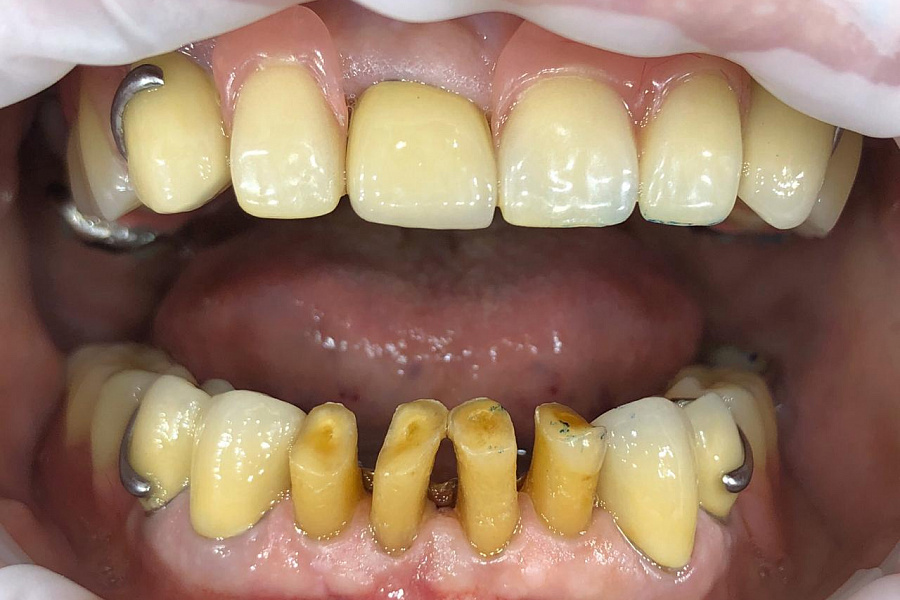
Восстановление частично отсутствующих зубов с помощью коронок и бюгельного протеза.
Кто участвовал в лечении

Бобринская Анастасия Руслановна
Специализация:
Врач стоматолог-ортопед, гнатолог.
Миссия в клинике:
Гнатологический функциональный анализ, диагностические электромиографические исследования, миорелаксация, эстетическое протезирование (виниры, коронки, вкладки, микропротезирование), виды съемного и несъемного протезирования на имплантатах, композитные реставрации, отбеливание зубов.
