+7 495 737 44 66
Пн. - пт.: с 9:00 до 21:00
Сб.: с 9:00 до 18:00
улица Новый Арбат, 30/9,
Россия, Москва

Пн. - пт.: с 9:00 до 21:00 Сб.: с 9:00 до 18:00

+7 495 737 44 66

Бобринская Анастасия Руслановна

Стоматолог-ортопед, гнатолог
Опыт работы 8 лет
Направления деятельности
  • Ортопедия
  • Гнатология
Записаться к этому врачу

Академическая подготовка:

2018 г. - Первый Московский государственный медицинский университет им. И.М. Сеченова

2020 г. - Первый Московский государственный медицинский университет им. И.М. Сеченова. Клиническая ординатура.

Профессиональная активность:

С апреля 2017 года по н. в. — ООО «Джерман Медикал Центр», г. Москва.

Специализации:

2018 г. «Стоматология»

2020 г. «Стоматология ортопедическая».

Учебы, повышение квалификации:

2024 г. Конгресс «Всё про ВНЧС. Взгляд изнутри.»

2024 г. Курс "Реконструкция улыбки"

2023 г. «Первый международный конгресс остеопатической стоматологии»

2023 г. Курс "Новые стандарты обследования и лечения пациентов с дВНЧС. 2 модуль"

2022 г. Курс "Введение в гнатологию. Кондилография: основы работы в современных условиях"

2021 г. Обучение Первый Профессиональный Институт Эстетики «Контурная пластика губ»

2021 г. Обучение Первый Профессиональный Институт Эстетики «Контурная пластика лица»

2021 г. Обучение Первый Профессиональный Институт Эстетики «Методика работы с ботулиническим токсином типа А: (Ботокс, Диспорт, Ксеомин, Лантокс, Релатокс.). Базовый курс. Практика и применение»

2021 г. Обучение Первый Профессиональный Институт Эстетики «Методика работы с ботулиническим токсином типа А (Ботокс, Ботулакс, Лантокс, Релатокс, Нейронокс) в эстетической медицине. Гипергидроз. Повышение квалификации. Практика и применение»

2021 г. Обучение Первый Профессиональный Институт Эстетики «Основы и техники мезотерапии»

2021 г. Обучение Первый Профессиональный Институт Эстетики «Мезотерапия в этетической косметологии»

2021 г. Обучение Первый Профессиональный Институт Эстетики «Контурная пластика - объемное моделирование»

2021 г. Обучение Первый Профессиональный Институт Эстетики «Методика работы с мезотерапевтическими препаратами по лицу»

2021 г. Обучение Первый Профессиональный Институт Эстетики «Нитевой лифтинг - Нидлинг: повышение квалификации. Техники постановки мезонитей: узелковые, спиральные, с насечками, косички, Сод (в канюле)»

2021 г. Обучение Первый Профессиональный Институт Эстетики «Мезотерапия как метод коррекции жировых отложений и целлюлита»

2021 г. Обучение Первый Профессиональный Институт Эстетики «Методика работы с био- и поли- ревитализантами»

2021 г. Обучение Первый Профессиональный Институт Эстетики «Мезотерапия как метод лечения алопеции и восстановления качества волос»

2021 г. Обучение Первый Профессиональный Институт Эстетики «Нитевой лифтинг - Тредлифтинг. Техники постановки мононитей»

2019 г. Обучение “Anti-age-терапия запатентованными пептидами: MesoSculpt C71*, MesoEye C71*”2019 г.  Курс «Astra Tech Implant System Day».

2019 г. Участник Functional Dentistry Congress.

2019 г. Семинар и мастер-класс по клинической системе отбеливания зубов Philips Zoom WhiteSpeed

Сертификаты

Кейсы: до и после

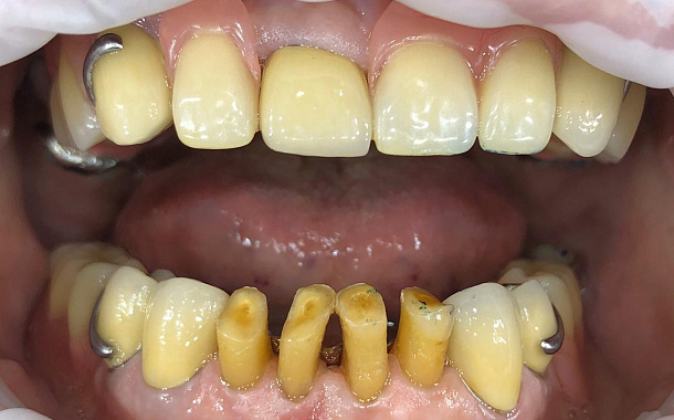
Тотальное перелечивание зубов

Пациентка проходила длительное лечение в другой клинике, но результат её не устроил. Было трудно открывать рот, болела челюсть. Поэтому она обратилась в Немецкий Стоматологический Центр.
Кроме того страдала эстетическая часть, пациентке не нравилась её десневая улыбка (когда она улыбается, видно большое количество десны). Узнать подробнее

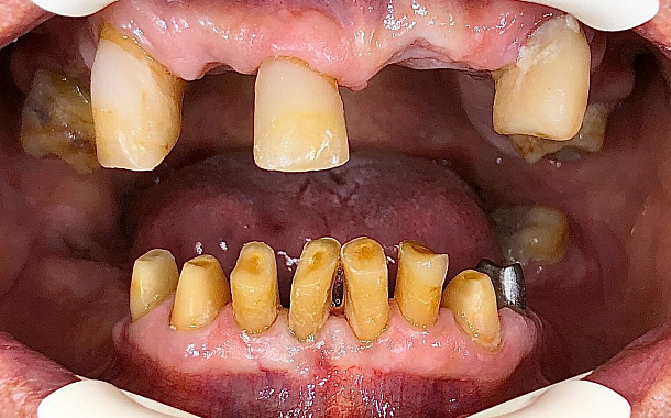
Комплексное лечение (гнатология, ортодонтия, протезирование)

Пациентка обратилась с рядом проблем: неудобно жевать, нарушено качества речи, дискомфорт в области височно-челюстных суставов.
После диагностики был составлен комплексный план лечения Узнать подробнее

Восстановление частично отсутствующих зубов с помощью коронок и бюгельного протеза.

