Тотальное отбеливание зубов
Обращение пациента
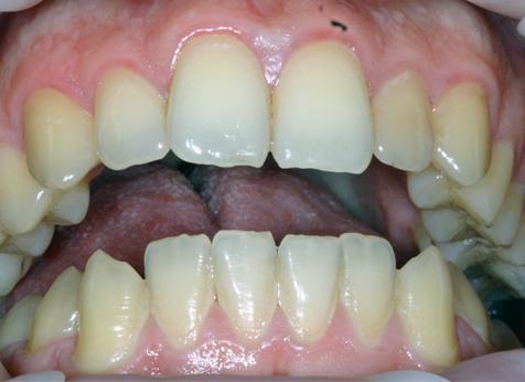
Пациент 27 лет обратился с целью отбеливания зубов.
Какой диагноз поставили
Следует помнить, что чем светлее изначальный цвет зубов, тем менее заметен результат отбеливания. Иногда требуется проведение 2-4 процедур отбеливания для достижения желаемого результата.
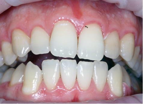
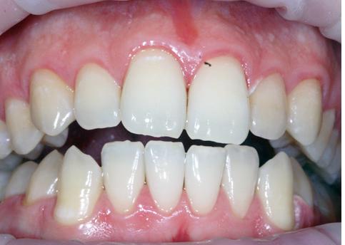
Отбеливание проведено в два посещения.
Этапы процедуры:
- Проведение профессиональной гигиены полости рта.
- Фотометрия исходного цвета зубов.
- Изотометрия исходного цвета зубов.
- Двукратное нанесение отбеливающего состава с интервалом 20мин.
- Активация отбеливающего состава с помощью диодного лазера.
- Реминерализующая терапия - насыщение эмали зубов пропаратами кальция и фтора (по показаниям) для снижения чувствительности и стабилизации цвета зубов.
- Повторная процедура отбеливания через 7 дней
- Фотометрия результатов процедуры.
- Рекомендации.
Результат лечения
Кто участвовал в лечении

Специализация:
Стоматолог гигиенист. Сертифицированный специалист по отбеливанию зубов.
Должностные обязанности:
Профессиональная гигиена полости рта; снятие зубных отложение, как наддесневых, так и поддесневых; закрытый кюретаж пародонтальных карманов; чистка Air-Flow; удаление налета курильщика, ручная чистка и чистка ультразвуком; обучение профессиональной гигиене полости рта, демонстрация пациенту правильных методов чистки зубов; определение гигиенических индексов, подбор индивидуальных средств гигиены; отбеливание зубов.



