Перелечивание ортодонтического лечения
Обращение пациента
С какой проблемой обратился пациент
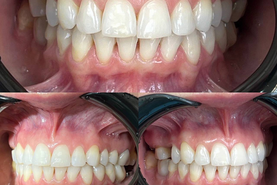
Пациентка обратилась к нам после завершения ортодонтического лечения в другой клинике. Были жалобы на неудобство при жевания, асимметрию лица, напряжение мышц лица.
Пациентка была в полной растерянности от тех последствий, которые она получила после ортодонтического лечения. Её лечащий врач, к сожалению, не смог объяснить, почему так произошло и что теперь делать, поэтому пациентка пришла в Немецкий Стоматологический Центр.
Пациентка была в полной растерянности от тех последствий, которые она получила после ортодонтического лечения. Её лечащий врач, к сожалению, не смог объяснить, почему так произошло и что теперь делать, поэтому пациентка пришла в Немецкий Стоматологический Центр.
Какой диагноз поставили
Провели обследование, посмотрели состояние суставов, оценили ситуацию. Было предложено провести протезирование.Сперва провели восковое моделирование предстоящих реставраций. Далее непосредственно само протезирование. Весь процесс занял 3 недели.
Этапы лечения
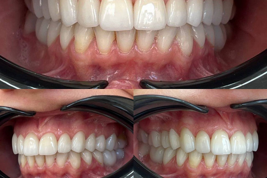
Сразу после протезирования пациентка отметила улучшение качества смыкания зубов, снижение напряжения мышц. Также у нее перестали появляться отеки на лице, симметрия улучшилась, лицо подтянулась. Дополнительно пациентка прошла курс процедур в нашей косметологии на аппарате Индиба. Что вместе с грамотным протезированием дало отличный эффект.
Сейчас пациентка не испытывает никакого дискомфорта и с удовольствием ходит к нам на косметологические процедуры и массаж лица.
Сейчас пациентка не испытывает никакого дискомфорта и с удовольствием ходит к нам на косметологические процедуры и массаж лица.
Результат лечения
Кто участвовал в лечении

Мискевич Марина Ивановна
Специализация:
Главный врач, стоматолог-ортопед, стоматолог-ортодонт, гнатолог.
Кандидат медицинских наук, член СтАР. Входит в ассоциацию лазерной стоматологии, ассоциированный член Общества по изучению цвета в стоматологии.
Владелец патента на изобретение «Способ изготовления экзопротеза верхней челюсти» (патент № 143103) и патента на полезную модель «Устройство для снятия несъемных зубных протезов» (патент № 54766).
Миссия в клинике:
Мы относимся к жизни и здоровью как к дару, к сохранению молодости и красоты – как к профессиональной чести, а воссоздание улыбки выполняем как ювелирную работу.






