по изучению цвета в стоматологии.
Владелец патента на изобретение «Способ изготовления экзопротеза верхней челюсти» (патент № 143103) и патента на полезную модель «Устройство для снятия несъемных зубных протезов» (патент № 54766).
Миссия в клинике:
Мы относимся к жизни и здоровью как к дару, к сохранению молодости и красоты – как к профессиональной чести, а воссоздание улыбки выполняем как ювелирную работу.

Специализация:
Врач ортодонт, гнатолог
Master of science (Магистр естесственных наук), училась и практиковалась в Австрии в Венском Университете
Миссия в клинике:
Ведение ортодонтического приема как взрослых, так и детей в полном объёме. Проведение комплексной гнатологической и ортодонтической диагностики. Ведение пациента совместно с хирургом, ортопедом и терапевтом. Лечение детей и взрослых с помощью съемных( элайнеры, пластинки) и несъёмных ( брекеты, ортопланты, аппараты хайрекс, форсус и тд) систем. Лечение патологий ВНЧС, связанных с нарушениями зубочелюстной системы.








