Удаление зуба и одновременная имплантация
Обращение пациента
С какой проблемой обратился пациент
Пациент направлен врачом-терапевтом для удаления зуба 46 (нижний шестой зуб справа) и одновременной постановки имплантата.
Этапы лечения
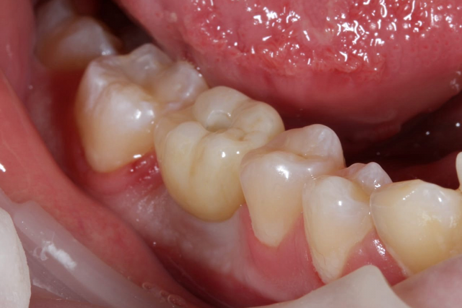
Зуб был фрагментирован, чтобы удаление прошло максимально атравматично, то есть без повреждения окружающих костных стенок. После удаления установлен имплантат. Операция прошла успешно, пациенту уже установлена зубная коронка.
Результат лечения
Кто участвовал в лечении

Самсонов Андрей Романович
Специализация:
Врач стоматолог-хирург, имплантолог
Миссия в клинике:
Удаление зубов любой сложности, имплантация, имплантация в эстетически важной зоне, операции на мягких тканях полости рта, увеличение объема твёрдых и мягких тканей, комплексный подход к лечению заболеваний полости рта.







