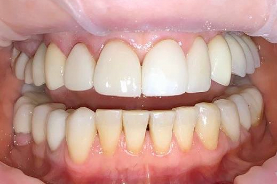
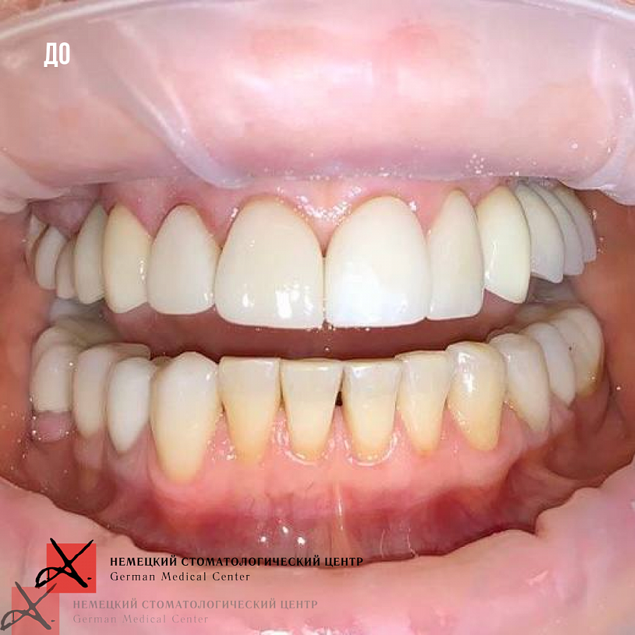
Протезирование 4х верхних фронтальных резцов
Обращение пациента
Недовольство эстетическим видом зубов и боли в ВНЧС.
Провели протезирование 4х верхних фронтальных резцов. Сделали коронки, идеально подходящие по цвету и анатомически правильной формы, чтобы снять нагрузку с сустава.
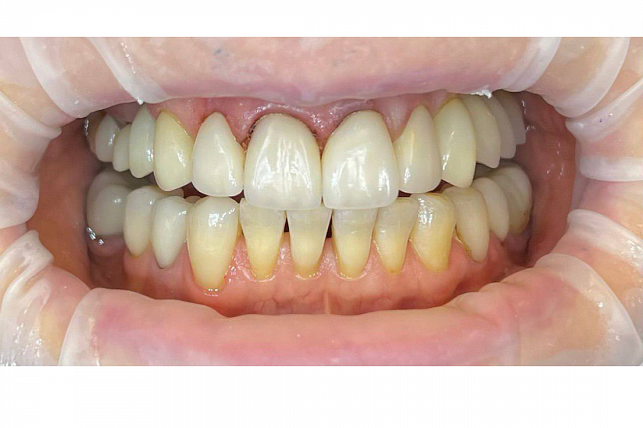
В результате получили красивые фронтальные зубы и отсутствие боли в ВНЧС. Пациентка довольна, будет продолжать лечение.
Результат лечения
Кто участвовал в лечении

Специализация:
Главный врач, стоматолог-ортопед, стоматолог-ортодонт, гнатолог.
Кандидат медицинских наук, член СтАР. Входит в ассоциацию лазерной стоматологии, ассоциированный член Общества по изучению цвета в стоматологии.
Владелец патента на изобретение «Способ изготовления экзопротеза верхней челюсти» (патент № 143103) и патента на полезную модель «Устройство для снятия несъемных зубных протезов» (патент № 54766).
Миссия в клинике:
Мы относимся к жизни и здоровью как к дару, к сохранению молодости и красоты – как к профессиональной чести, а воссоздание улыбки выполняем как ювелирную работу.







