+7 495 737 44 66
Пн. - пт.: с 9:00 до 21:00
Сб.: с 9:00 до 18:00
улица Новый Арбат, 30/9,
Россия, Москва

Пн. - пт.: с 9:00 до 21:00 Сб.: с 9:00 до 18:00

+7 495 737 44 66

Ортодонтическое лечение и протезирование винирами

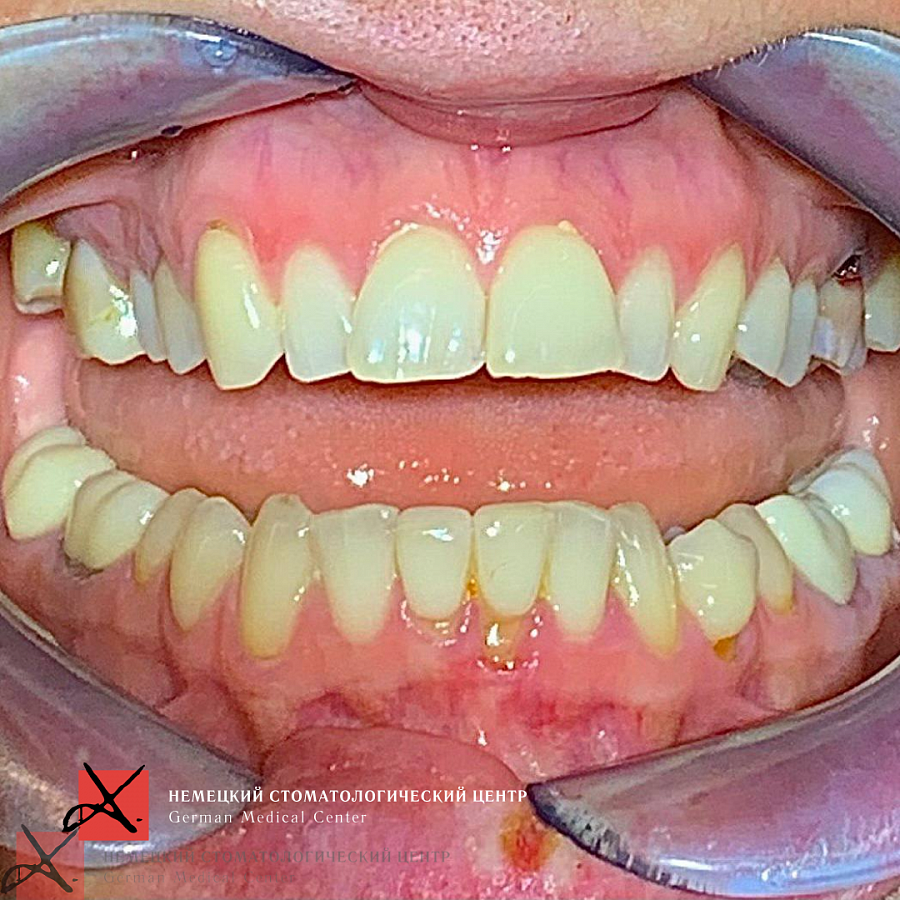
Обращение пациента

картинка
С какой проблемой обратился пациент
1. Жалобы на эстетический вид зубов.
2. Нарушение функций жевания.
3. Изменение контура лица.
картинка
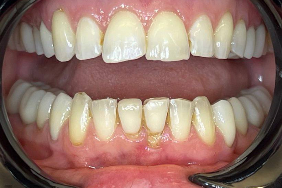
Этапы лечения
Была проведена тщательная диагностика, после чего принято решение о комплексном подходе к лечению. 
Сначала было проведена санация полости рта. Затем а ортодонтическое лечение для восстановления высоты прикуса. 
С эстетической частью справились за счёт протезирования винирами в естественной форме и в естественном цвете.

Результат получился отличный! Пациентка очень довольна!

Результат лечения

Кто участвовал в лечении

Мискевич Марина Ивановна
Мискевич Марина Ивановна

Специализация:

Главный врач, стоматолог-ортопед, стоматолог-ортодонт, гнатолог.

Кандидат медицинских наук, член СтАР. Входит в ассоциацию лазерной стоматологии, ассоциированный член Общества по изучению цвета в стоматологии.

Владелец патента на изобретение «Способ изготовления экзопротеза верхней челюсти» (патент № 143103) и патента на полезную модель «Устройство для снятия несъемных зубных протезов» (патент № 54766).

Миссия в клинике:

Мы относимся к жизни и здоровью как к дару, к сохранению молодости и красоты – как к профессиональной чести, а воссоздание улыбки выполняем как ювелирную работу.


Записаться на прием
Обсудите свои стоматологические проблемы с доктором Немецкого Стоматологического Центра! Он подберёт оптимальные пути их решения.