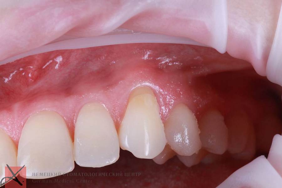
Рецессия десны
Обращение пациента
С какой проблемой обратился пациент
Пациент обратился с рядом жалоб.
Этапы лечения
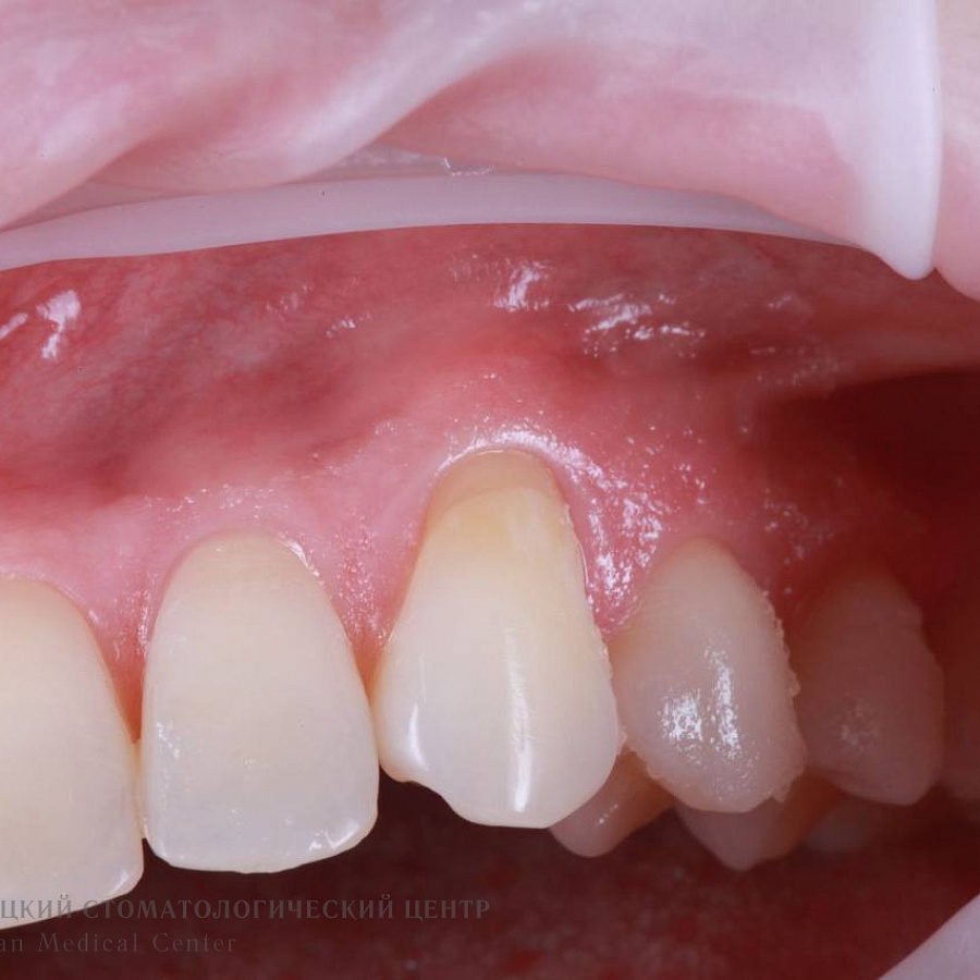
Пациенту провели рецессию десны.
Результат лечения
Кто участвовал в лечении

Самсонов Андрей Романович
Специализация:
Врач стоматолог-хирург, имплантолог
Миссия в клинике:
Удаление зубов любой сложности, имплантация, имплантация в эстетически важной зоне, операции на мягких тканях полости рта, увеличение объема твёрдых и мягких тканей, комплексный подход к лечению заболеваний полости рта.



