Отбеливание эмали
Обращение пациента
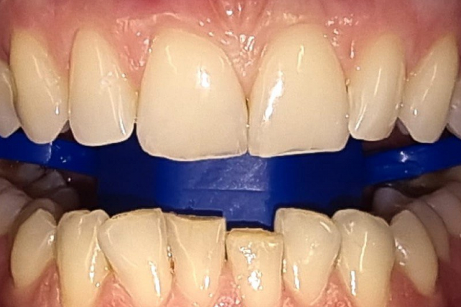
С какой проблемой обратился пациент
Отбеливание зубов
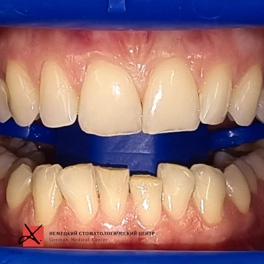
Результат лечения
Кто участвовал в лечении

Романова Светлана
Специализация:
Стоматолог гигиенист. Сертифицированный специалист по отбеливанию зубов.
Должностные обязанности:
Профессиональная гигиена полости рта; снятие зубных отложение, как наддесневых, так и поддесневых; закрытый кюретаж пародонтальных карманов; чистка Air-Flow; удаление налета курильщика, ручная чистка и чистка ультразвуком; обучение профессиональной гигиене полости рта, демонстрация пациенту правильных методов чистки зубов; определение гигиенических индексов, подбор индивидуальных средств гигиены; отбеливание зубов.



