Выравнивание цвета эмали
Обращение пациента
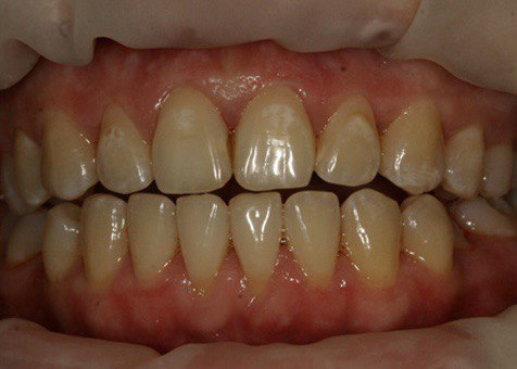
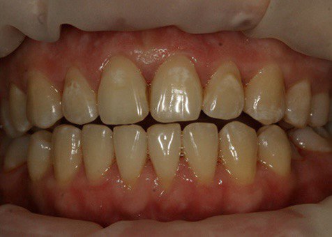
Пациентка 25 лет обратилась с жалобами на неравномерный цвет зубов (белые пятна на зубах) и потемнение пломбы между центральными резцами верхней челюсти.
Проведена процедура микроабразии эмали зубов с использованием пасты Opalustre и последующей реминерализацией препаратами кальция.
Для получения окончательного результата потребовалось три посещения с интервалом в 5 дней, после чего пломба на центральных резцах верхней челюсти была заменена.
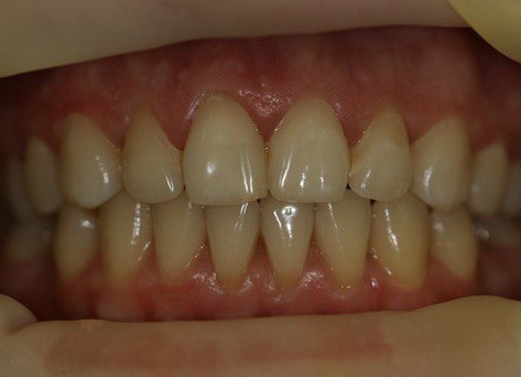
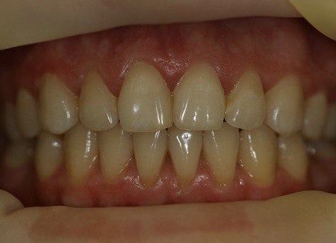
Результат лечения
Кто участвовал в лечении

Специализация:
Стоматолог гигиенист. Сертифицированный специалист по отбеливанию зубов.
Должностные обязанности:
Профессиональная гигиена полости рта; снятие зубных отложение, как наддесневых, так и поддесневых; закрытый кюретаж пародонтальных карманов; чистка Air-Flow; удаление налета курильщика, ручная чистка и чистка ультразвуком; обучение профессиональной гигиене полости рта, демонстрация пациенту правильных методов чистки зубов; определение гигиенических индексов, подбор индивидуальных средств гигиены; отбеливание зубов.



