Лечение сломанного винира
Обращение пациента
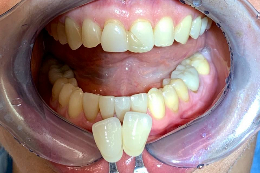
20 лет назад на передние зубы были сделаны виниры. Пациентка нечаянно накусила и сломала один из виниров. С этой проблемой она к нам и обратилась.
Первым дело изготовили новые виниры. Создали имитацию края более молодого возраста и максимально точно воспроизвели цвет!
Чёткое понимание задач и высокий профессионализм врача и техника позволили выполнить сложную работу в два посещения!
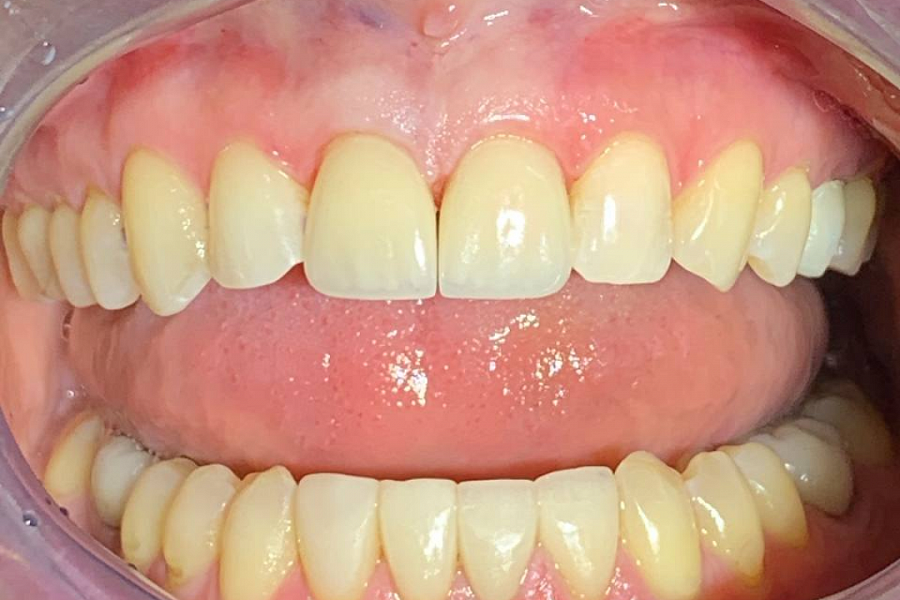
Результат лечения
Кто участвовал в лечении

Специализация:
Главный врач, стоматолог-ортопед, стоматолог-ортодонт, гнатолог.
Кандидат медицинских наук, член СтАР. Входит в ассоциацию лазерной стоматологии, ассоциированный член Общества по изучению цвета в стоматологии.
Владелец патента на изобретение «Способ изготовления экзопротеза верхней челюсти» (патент № 143103) и патента на полезную модель «Устройство для снятия несъемных зубных протезов» (патент № 54766).
Миссия в клинике:
Мы относимся к жизни и здоровью как к дару, к сохранению молодости и красоты – как к профессиональной чести, а воссоздание улыбки выполняем как ювелирную работу.




