+7 495 737 44 66
Пн. - пт.: с 9:00 до 21:00
Сб.: с 9:00 до 18:00
улица Новый Арбат, 30/9,
Россия, Москва

Пн. - пт.: с 9:00 до 21:00 Сб.: с 9:00 до 18:00

+7 495 737 44 66

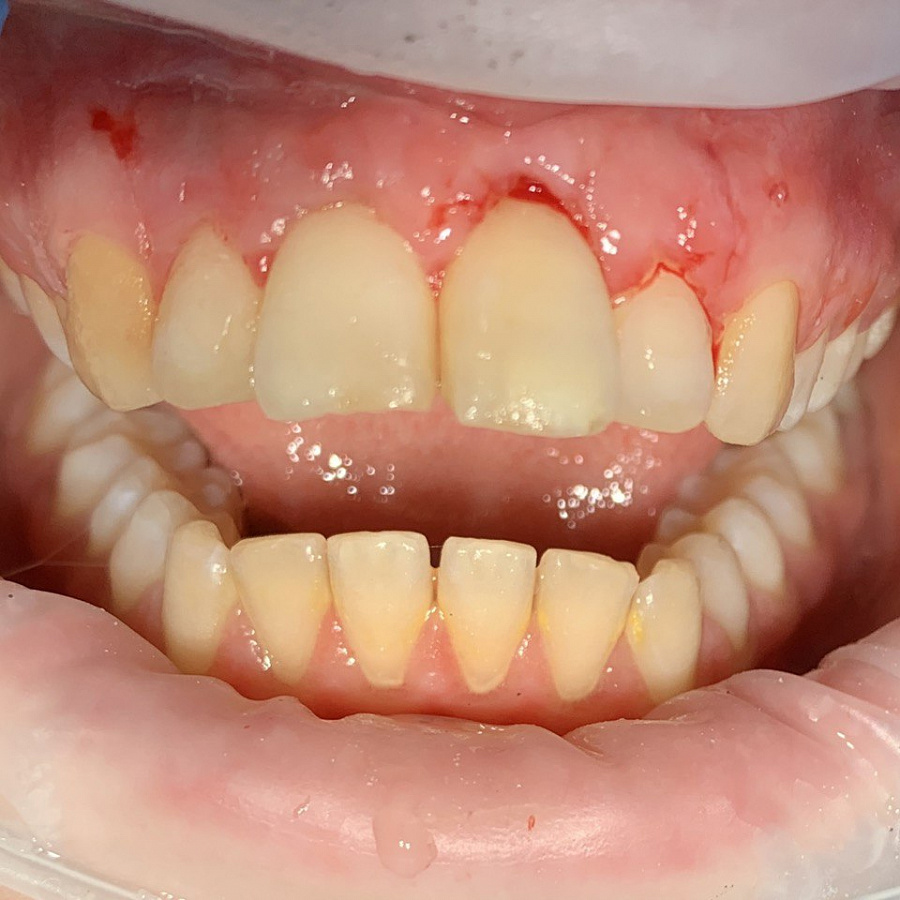
Туннельная вестибулопластика

Обращение пациента

картинка
С какой проблемой обратился пациент
Пациент направлен врачом-ортодонтом с целью восстановления контура мягких тканей перед ортодонтическим лечением. 
картинка
Этапы лечения
Проведена туннельная вестибулопластика. В дальнейшем пациента ждет ортодонтическое лечение и повторная коррекция уровня десны.

Результат лечения

Кто участвовал в лечении

Самсонов Андрей Романович
Самсонов Андрей Романович

Специализация:

Врач стоматолог-хирург, имплантолог

Миссия в клинике:

Удаление зубов любой сложности, имплантация, имплантация в эстетически важной зоне, операции на мягких тканях полости рта, увеличение объема твёрдых и мягких тканей, комплексный подход к лечению заболеваний полости рта.

Записаться на прием
Обсудите свои стоматологические проблемы с доктором Немецкого Стоматологического Центра! Он подберёт оптимальные пути их решения.