Узнать подробнее

Комплексное лечение с установкой виниров

Пациентка пришла с желанием поставить виниры. В ходе обследования было найдено несколько проблем и предложено комплексное лечение, которое включает в себя выравнивание зубов и исправление прикуса, некоторые хирургические манипуляции и конечно  установку виниров.

Узнать подробнее

Отзывы

Отзыв с ProDoctorov о стоматологе Бобринской А. Р.
Хочу поблагодарить Бобринскую Анастасию Руслановну за ответственный подход к своей работе. Очень профессиональна как доктор: я снова смогла спокойно есть почти все, что хочу, и радоваться жизни. :) Кстати, сам доктор не похвастается. Хочу сделать это за нее: она не только ортопед, но еще и гнатолог. Это к тому, что после ее работы я вообще бед не знаю. У меня не скрипит сустав, ничего не болит и мое лицо как будто даже вытянулось и стало красивее! Мне это объяснили тем, что физиологически лицо стало более правильным и пропорциональным. В общем, еще раз спасибо. Буду рекомендовать клинику и доктора с полной уверенностью за хороший результат.

27 января 2022
Отзыв с ProDoctorov о стоматологе Бобринской А. Р.
Хочу выразить благодарность Анастасии Руслановне. Я пришла к ней после ужасной работы, проведённой в другой клинике. Благодарю от всего сердца за то, что доктор взялась исправить и проделала кропотливую работу. Теперь улыбаюсь 24 часа в сутки! Это очень бережный доктор, профессионал своего дела. Спасибо Вам, Анастасия Руслановна, за такой бережный подход. Благодарю Вас!

13 августа 2021
Милана. Отзыв о враче Бобринской А.

Хочу поблагодарить доктора Бобринскую за белоснежную улыбку! Долго готовилась к процедуре морально, но все страхи ушли на задний план после общения с врачом, а цвет зубов радует с каждым днём все больше! Обязательно порекомендую процедуру своим знакомым!

Август 2019

Отзыв Яндекс о докторах клиники
Очень благодарна своим лечащим докторам: Кобликовой, Мискевич и Бобринской. Проходила лечение в этой кдинике 2 года, и еще ни один врач не проявлял такой заинтересованности к моему случаю и заботы. Мне исправили прикус, вылечили весь кариес и поставили сустав на место. Теперь меня ничего не беспокоит и я могу забыть про посещение стоматологов. Но не совсем: сразу же предупредили о встрече через пол года на чистку!

12 мая 2022
Отзыв с Яндекса
Хочу отметить что в данной клинике работают Боги. Доктора на приёме у которых понимаешь что ты в надёжных руках. Прохожу лечение и сейчас мне помогает в этом Черкашин Денис, Бобринская Анастасия, Кобликова Анастасия. Эти доктора никогда не оставят без внимания и после приёма всегда на следующий день позаботится, позвонят и поинтересуются как ты себя чувствуешь, все ли хорошо. И тут ты понимаешь что люди в данной должности не просто работают а думают о нас и о качестве своей работы. Хочется сказать, Спасибо за заботу и такой подход

02 февраля 2023
Отзыв с Яндекса от пациента
В другой клинике мне определили "проблемы с прикусом" и составили план лечения на 16 коронок и виниров, для исправления окклюзии. Пришел на консультацию к гнатологу-ортопеду д-ру Бобринский. Она сразу направила меня на КТ. По результатам КТ, осмотру, и диагностики тонуса мышц доктор Бобринская поставила тот же диагноз, но только совершенно другой план лечения. Сначала полная санация у терапевта и эндодонта. Хоть д-р Бобринская ортопед, она отказалась со мной работать пока терапевт не исследует проблемные каналы. Она детально описала всю терапевтическую патологию по КТ, при том что это не было предметом консультации. А по ортопедической части доктор Бобринская составила план лечения в 2.5 раза меньше (то есть дешевле+быстрее) и значительно более щадящий, сохраняющий здоровые ткани. Консультация заняла аж 1.5 часа. Приглашали ортодонта, который тоже отказался лечить мои проблемы с окклюзией брекетами, хотя в другой клинике это рекомендовали. Но самое странное что за 1.5 часа консультации 2х докторов и КТ с меня взяли 3500 руб. Я понял что доктора здесь не коммерсанты, а врачи. Их диагнозу и плану я верю, так как все аргументы разворачивались на моих глазах. Да, у меня наверное сложный кейс, про гнатологию и проблемы с окклюзией мне говорили ещё 15 лет назад. Но наконец-то мне сделали полное обследование и составили план не из коммерческих, а чисто медицинских и физиологических принципов.
Буду лечиться у доктора Бобринской. И уверен что она остановит не только развитие клиновидных дефектов (рецессии десны), но и решит проблемы с болями в шее, которые очевидно развиваются из-за нагрузок на нижнюю челюсть. Спасибо доктору за вдумчивость и за то, что она врач, а не коммерсант.

28 ноября 2023
Отзыв с Prodoctorov о Бобринской А.Р.
История пациента
Давно хотела написать отзыв о Анастасии. Несмотря на молодость, она действительно профессионал с большой буквы. После долгого и неправильного лечения у другого доктора, я случайно (

Видео