Ортодонтическое лечение на брекетах с применением мини-имплантатов
Обращение пациента
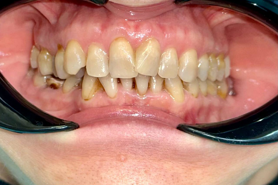
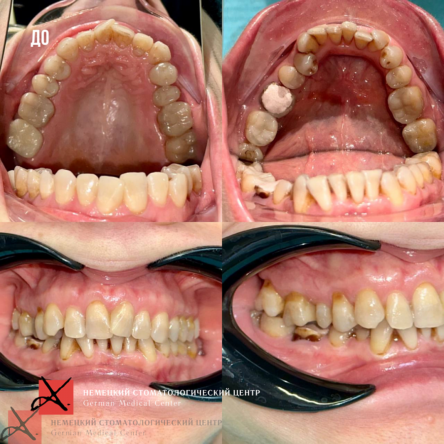
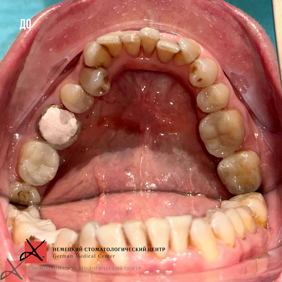
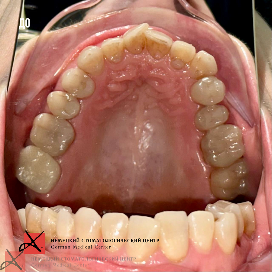
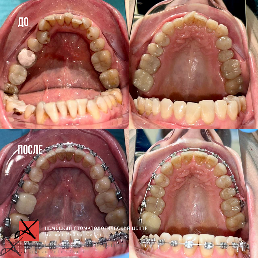
Пациентка 57 лет обратилась с жалобами на сильную боль ощущения в левом височно-челюстном суставе. Также пациентку беспокоил эстетический дефект в виде скученности зубов.
Что было сделано:
1. Диагностика и определение правильного положения нижней челюсти.
2. Изготовление шины в правильном положении.
3. Протезирование депульпированных зубов временными коронками.
4. Ортодонтическое лечение на брекетах с применением мини-имплантатов.
На данный момент пациентка в процессе ортодонтического лечения брекетами. Боли в ВНЧС ушли. Промежуточный результат по эстетической части уже впечатляет (и нас, и пациентку).
Результат лечения
Кто участвовал в лечении

Специализация:
Врач стоматолог-ортодонт, гнатолог.
Член российского профессионального общества ортодонтов России, Dental Brilliance специалист компании Flexiligner
Миссия в клинике:
Ведение ортодонтического приёма.
Ведение пациентов с дисфункцией ВНЧС различной этиологии (окклюзионная терапия (шины, позиционеры, миорелаксирующие каппы). Проведение комплексной диагностики, лечебно-диагностических процедур (электромиорелаксация, кондилография). Комплексный подход к лечению пациентов. Взаимодействие со смежными специалистами (стоматологи-терапевты, ортопеды, хирурги, детские стоматологи, ЛОР врачи, логопеды).


















