Перелечивание некачественного протезирования
Обращение пациента
С какой проблемой обратился пациент
Пациентка обратилась с жалобами на неудобство и дискомфорт в области суставов. Диагностика выявила, что проблема связана с некачественным лечением и протезированием, которое вызвало снижение сустава нижней трети лица и изменение позиции других элементов ВНЧС.
Этапы лечения
1. Изготовили 3D-модели в новой терапевтической высоте.
2. Провели санацию зубов.
3. Далее сделали примерку будущих конструкций и на основании прототипа выполнили тотальное протезирование в новой терапевтической высоте в центральном соотношении челюстей.
После чего суставы встали в правильное положение, ушел дискомфорт при жевании, а лицо стало более подтянутым (антиэйдж стоматология в действии!)
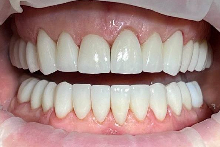
Пациентка выбрала цвет зубов, который значительно светлее её естественного цвета. Но в результате всё смотрится очень натурально.
Пациентка очень довольна результатом!
2. Провели санацию зубов.
3. Далее сделали примерку будущих конструкций и на основании прототипа выполнили тотальное протезирование в новой терапевтической высоте в центральном соотношении челюстей.
После чего суставы встали в правильное положение, ушел дискомфорт при жевании, а лицо стало более подтянутым (антиэйдж стоматология в действии!)
Пациентка выбрала цвет зубов, который значительно светлее её естественного цвета. Но в результате всё смотрится очень натурально.
Пациентка очень довольна результатом!
Результат лечения
Кто участвовал в лечении

Мискевич Марина Ивановна
Специализация:
Главный врач, стоматолог-ортопед, стоматолог-ортодонт, гнатолог.
Кандидат медицинских наук, член СтАР. Входит в ассоциацию лазерной стоматологии, ассоциированный член Общества по изучению цвета в стоматологии.
Владелец патента на изобретение «Способ изготовления экзопротеза верхней челюсти» (патент № 143103) и патента на полезную модель «Устройство для снятия несъемных зубных протезов» (патент № 54766).
Миссия в клинике:
Мы относимся к жизни и здоровью как к дару, к сохранению молодости и красоты – как к профессиональной чести, а воссоздание улыбки выполняем как ювелирную работу.







