+7 495 737 44 66
Пн. - пт.: с 9:00 до 21:00
Сб.: с 9:00 до 18:00
улица Новый Арбат, 30/9,
Россия, Москва

Пн. - пт.: с 9:00 до 21:00 Сб.: с 9:00 до 18:00

+7 495 737 44 66

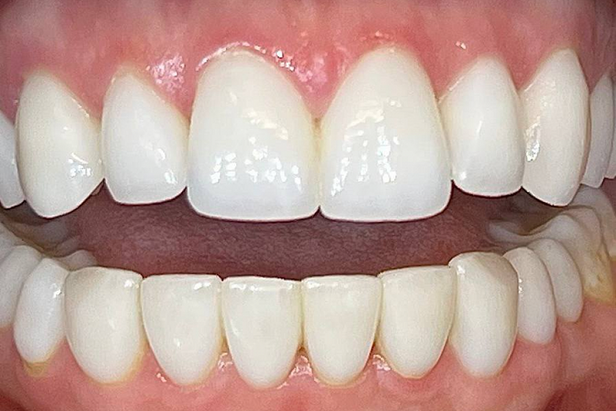
Переделывание неудачных виниров

Обращение пациента

картинка
С какой проблемой обратился пациент

После установки виниров в другой клинике у пациентки появились боли в ВНЧС, поэтому она обратилась к нам.

картинка
Этапы лечения

Старые конструкции пришлось снять, т.к. они не подходили по размеру. Пациентка хотела зубы с прозрачным режущим краем. И первый вариант виниров мы сделали прозрачным. Но при примерке оказалось, что такой прозрачный край красиво смотрится на отфотошопленных фото, но не в жизни. Поэтому виниры переделали. Второй вариант получился идеальным со всех точек зрения.

В результате получили идеальную улыбку и красивые белые зубы, отсутствие дискомфорта и боли в области суставов. 


Результат лечения

Кто участвовал в лечении

Мискевич Марина Ивановна
Мискевич Марина Ивановна

Специализация:

Главный врач, стоматолог-ортопед, стоматолог-ортодонт, гнатолог.

Кандидат медицинских наук, член СтАР. Входит в ассоциацию лазерной стоматологии, ассоциированный член Общества по изучению цвета в стоматологии.

Владелец патента на изобретение «Способ изготовления экзопротеза верхней челюсти» (патент № 143103) и патента на полезную модель «Устройство для снятия несъемных зубных протезов» (патент № 54766).

Миссия в клинике:

Мы относимся к жизни и здоровью как к дару, к сохранению молодости и красоты – как к профессиональной чести, а воссоздание улыбки выполняем как ювелирную работу.


Записаться на прием
Обсудите свои стоматологические проблемы с доктором Немецкого Стоматологического Центра! Он подберёт оптимальные пути их решения.