+7 495 737 44 66
Пн. - пт.: с 9:00 до 21:00
Сб.: с 9:00 до 18:00
улица Новый Арбат, 30/9,
Россия, Москва

Пн. - пт.: с 9:00 до 21:00 Сб.: с 9:00 до 18:00

+7 495 737 44 66

Ортодонтическое перелечивание

Обращение пациента

картинка
С какой проблемой обратился пациент
Молодой человек пришёл к нам во время ортодонтического лечения в другой клинике, где ему поставили брекеты на верхнюю челюсть.
картинка
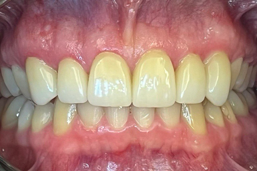
Этапы лечения
Совместно с гнатологом скорректировали ортодонтическое лечение. После брекетов, когда зубы встали в правильное положение, провели санацию и начали протезирование винирами. Оттенок подбирали под естественный цвет эмали. Что получили? Красивые, здоровые, ровные зубы, зажигательную улыбку и ещё одного счастливого пациента!

Результат лечения

Кто участвовал в лечении

Мискевич Марина Ивановна
Мискевич Марина Ивановна

Специализация:

Главный врач, стоматолог-ортопед, стоматолог-ортодонт, гнатолог.

Кандидат медицинских наук, член СтАР. Входит в ассоциацию лазерной стоматологии, ассоциированный член Общества по изучению цвета в стоматологии.

Владелец патента на изобретение «Способ изготовления экзопротеза верхней челюсти» (патент № 143103) и патента на полезную модель «Устройство для снятия несъемных зубных протезов» (патент № 54766).

Миссия в клинике:

Мы относимся к жизни и здоровью как к дару, к сохранению молодости и красоты – как к профессиональной чести, а воссоздание улыбки выполняем как ювелирную работу.


Записаться на прием
Кобликова Анастасия Михайловна
Кобликова Анастасия Михайловна

Специализация:

Врач ортодонт, гнатолог

Master of science (Магистр естесственных наук), училась и практиковалась в Австрии в Венском Университете

Миссия в клинике:

Ведение ортодонтического приема как взрослых, так и детей в полном объёме. Проведение комплексной гнатологической и ортодонтической диагностики. Ведение пациента совместно с хирургом, ортопедом и терапевтом. Лечение детей и взрослых с помощью съемных( элайнеры, пластинки) и несъёмных ( брекеты, ортопланты, аппараты хайрекс, форсус и тд) систем. Лечение патологий ВНЧС, связанных с нарушениями зубочелюстной системы.

Записаться на прием
Обсудите свои стоматологические проблемы с доктором Немецкого Стоматологического Центра! Он подберёт оптимальные пути их решения.