+7 495 737 44 66
Пн. - пт.: с 9:00 до 21:00
Сб.: с 9:00 до 18:00
улица Новый Арбат, 30/9,
Россия, Москва

Пн. - пт.: с 9:00 до 21:00 Сб.: с 9:00 до 18:00

+7 495 737 44 66

Тотальное перелечивание зубов

Обращение пациента

С какой проблемой обратился пациент
Пациентка проходила длительное лечение в другой клинике, но результат её не устроил. Было трудно открывать рот, болела челюсть. Поэтому она обратилась в Немецкий Стоматологический Центр.
Кроме того страдала эстетическая часть, пациентке не нравилась её десневая улыбка (когда она улыбается, видно большое количество десны).
картинка
Этапы лечения
Провели большую комплексную работу с участием ортодонта-гнатолога и ортопеда-гнатолога. 
1. Провели ортодонтическое лечение.
2. Сделали коррекцию высоты зубов, за счёт чего изменилась высота и форма десны: скорректировали зениты зубов, т. е. укоротили десну и визуально увеличили длину зубов. 
3. Финально провели протезирование винирами.

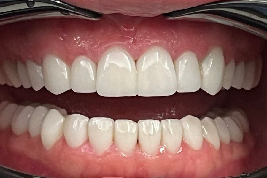
В результате изменений улыбка стала более привлекательной и открытой, лицо помолодело. Ушла боль в ВНЧС, суставы работают в полном объёме. Пациентка счастлива!

Результат лечения

Кто участвовал в лечении

Мискевич Марина Ивановна
Мискевич Марина Ивановна

Специализация:

Главный врач, стоматолог-ортопед, стоматолог-ортодонт, гнатолог.

Кандидат медицинских наук, член СтАР. Входит в ассоциацию лазерной стоматологии, ассоциированный член Общества по изучению цвета в стоматологии.

Владелец патента на изобретение «Способ изготовления экзопротеза верхней челюсти» (патент № 143103) и патента на полезную модель «Устройство для снятия несъемных зубных протезов» (патент № 54766).

Миссия в клинике:

Мы относимся к жизни и здоровью как к дару, к сохранению молодости и красоты – как к профессиональной чести, а воссоздание улыбки выполняем как ювелирную работу.


Записаться на прием
Бобринская Анастасия Руслановна
Бобринская Анастасия Руслановна

Специализация:

Врач стоматолог-ортопед, гнатолог.

Миссия в клинике:

Гнатологический функциональный анализ, диагностические электромиографические исследования, миорелаксация, эстетическое протезирование (виниры, коронки, вкладки, микропротезирование), виды съемного и несъемного протезирования на имплантатах, композитные реставрации, отбеливание зубов.


Записаться на прием
Алиханова Милана Якубовна
Алиханова Милана Якубовна

Специализация:

Врач стоматолог-ортодонт, гнатолог.

Член российского профессионального общества ортодонтов России, Dental Brilliance специалист компании Flexiligner

Миссия в клинике:

Ведение ортодонтического приёма.

Ведение пациентов с дисфункцией ВНЧС различной этиологии (окклюзионная терапия (шины, позиционеры, миорелаксирующие каппы). Проведение комплексной диагностики, лечебно-диагностических процедур (электромиорелаксация, кондилография). Комплексный подход к лечению пациентов. Взаимодействие со смежными специалистами (стоматологи-терапевты, ортопеды, хирурги, детские стоматологи, ЛОР врачи, логопеды).


Записаться на прием
Обсудите свои стоматологические проблемы с доктором Немецкого Стоматологического Центра! Он подберёт оптимальные пути их решения.